医影在线
标题: CT3300:请大家帮忙看看! [打印本页]
作者: syfszcw 时间: 2006-4-27 18:00
标题: CT3300:请大家帮忙看看!
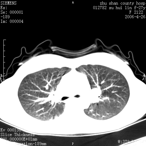
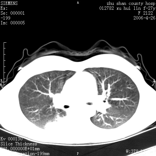
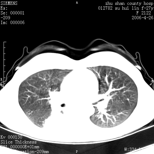
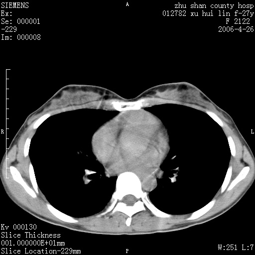
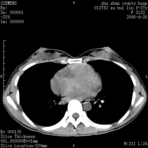
女性 病人 27岁!本院职工家属,五月前因感冒透视发现病变,ct示:左肺下叶背段感染性病变。经过半月规范抗生素治疗后复查病变无明显变化,后行四月规范抗痨治疗,复查无明显变化,后复查无效!请大家帮忙看看!



















[本贴已被 gaozhengyi 于 2006-4-27 12:52:03 修改过]
作者: syfszcw 时间: 2006-4-27 18:24
本病人一直没什么临床症状!
作者: chmb 时间: 2006-4-27 18:33
右肺下叶背段气管狭窄,片状阴影,密度不均,考虑支气管内膜结核可能性大。
作者: dyqct 时间: 2006-4-27 18:33
标题: 1
右肺下叶背段见片状高密度区,边界不清,密度不均,无钙化及空洞影,背段支气管通畅。所见层面肺门及纵隔内未见明显肿大淋巴结影。
女性 病人 27岁!本院职工家属,五月前因感冒透视发现病变,ct示:左肺下叶背段感染性病变。经过半月规范抗生素治疗后复查病变无明显变化,后行四月规范抗痨治疗,复查无明显变化,后复查无效!
诊断:首先还是考虑为慢性炎症。
结核虽然好发于下叶背段,但周围无明显卫星灶,化验结果怎样?
[本贴已被 jiajie 于 2006-4-28 7:34:49 修改过]
作者: lanmingyue 时间: 2006-4-27 18:40
标题: 回复:请大家帮忙看看!
机化性肺炎
作者: guzhongliangddd 时间: 2006-4-27 18:55
标题: 回复:请大家帮忙看看!

从战友提供的ct图象及定位图象看应该是间质性炎症改变.如果患者不放心可建议她行纤支镜检查.
作者: qian 时间: 2006-4-27 19:51
炎性病变可能性大。
作者: yyg1960 时间: 2006-4-28 01:47
病人是什么工种,从ct表现看是肺特异纤维化。
作者: ssl1_1 时间: 2006-4-28 02:36
局灶机化性肺炎可能,建议她行纤支镜检查
作者: caihe 时间: 2006-4-28 03:40
支持4楼分析,考虑:慢性炎性病变。
作者: 乡医 时间: 2006-4-28 07:00
标题: 回复:ct3300:请大家帮忙看看!
以下是引用dyqct在2006-4-27 10:33:00的发言:[br]右肺下叶背段见片状高密度区,边界不清,密度不均,无钙化及空洞影,背段支气管通畅。所见层面肺门及纵隔内未见明显肿大淋巴结影。[br]女性 病人 27岁!本院职工家属,五月前因感冒透视发现病变,ct示:左肺下叶背段感染性病变。经过半月规范抗生素治疗后复查病变无明显变化,后行四月规范抗痨治疗,复查无明显变化,后复查无效![br]诊断:首先还是考虑为慢性炎症。[br] 结核虽然好发于下叶背段,但周围无明显卫星灶,化验结果怎样?
作者: x-ray 时间: 2006-4-28 22:50
支持右肺慢性炎症
作者: 光线 时间: 2006-4-29 04:35
支持炎症病变!
作者: 迎客松 时间: 2006-4-29 06:40
应该还是肺炎
作者: zhuxinli 时间: 2006-4-30 09:45
支持右肺慢性炎症
作者: syfszcw 时间: 2006-5-6 14:12
此病人是护士,请问病人如果是炎正的话怎么治疗没变化啊!
作者: shibing 时间: 2015-6-8 10:28
慢性炎性病变。
| 欢迎光临 医影在线 (http://bbs.radida.com/bbs/) |
Powered by Discuz! X3.2 |