医影在线

标题: CT3301:[讨论]盆腔CT平扫 [打印本页]

作者: kbzyycm    时间: 2006-4-27 18:20
标题: CT3301:[讨论]盆腔CT平扫
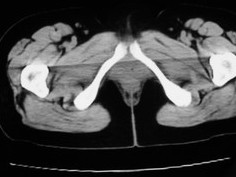
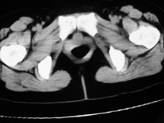
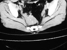
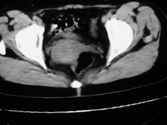
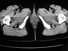
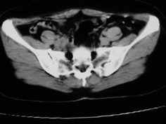
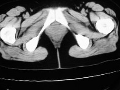
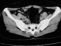
女42岁肛门下坠感4月余.




















[本贴已被 jiajie 于 2006-4-27 12:58:26 修改过]

作者: lanmingyue    时间: 2006-4-27 18:37
标题: 回复:[讨论]盆腔ct平扫
宫稍大点
作者: dyqct    时间: 2006-4-27 18:37
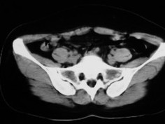
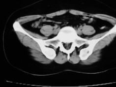
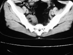
子宫轻度右倾,体后方见小似新月形低密度区,边界清楚。余所见无明显异常。
考虑:子宫直肠窝少量积液(盆腔炎所致)。
作者: xiaoniu    时间: 2006-4-27 20:03
标题: 回复:[讨论]盆腔ct平扫
子宫轻度右倾,体后方见小似新月形低密度区,道格拉斯窝周围间隙欠清晰,有索条模糊影阴,多考虑:肛周脓肿可能性大。
作者: ys139    时间: 2006-4-28 03:24
肛周脓肿临床症状比较典型,此患者:女42岁肛门下坠感4月余,与其不符
考虑:子宫直肠窝少量积液(盆腔炎所致)。
作者: 乡医    时间: 2006-4-28 03:42
子宫轻度右倾,体后方见小似新月形低密度区,道格拉斯窝周围间隙欠清晰,有索条模糊影阴,多考虑:肛周慢性感染可能。
作者: 同    时间: 2006-4-28 03:52
标题: 回复:ct3301:[讨论]盆腔ct平扫
以下是引用乡医在2006-4-27 19:42:00的发言:[br]子宫轻度右倾,体后方见小似新月形低密度区,道格拉斯窝周围间隙欠清晰,有索条模糊影阴,多考虑:肛周慢性感染可能。

作者: x-man    时间: 2006-4-28 08:37
支持3楼
作者: shibing    时间: 2015-6-8 10:27
子宫轻度右倾,体后方见小似新月形低密度区,道格拉斯窝周围间隙欠清晰,有索条模糊影阴,多考虑:肛周慢性感染可能。





欢迎光临 医影在线 (http://bbs.radida.com/bbs/) Powered by Discuz! X3.2