医影在线
标题: CT3302:请教大家! [打印本页]
作者: syfszcw 时间: 2006-4-27 19:01
标题: CT3302:请教大家!
病人 女性 72岁 b超要求ct检查!















[本贴已被 jiajie 于 2006-4-27 14:31:37 修改过]
作者: guzhongliangddd 时间: 2006-4-27 19:35
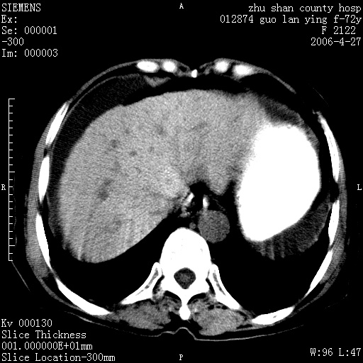
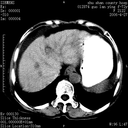
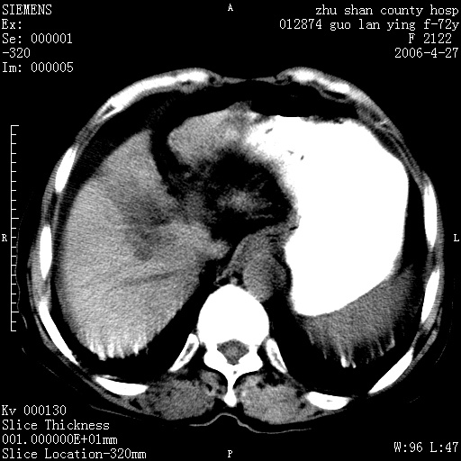
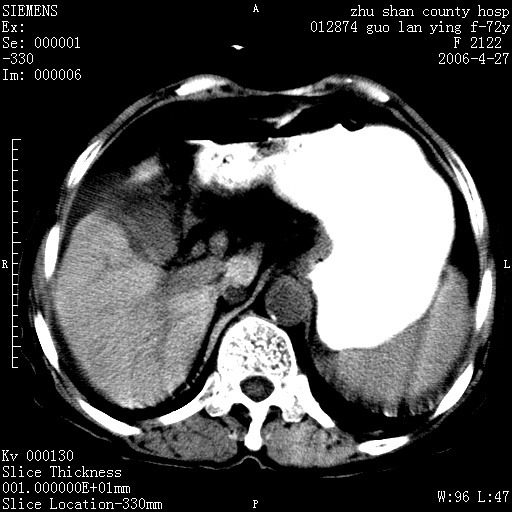
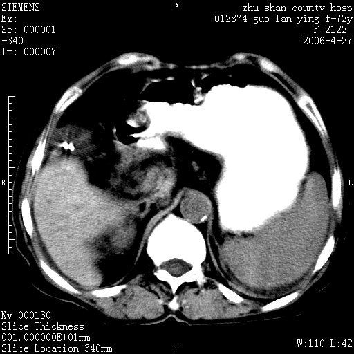
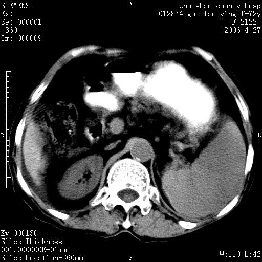
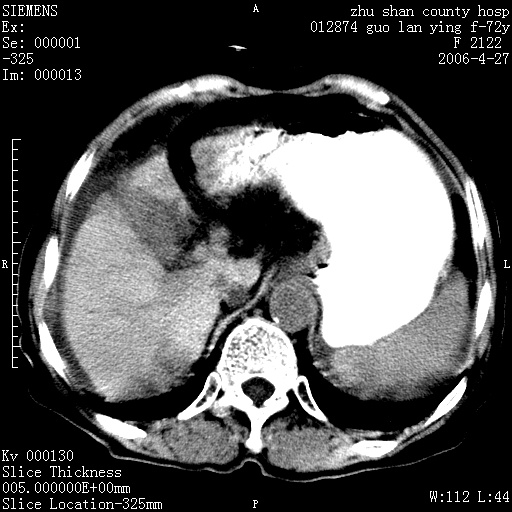
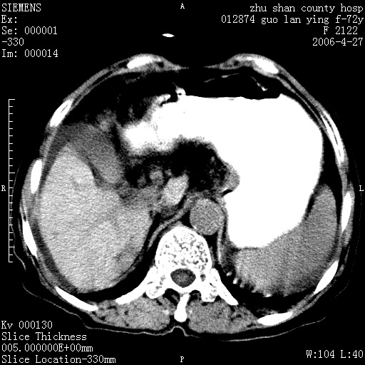
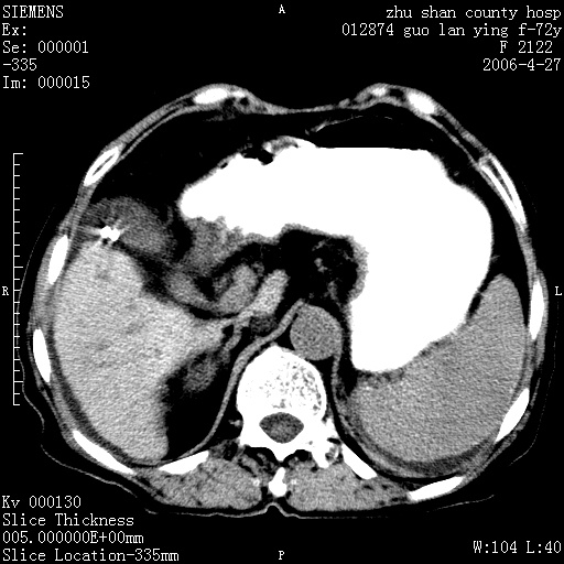
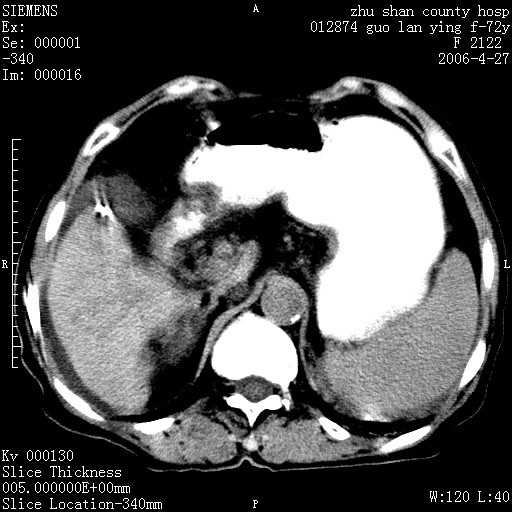
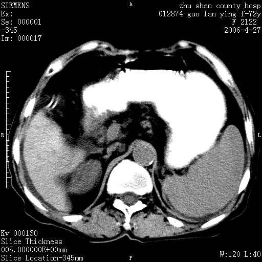
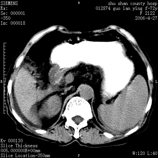
平扫所见:胆囊区两点壮高密度影,灶周有伪影{请问楼主患者有手术病史?}。肝实质内未见明显异常{建议强化或mri}.腹腔有少量积液,脾明显增大.右肾形态似不规则?
作者: 牟言科 时间: 2006-4-27 19:38
标题: ct3302:请教大家!
腹腔内示积液征,脾脏略增大,肝脏由于运动伪影较多,影响观察,内未见明显高密度区,胆囊内示两处高密度结石。胃窦部壁轻度增厚。另外,肝脏的前缘似有游历气体。不知病人的临床如何?有必要做胃的检查,还有,看看骨窗是否有腹腔游离气体还是肠管影响的。
如果b超对肝脏有怀疑,肝脏的增强扫描还是尽量去做。
[本贴已被 jiajie 于 2006-4-28 7:31:50 修改过]
作者: qian 时间: 2006-4-27 19:47
支持牟版主!
作者: 龙刚 时间: 2006-4-27 19:59
标题: 1
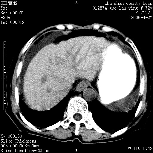
肝脏缩小,脾脏增大,肝脾外缘及胆囊窝液性密度影,肝脾ct值正常,胆囊区见两个类圆形高密度影,下腔静脉前方类圆形软组织密度影为肝脏岛叶,胃幽门区见软组织密度影,十二指肠钡剂充盈不好.
1:腹水2:胆囊结石3肝硬化?(不确定,请结合临床)4幽门区占位?(建议胃肠透视)
[本贴已被 jiajie 于 2006-4-28 7:31:58 修改过]
作者: 王小鸭 时间: 2006-4-27 20:04
支持3楼分析
作者: lanmingyue 时间: 2006-4-27 20:06
标题: 回复:请教大家!
肝硬化,脾大,少量腹水
作者: dyqct 时间: 2006-4-27 22:31
支持3楼意见。
作者: lijianjun_dan 时间: 2006-4-28 00:03
提供资料太少。
作者: REALZYC 时间: 2006-4-28 00:25
肝硬化、脾肿大,腹水,胆囊区高密度影(结石或异物),是否有外伤史
作者: zhang6l 时间: 2006-4-28 01:05
支持牟版主
作者: yyg1960 时间: 2006-4-28 01:38
肝硬化、腹水、脾大,胆囊结石可以肯定。只是肝右叶两个低密度有必要增强确定一下;排除小肝癌。
作者: 同 时间: 2006-4-28 03:56
支持3楼意见
作者: elity69 时间: 2006-4-28 04:17
标题: 1
腹腔内示积液征,脾脏略增大,肝脏由于运动伪影较多,影响观察,内未见明显高密度区,胆囊内示两处高密度结石。胃窦部壁轻度增厚。另外,肝脏的前缘似有游历气体。不知病人的临床如何?有必要做胃的检查,还有,看看骨窗是否有腹腔游离气体还是肠管影响的。
如果b超对肝脏有怀疑,肝脏的增强扫描还是尽量去
[本贴已被 jiajie 于 2006-4-28 7:32:06 修改过]
作者: gzayhsj 时间: 2006-4-28 07:29
考虑肝硬化并腹水,脾大.
作者: syfszcw 时间: 2006-4-28 08:56
标题: 1
谢谢牟教授在百忙之中还认真的点评我的帖子!也谢谢大家的鼎力相助,此病人是我们医院护理部主任的母亲!病人以前无特别不舒适!昨天b超后发现有问题!做ct的目的在于排除肝内占位性病变,此病人以前无手术外伤史.
[本贴已被 jiajie 于 2006-4-28 7:32:20 修改过]
作者: jiangjing 时间: 2006-4-28 08:59
标题: 1
支持-----腹腔内示少量积液征,脾脏略增大,肝脏由于运动伪影较多,影响观察,内未见明显高密度区,胆囊内示两处高密度结石。胃窦部壁轻度增厚。另外,肝脏的前缘似有游历气体。不知病人的临床如何?有必要做胃的检查,还有,看看骨窗是否有腹腔游离气体还是肠管影响的。
如果b超对肝脏有怀疑,肝脏的增强扫描还是尽量去做。
[本贴已被 jiajie 于 2006-4-28 7:32:13 修改过]
作者: shibing 时间: 2015-6-8 10:27
肝硬化
| 欢迎光临 医影在线 (http://bbs.radida.com/bbs/) |
Powered by Discuz! X3.2 |