医影在线

标题: CT3439:两胫骨下段条带状高密度影 [打印本页]

作者: caolun    时间: 2006-4-30 19:18
标题: CT3439:两胫骨下段条带状高密度影
本院职工,35岁,月前稍运动后出现双踝关节疼痛,不肿,数天后出现软组织稍肿胀。风湿全套及痛风检查均未见异常。血常规正常。
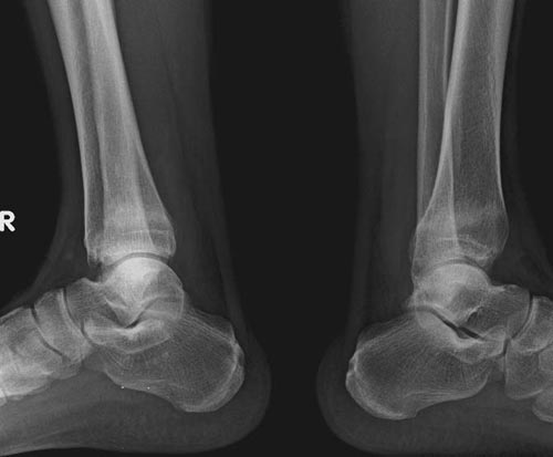
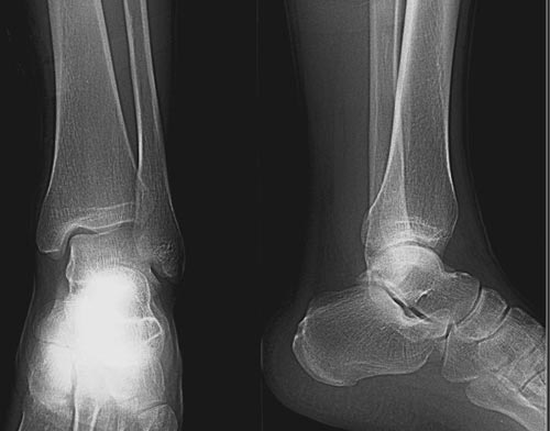
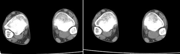
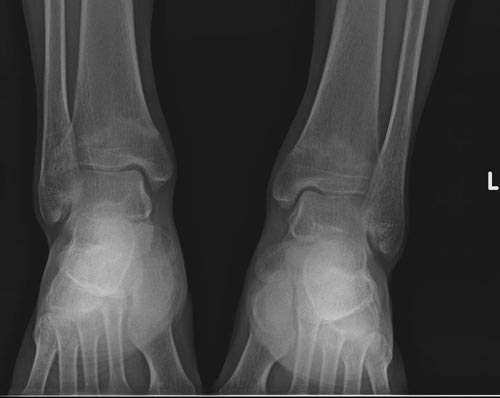
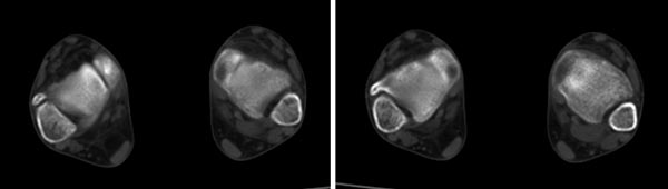
x线检查月前片示双踝关节骨质未见明显异常。一月后肿胀大部消失,疼痛稍有好转,摄片示两侧骨下段条带状高密度影,边界尚清。ct扫描示两侧胫骨下段骨皮质增厚不明显,髓腔内密度显示磨玻璃样增高,髓腔显示狭窄。
















[本贴已被 翁志蓬 于 2006-4-30 16:17:20 修改过]

作者: dyqct    时间: 2006-4-30 23:11
没见过,请高手指教。
作者: guzhongliangddd    时间: 2006-5-1 00:49
我的诊断意见未见异常。从ct扫描看骨皮质连续光滑,致与楼主所提\"髓腔内高密度影\"我认为不是问题{很抱歉我一时也谈不出形成原因!,在进修时见个内似病例}
作者: chrch    时间: 2006-5-1 01:27
这是由外伤引起的,(骨折)并不是当时看不见骨折线,就代表没有骨折,这个病倒一月后有骨内膜的增厚引起新骨生长,而形成高密度影像.
作者: drzhang8888    时间: 2006-5-1 04:13
没见过
作者: 拾荒者    时间: 2006-5-1 04:55
看不懂 ,支持4楼的隐性骨折说,血常规无异常,应该能排除原发性骨髓硬化症。
作者: 同    时间: 2006-5-1 05:32
支持4楼的分析
作者: hpyea    时间: 2006-5-1 05:56
双胫骨下段近骨端处可见对称性增生硬化,骨小梁增粗但纹理尚清晰,未见明显骨质破坏,临近关节及关节囊未见明显异常。
诊断:考虑致密性骨炎
作者: 小兵张嘎    时间: 2006-5-1 14:22
骨梗死?隐性骨折修复双侧对称不好解释,建议随访。
作者: renewliu    时间: 2006-5-1 15:10
骨岛
作者: xuchzh_8807    时间: 2006-5-1 17:29
疲劳性骨折?
作者: wxy7406    时间: 2006-5-1 17:56
双侧胫骨远端松质骨内见不规则密度增高影,且均以内侧为主,内侧骨皮质边缘欠清晰.临床提示月前稍运动后踝关节肿大。我考虑双侧胫骨低毒感染。
作者: 逸风    时间: 2006-5-1 18:13
标题: 回复:ct3439:两胫骨下段条带状高密度影
两次x片比较显示:一个月后的双侧胫骨下段骨髓腔内不规则密度增高,边缘模糊,平片及ct均未见骨质破坏,未见骨膜反应和软组织异常,临床未见阳性体征!考虑到患者是由于运动(外伤)后出现的症状,结合影象表现,我个人考虑是骨小量损伤后的骨修复表现.个人意见,请各位老师指点!
作者: 火中金    时间: 2006-5-1 18:51
x线检查一个月前示双踝关节骨质未见异常。一个月后肿胀大部消失,疼痛稍有好转,摄片示两侧胫骨下段横行条状高密度影,边界较清。ct扫描示:两侧胫骨下段未见骨皮质增厚,两胫骨下段近骨端处可见骨小梁增粗但纹理尚清晰,未见明显骨质破坏,邻近关节及关节囊未见明显异常,软组织内未见异常.综上所诉考虑1.低毒感染所致,2.假性痛风
作者: 扬仪    时间: 2006-5-1 21:38
“本院职工,35岁,月前稍运动后出现双踝关节疼痛,不肿,数天后出现软组织稍肿胀。风湿全套及痛风检查均未见异常。血常规正常。”——请问楼主“月前稍运动后”是什么样的运动量?该患者有多长时间没有运动(剧烈运动)?
x线片表现为双侧胫骨下端粗条状磨玻璃样增高密度影,并可见骨皮质稍不连续。ct表现为双侧胫骨下端髓腔内磨玻璃样增高密度影,未见明显骨皮质不连续(可能与扫描体位有关)。
本例应该考虑为双侧胫骨下端应力性骨折。
作者: jiajie    时间: 2006-5-13 01:55
考虑双侧胫骨畸形性骨炎,(查一下血碱性磷酸酶、尿羟脯胺酸是否升高)。
作者: wyfsh    时间: 2006-5-14 01:34
骨损伤修复或低毒感染比较合理
作者: yz    时间: 2006-5-14 02:07
双侧胫骨下端疲劳骨折。
作者: caolun    时间: 2006-9-13 00:33
现在看来,该患者确实是疲劳性骨折,这几个月来已经差不多好了,线状影也基本消失了,下次发图片给各位战友看。但是很纳闷他工作轻松,又没有什么剧烈运动。
作者: swyyy2006    时间: 2006-9-14 05:49
不知道,没有见过
作者: LIGM188    时间: 2006-9-14 06:47
怎么没人考虑骨梗死
作者: 逸风    时间: 2006-9-14 07:03
呵呵,谢谢楼主这么有心,记得这个病历比较早了,目前患者恢复如前,楼主考虑骨折,不知道期间进行了什么治疗和检查?能否给大家提供一点?谢谢




欢迎光临 医影在线 (http://bbs.radida.com/bbs/) Powered by Discuz! X3.2