医影在线
标题: CT3453:上腹部CT强化。请讨论!谢谢!! [打印本页]
作者: guzhongliangddd 时间: 2006-5-3 05:23
标题: CT3453:上腹部CT强化。请讨论!谢谢!!
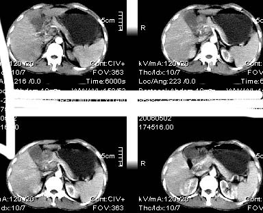
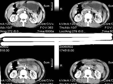
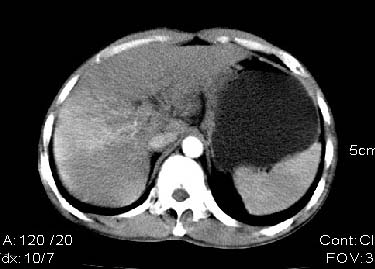
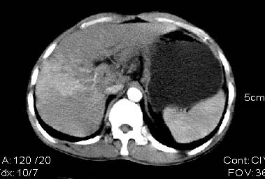
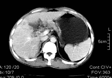
男:42岁。反复恶心呕吐半年。b超:右肝内多发占位,胆石胆囊炎.胆总管扩张











[本贴已被 guzhongliangddd 于 2006-5-2 21:25:07 修改过]
[本贴已被 gaozhengyi 于 2006-5-3 8:09:40 修改过]
作者: dyqct 时间: 2006-5-3 06:02
怎么没有平扫?
作者: syfszcw 时间: 2006-5-3 07:11
怎么没平扫的片子啊1这个头像太小了!
作者: gzayhsj 时间: 2006-5-3 08:32
我只能说:肝右叶可见\"快进快出\",蒙一个phc.
作者: zhuxinli 时间: 2006-5-3 08:47
本例特点动脉期右叶近肝门区可见高密度强化,后段也见早期强化,静脉期肝门区高密度区造影剂退出,余密度均匀,考虑肝癌伴动静脉漏,肝右叶上段可见扩张胆管,考虑由于肿瘤压迫胆管引起阻塞,
鉴别 胆管细胞性肝癌,无动脉期强化,
作者: guzhongliangddd 时间: 2006-5-3 09:20
标题: 回复:[原创]上腹部ct强化。请讨论!谢谢!!















首先我要谢谢战友给我的建议,明天我将给患者作平扫。以上为动静脉期的单幅图象资料。
作者: lushijun 时间: 2006-5-3 16:17
首先考虑肝癌。
作者: renewliu 时间: 2006-5-3 16:52
标题: 回复:ct3453:上腹部ct强化。请讨论!谢谢!!
以下是引用zhuxinli在2006-5-3 0:47:00的发言:[br]本例特点动脉期右叶近肝门区可见高密度强化,后段也见早期强化,静脉期肝门区高密度区造影剂退出,余密度均匀,考虑肝癌伴动静脉漏,肝右叶上段可见扩张胆管,考虑由于肿瘤压迫胆管引起阻塞,[br]鉴别 胆管细胞性肝癌,无动脉期强化,
作者: dingn 时间: 2006-5-3 16:54
快进快出,支持肝癌
作者: pingping 时间: 2006-5-3 17:17
怎么没有平扫
作者: 深圳之恋 时间: 2006-5-3 17:59
支持肝ca,
作者: guzhongliangddd 时间: 2006-5-3 18:35
8楼战友的分析很到位。我刚才在科室中从与患者的爱人交谈中得之。患者近半年来反复恶心呕吐,常伴有右上腹痛及间隙性皮肤黄染,不能吃油脂类食物,否则要腹泻。在作ct时患者家属隐瞒了患者有乙肝,及afp病史.{由于患者家离城较远.拒绝平扫检查}.谢谢各位战友的讨论!!
作者: 同 时间: 2006-5-3 22:45
支持肝癌诊断
作者: niep 时间: 2006-5-3 23:11
肝硬化、肝门部肝癌
作者: yyg1960 时间: 2006-5-4 02:21
首先考虑肝癌,病人年轻最好做穿刺取病理
作者: lf 时间: 2006-5-4 03:26
同意五楼
作者: ssl1_1 时间: 2006-5-4 03:32
考虑肝癌
作者: gsjyiyr 时间: 2006-5-4 06:41
肝癌
作者: jiangjing 时间: 2006-5-4 19:37
考虑较典型的肝癌并提示肝门淋巴结肿大。
作者: ssl1_1 时间: 2006-5-9 16:42
支持肝癌
作者: shibing 时间: 2015-6-8 15:16
肝癌
| 欢迎光临 医影在线 (http://bbs.radida.com/bbs/) |
Powered by Discuz! X3.2 |