医影在线

标题: CT3487:[原创]颅内病变,请站友会诊 [打印本页]

作者: 一棵树    时间: 2006-5-8 23:48
标题: CT3487:[原创]颅内病变,请站友会诊
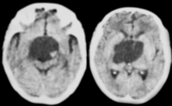
患者女,51岁,表情呆滞,反应迟钝,临床医生怀疑脑病,先来做了ct。囊性病灶ct值与脑脊液近似。






[本贴已被 jiajie 于 2006-5-8 19:39:16 修改过]

作者: qkin    时间: 2006-5-9 00:08
图象没有处理吗?
作者: haojingjun    时间: 2006-5-9 00:47
皮样囊肿?
作者: dyqct    时间: 2006-5-9 01:11
不除外鞍上颅咽管瘤。
作者: guzhongliangddd    时间: 2006-5-9 01:38
首先考虑是鞍上颅咽管瘤{从处理后的图象看病灶密度不均匀,而且其内似可见稍高密度区,请楼主看看原图象}。
作者: chenqiong    时间: 2006-5-9 03:14
不知ct值多少
作者: 逸风    时间: 2006-5-9 03:16
标题: 回复:[原创]颅内病变,请站友会诊
ct扫描显示:中线部位鞍上可见一圆形低密度病变,边缘清晰,密度尚均匀,ct值与脑脊液相仿,囊内左后是点状钙化影,病变向下葡行生长至脚间池,脑干受压变形;脑室系统未见明显异常.
诊断意见:鞍上囊性占位性病变,多考虑表皮样囊肿.
鉴别:此病例主要与囊性颅咽管瘤:钙化多为条状或蛋壳样,形态规整,无蒲行生长特性.
作者: 山野樵夫    时间: 2006-5-9 03:34
鞍上池层面囊性占位,考虑颅咽管瘤
作者: gaoxiao    时间: 2006-5-9 04:16
考虑颅咽管瘤。
作者: yyg1960    时间: 2006-5-9 04:40
鞍上囊状占位,囊壁结节钙化,囊内密度均匀,似乎内有脂类密度。诊断颅咽管瘤。
作者: 叶盟    时间: 2006-5-9 04:47
我还是倾向于颅咽管瘤
作者: 拾荒者    时间: 2006-5-9 05:12
鞍上区的囊性占位,ct值略高于脑脊液密度,左后方有斑片状钙化,侧脑室无明显扩张增大;考虑:表皮样囊肿。期待结果。
作者: 我爱影像    时间: 2006-5-9 07:33
考虑是鞍上颅咽管瘤
作者: lanlan    时间: 2006-5-9 07:40
考虑鞍上囊性颅咽管瘤
作者: renewliu    时间: 2006-5-9 14:32
鞍上区的囊性占位,ct值略高于脑脊液密度,左后方有斑片状钙化,侧脑室无明显扩张增大;考虑:表皮样囊肿。
作者: x-man    时间: 2006-5-9 16:50
不知ct值多少,考虑囊性颅咽管瘤
作者: 过江龙    时间: 2006-5-10 18:32
标题: 回复:ct3487:[原创]颅内病变,请站友会诊
以下是引用yyg1960在2006-5-8 20:40:00的发言:[br]鞍上囊状占位,囊壁结节钙化,囊内密度均匀,似乎内有脂类密度。诊断颅咽管瘤。

  

   同意“颅咽管瘤”的诊断!
作者: zhuxinli    时间: 2006-5-10 20:51
考虑是鞍上颅咽管瘤
作者: 蓝星    时间: 2006-5-10 21:36
鞍上池层面囊性占位,考虑颅咽管瘤
作者: jiajie    时间: 2006-5-10 22:02
支持颅咽管瘤。

颅咽管瘤
在胚胎期,rathke囊与原始口腔连续的细长管道称颅咽管,应退化消失,但可残留一些鳞状上皮细胞,颅咽管瘤即起源于这些残留的上皮细胞,亦有人认为是垂体腺细胞的上皮化生。任何年龄均可发病,半数发病年龄小于20岁,另一高发年龄为40~60岁。
ct表现:鞍上区圆形、类圆形、不规则肿块,密度随成分差异较大,亦完全囊变和部分囊变多见,一般呈脑脊液样密度,也可因含较多胆固醇呈很低密度,含钙质、蛋白质呈稍高密度,也可完全实性。钙化率高,可沿边缘呈壳状,实质部分可呈点状、斑片状、不规则团块状。

作者: shibing    时间: 2015-6-8 15:33
鞍上囊状占位,囊壁结节钙化,囊内密度均匀,似乎内有脂类密度。诊断颅咽管瘤。




欢迎光临 医影在线 (http://bbs.radida.com/bbs/) Powered by Discuz! X3.2