医影在线

标题: CL0266:【】左侧肾癌典型病例-共同学习 [打印本页]

作者: 卜一    时间: 2006-5-9 19:03
标题: CL0266:【】左侧肾癌典型病例-共同学习
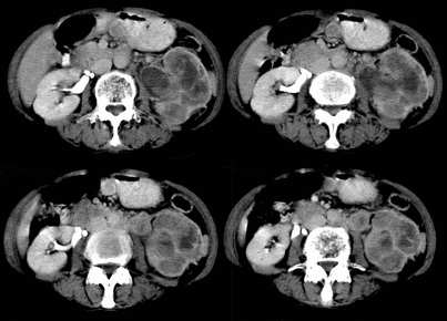
病人资料甚少,先将简单的资料,回复给大家,请诸位老师参考。
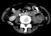
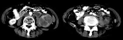
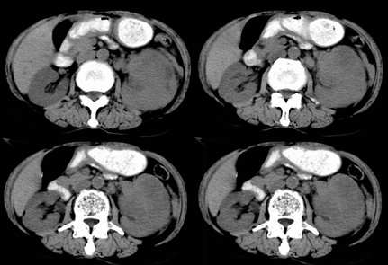
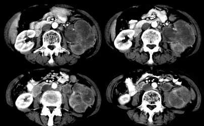
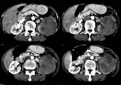
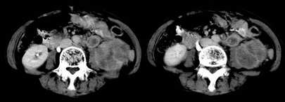
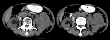
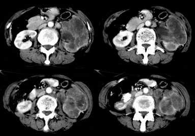
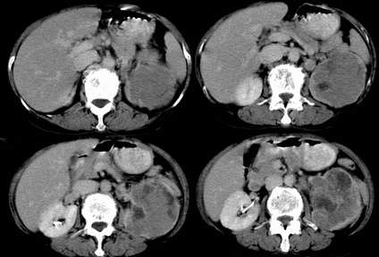
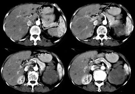
病患,女,69岁,左侧腰部不适,偶感疼痛2个月余,无化验室检查,行彩超发现左侧肾区实质性肿物,后行ct检查,结果同上。

















[本贴已被 翁志蓬 于 2008-9-30 23:26:32 修改过]

作者: liuyongbinking    时间: 2006-5-9 20:09

作者: 王小鸭    时间: 2006-5-9 21:06
好病例
作者: dyqct    时间: 2006-5-9 22:30
典型。
作者: 守望可可    时间: 2006-5-9 23:44
谢谢楼主的好病例,学习了
作者: 同    时间: 2006-5-10 00:38
谢谢!!好病例
作者: 卜一    时间: 2006-5-10 01:08
标题: 回复:典型病例-共同学习
病人资料甚少,先将简单的资料,回复给大家,请诸位老师参考。
病患,女,69岁,左侧腰部不适,偶感疼痛2个月余,无化验室检查,行彩超发现左侧肾区实质性肿物,后行ct检查,结果同上。
作者: cyr1818    时间: 2006-5-10 01:45
左肾癌
作者: 晓杰    时间: 2006-5-10 03:10
支持
作者: 拾荒者    时间: 2006-5-10 03:22
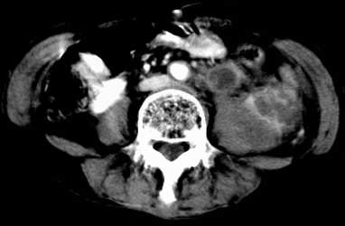
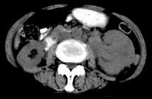
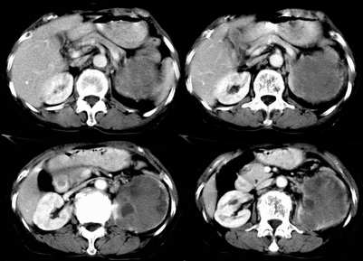
左肾不规则软组织肿块,内见低密度坏死区,与正常肾实质分界不清,左肾明显增大,增强呈不规则条索状强化,肾盂及左输尿管上段扩张。肾周脂肪层受侵、模糊。印象:典型左肾癌。
作者: elity69    时间: 2006-5-10 03:30
平扫,表现为肾实质肿块,呈分叶状,肿块密度不均,内有不规则低密度区(陈旧性出血?坏死?)有的似呈囊性,增强明显不均一强化,与肾实质相比呈相对低密度的不均一肿块,肾周脂肪间隙可见,肾前筋膜未见增后,肾血管及腹主动脉旁未见肿大淋巴结影
作者: 山野樵夫    时间: 2006-5-10 04:00
典型病例,谢谢楼主分享
作者: chongqingluoguo    时间: 2006-5-10 04:37
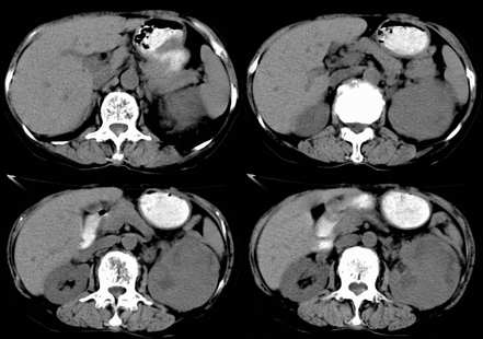
左侧肾癌并肾静脉癌栓.腹膜后淋巴结肿大转移.
作者: wywly    时间: 2006-5-10 06:53
顶,好片子,支持。
顺便说几句。肾癌的转移,肾静脉的转移尤为常见,他可以顺沿静脉直至下腔静脉,这种转移,临床中也不少见,笔者遇到过数例。这种转移对于临床来说有较大意义,直接影响手术的成功、手术的方式等,临床有不少肾癌切除术后,静脉残端复发病例。不知楼主有意还是无意,没有给静脉期,或者左肾静脉充盈的图象。
作者: xiaoniu    时间: 2006-5-10 18:28
标题: 回复:cl0266:左侧肾癌典型病例-共同学习
谢谢楼主!谢谢楼主!!

作者: shq    时间: 2006-5-11 04:34
很典型
作者: ziputao52    时间: 2006-5-11 05:47
好例,学习
作者: chengwei    时间: 2006-5-12 18:20
谢谢楼主的好病例
作者: gbj8004    时间: 2006-5-14 17:49
支持肾癌的诊断
作者: 一点红    时间: 2006-5-14 21:07
经典
作者: bgtm    时间: 2006-5-15 06:38
三期抓的不错,典型的肾癌,且已累及肾盂及左输尿管上段
作者: 漫步云端    时间: 2006-5-15 06:42
经典!!!
作者: wawaquan    时间: 2006-5-19 05:46
标题: [原创]回复:cl0266:左侧肾癌典型病例-共同学习
左肾癌累及左输尿管,左肾静脉无受累征象。

作者: dianzi    时间: 2006-5-19 18:31

作者: lhf8188    时间: 2006-5-27 04:04
支持
作者: drzhang8888    时间: 2006-8-17 08:36
wawaquan老师点评的好。
作者: jinguoji    时间: 2006-11-6 05:21
学习了
作者: hexue    时间: 2009-6-20 07:04
学习了.谢谢
作者: yuhongjun    时间: 2009-12-31 14:21
谢谢楼主的好病例
作者: shibing    时间: 2012-6-10 09:01
谢谢楼主的好病例,学习了




欢迎光临 医影在线 (http://bbs.radida.com/bbs/) Powered by Discuz! X3.2