医影在线
标题: CT3513:肝脏及腹部团块影!!!! [打印本页]
作者: mx8000    时间: 2006-5-11 07:12
标题: CT3513:肝脏及腹部团块影!!!!
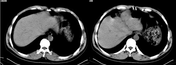
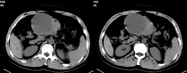
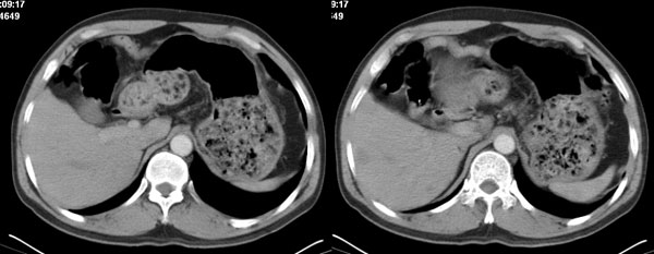
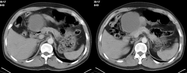
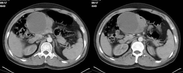
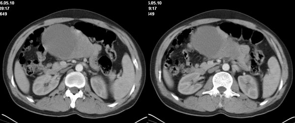
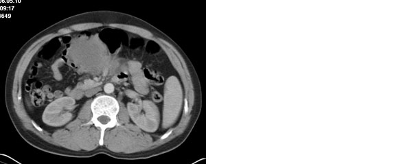
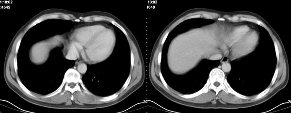
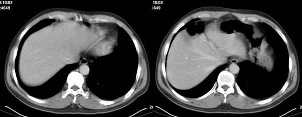
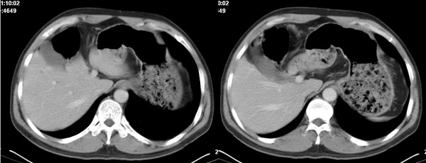
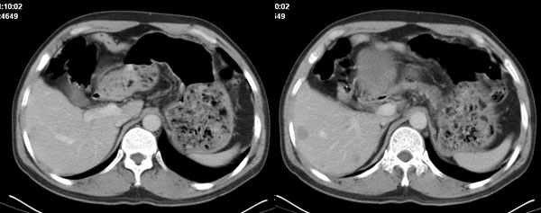
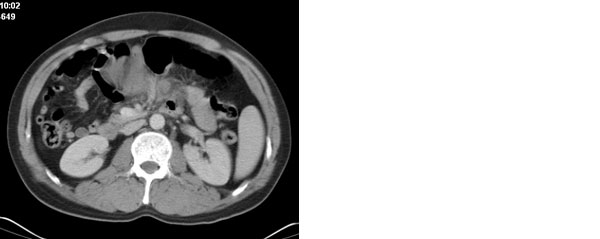
李**,男,46岁,便血1天入院,慢性贫血貌,腹平、软,剑突下压痛,肠鸣音稍活跃,hb大于1g/l,胃镜:慢性浅表性胃炎,b超:1肝内多发性占位 2腹腔内囊性肿块 ,肝内圆形影平扫ct值42.9,动脉期48.6,静脉期58.2,延迟期62.2


























[本贴已被 翁志蓬 于 2006-5-11 0:52:17 修改过]
作者: jiajie    时间: 2006-5-11 17:12
考虑胰腺囊肿,密度较高可能合并出血。
作者: wangzhanshuang    时间: 2006-5-11 17:13
支持
作者: lkc8963    时间: 2006-5-11 17:46
此病例较难,主要在于囊实性病灶的定位以及与肝内病灶的关联性的分析。
病史不再赘述。消化道出血可能与本次相关。
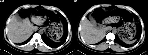
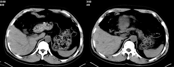
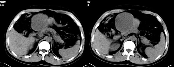
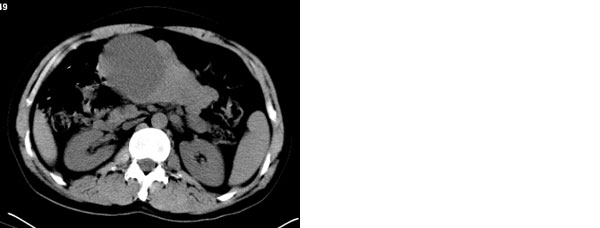
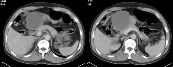
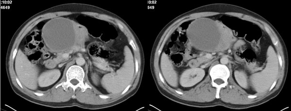
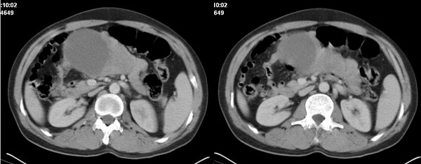
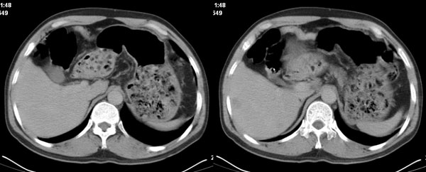
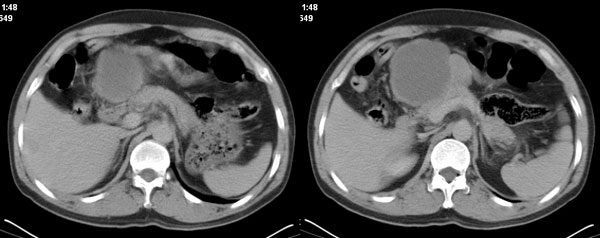
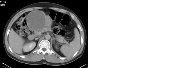
影像学表现:1 腹腔前中部、胰腺前方囊实性病灶(个人认为确定有否实性成分存在这是关键,涉及到鉴别诊断,如果是口服阳性造影剂则可明确左侧是不是小肠了),囊性部分囊壁不均,实性部分有强化,与小肠关系较密切,局部小肠受推移;与胰头、胃后壁均有脂肪间隙存在;2 胰腺无异常改变,胰周无渗出;3肝后段包膜下2个小圆形低密度灶,从图像和楼主提供的ct值来看有轻度强化,灶周无片状强化,不似单纯囊肿及肝癌、炎性病变表现;4 腹膜后及腹腔内无淋巴结肿大。
分析:1 如果腹腔内是囊实性病灶,则应多考虑肿瘤性病变,如源于小肠的间叶源性组织如神经源性肿瘤或间质瘤等;如果这么大存在恶性变的可能,那么肝内则可考虑为转移,征象亦符合;这种可能性最大;
   2 如果是单纯囊性病灶,则需鉴别于胆总管囊肿、胰腺囊肿、系膜囊肿了;胆总管囊肿应稍偏后,但憩室型胆总管囊肿可呈类似表现,肝内则用多发肝内囊肿来解释也勉强通过--先天性胆管囊肿不能排除;胰腺囊肿需可出现如此部位,但较少,胰腺本身及胰周均无异常,可能性较小;系膜囊肿则不能解释肝内病灶,如果用二种疾病来分开解释则违背了一元论原则。
诊断:小肠间叶组织源性肿瘤如神经源性肿瘤或间质瘤恶性变伴肝内转移可能性最大,不除外先天性胆管囊肿。
作者: fawangsifang    时间: 2006-5-11 17:59
肝内病变我考虑为血管瘤,腹腔内病变部分与胰腺相连,也同意jiajie 的观点
作者: wawaquan    时间: 2006-5-11 18:21
李**,男,46岁,便血1天入院,慢性贫血貌,腹平、软,剑突下压痛,肠鸣音稍活跃,hb大于1g/l,胃镜:慢性浅表性胃炎,b超:1肝内多发性占位 2腹腔内囊性肿块 ,肝内圆形影平扫ct值42.9,动脉期48.6,静脉期58.2,延迟期62.2
   胰腺边界清晰,胰周筋膜不厚,胰周脂肪密度无明显增高;其前方囊实性病灶,边界清晰,增强后实性部分轻度强化;肝内多发边界清晰低密度影,增强后无明显强化(平扫ct值42.9,动脉期48.6,静脉期58.2,延迟期62.2)。
   考虑:胰腺囊腺瘤,肝内小肝癌可能大。
作者: dyqct    时间: 2006-5-11 18:53
以下引用4楼精辟的分析;
此病例较难,主要在于囊实性病灶的定位以及与肝内病灶的关联性的分析。
病史不再赘述。消化道出血可能与本次相关。
影像学表现:1 腹腔前中部、胰腺前方囊实性病灶(个人认为确定有否实性成分存在这是关键,涉及到鉴别诊断,如果是口服阳性造影剂则可明确左侧是不是小肠了),囊性部分囊壁不均,实性部分有强化,与小肠关系较密切,局部小肠受推移;与胰头、胃后壁均有脂肪间隙存在;2 胰腺无异常改变,胰周无渗出;3肝后段包膜下2个小圆形低密度灶,从图像和楼主提供的ct值来看有轻度强化,灶周无片状强化,不似单纯囊肿及肝癌、炎性病变表现;4 腹膜后及腹腔内无淋巴结肿大。
分析:1 如果腹腔内是囊实性病灶,则应多考虑肿瘤性病变,如源于小肠的间叶源性组织如神经源性肿瘤或间质瘤等;如果这么大存在恶性变的可能,那么肝内则可考虑为转移,征象亦符合;这种可能性最大;
   2 如果是单纯囊性病灶,则需鉴别于胆总管囊肿、胰腺囊肿、系膜囊肿了;胆总管囊肿应稍偏后,但憩室型胆总管囊肿可呈类似表现,肝内则用多发肝内囊肿来解释也勉强通过--先天性胆管囊肿不能排除;胰腺囊肿需可出现如此部位,但较少,胰腺本身及胰周均无异常,可能性较小;系膜囊肿则不能解释肝内病灶,如果用二种疾病来分开解释则违背了一元论原则。
诊断:小肠间叶组织源性肿瘤如神经源性肿瘤或间质瘤恶性变伴肝内转移可能性最大,不除外先天性胆管囊肿。
作者: ygdygd123a    时间: 2006-5-11 20:28
支持4楼分析.
作者: 卜一    时间: 2006-5-12 00:22
同意腹腔内囊实性恶性肿物伴肝内转移。
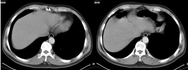
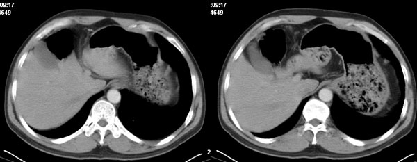
原因:胰头前方,前上腹部巨大囊实性肿物,与小肠关系密切,与胰头及胃壁之间脂肪间隙存在,囊壁不均匀,部分强化,占位效应明显,小肠上段扩张,十二指肠及胃腔内大量食物存留,说明上消化道有部分梗阻。因此,考虑来源于肠道的肿瘤。再结合其病史及肝内改变,这样考虑更有道理。
作者: anbo5502    时间: 2006-5-12 01:27
标题: 回复:ct3513:肝脏及腹部团块影!!!!
[emb6]
[本贴已被 anbo5502 于 2006-5-11 17:36:01 修改过]
作者: anbo5502    时间: 2006-5-12 01:34
我怎么不会引用病史?请版主删除。
患者便血,腹痛。病变应在消化道。支持楼上分析。
作者: ssl1_1    时间: 2006-5-12 03:49
胰腺假囊肿形成,肝内考虑血管瘤
作者: 江尾海头    时间: 2006-5-12 04:27
我们先确定病变来源于何处。从片上看,应该说是起源于肠道的囊实性的肿块。二、肝内低密度影,增强强化随时间强化,考虑小血管瘤。
作者: lyb999    时间: 2006-5-12 05:32
标题: 回复:ct3513:肝脏及腹部团块影!!!!
以下是引用lkc8963在2006-5-11 9:46:00的发言:[br]此病例较难,主要在于囊实性病灶的定位以及与肝内病灶的关联性的分析。[br]病史不再赘述。消化道出血可能与本次相关。[br]影像学表现:1 腹腔前中部、胰腺前方囊实性病灶(个人认为确定有否实性成分存在这是关键,涉及到鉴别诊断,如果是口服阳性造影剂则可明确左侧是不是小肠了),囊性部分囊壁不均,实性部分有强化,与小肠关系较密切,局部小肠受推移;与胰头、胃后壁均有脂肪间隙存在;2 胰腺无异常改变,胰周无渗出;3肝后段包膜下2个小圆形低密度灶,从图像和楼主提供的ct值来看有轻度强化,灶周无片状强化,不似单纯囊肿及肝癌、炎性病变表现;4 腹膜后及腹腔内无淋巴结肿大。[br]分析:1 如果腹腔内是囊实性病灶,则应多考虑肿瘤性病变,如源于小肠的间叶源性组织如神经源性肿瘤或间质瘤等;如果这么大存在恶性变的可能,那么肝内则可考虑为转移,征象亦符合;这种可能性最大;[br]   2 如果是单纯囊性病灶,则需鉴别于胆总管囊肿、胰腺囊肿、系膜囊肿了;胆总管囊肿应稍偏后,但憩室型胆总管囊肿可呈类似表现,肝内则用多发肝内囊肿来解释也勉强通过--先天性胆管囊肿不能排除;胰腺囊肿需可出现如此部位,但较少,胰腺本身及胰周均无异常,可能性较小;系膜囊肿则不能解释肝内病灶,如果用二种疾病来分开解释则违背了一元论原则。[br]诊断:小肠间叶组织源性肿瘤如神经源性肿瘤或间质瘤恶性变伴肝内转移可能性最大,不除外先天性胆管囊肿。[br]
 分析很透彻
作者: mx8000    时间: 2006-5-12 16:38
各位站友,今天早上去询问病史,已转院,看以后能联系上吗,有结果再发上来
作者: zhuxinli    时间: 2006-5-17 07:00
四楼分析很到位,
作者: guandong    时间: 2006-5-17 07:16
标题: 回复:ct3513:肝脏及腹部团块影!!!!
以下是引用lkc8963在2006-5-11 9:46:00的发言:[br]此病例较难,主要在于囊实性病灶的定位以及与肝内病灶的关联性的分析。[br]病史不再赘述。消化道出血可能与本次相关。[br]影像学表现:1 腹腔前中部、胰腺前方囊实性病灶(个人认为确定有否实性成分存在这是关键,涉及到鉴别诊断,如果是口服阳性造影剂则可明确左侧是不是小肠了),囊性部分囊壁不均,实性部分有强化,与小肠关系较密切,局部小肠受推移;与胰头、胃后壁均有脂肪间隙存在;2 胰腺无异常改变,胰周无渗出;3肝后段包膜下2个小圆形低密度灶,从图像和楼主提供的ct值来看有轻度强化,灶周无片状强化,不似单纯囊肿及肝癌、炎性病变表现;4 腹膜后及腹腔内无淋巴结肿大。[br]分析:1 如果腹腔内是囊实性病灶,则应多考虑肿瘤性病变,如源于小肠的间叶源性组织如神经源性肿瘤或间质瘤等;如果这么大存在恶性变的可能,那么肝内则可考虑为转移,征象亦符合;这种可能性最大;[br]   2 如果是单纯囊性病灶,则需鉴别于胆总管囊肿、胰腺囊肿、系膜囊肿了;胆总管囊肿应稍偏后,但憩室型胆总管囊肿可呈类似表现,肝内则用多发肝内囊肿来解释也勉强通过--先天性胆管囊肿不能排除;胰腺囊肿需可出现如此部位,但较少,胰腺本身及胰周均无异常,可能性较小;系膜囊肿则不能解释肝内病灶,如果用二种疾病来分开解释则违背了一元论原则。[br]诊断:小肠间叶组织源性肿瘤如神经源性肿瘤或间质瘤恶性变伴肝内转移可能性最大,不除外先天性胆管囊肿。[br]
作者: 守望可可    时间: 2006-5-17 16:30
也同意并支持4楼lkc8963的分析,期盼结果
作者: dycdsm    时间: 2006-5-17 17:55
4楼说得在理,支持.
作者: 迎客松    时间: 2006-5-17 23:13
应该是消化道肿瘤肝转移可能大,这么大东西定位确实很困难,所以病史有时候很重要!
作者: shibing    时间: 2015-6-9 08:25
同意腹腔内囊实性恶性肿物伴肝内转移。
原因:胰头前方,前上腹部巨大囊实性肿物,与小肠关系密切,与胰头及胃壁之间脂肪间隙存在,囊壁不均匀,部分强化,占位效应明显,小肠上段扩张,十二指肠及胃腔内大量食物存留,说明上消化道有部分梗阻。因此,考虑来源于肠道的肿瘤。再结合其病史及肝内改变,这样考虑更有道理。
作者: muzi888    时间: 2015-6-9 10:52
四楼分析的很精辟,支持消化道肿瘤肝转移。
| 欢迎光临 医影在线 (http://bbs.radida.com/bbs/) | 
Powered by Discuz! X3.2 |