医影在线

标题: MRI0413:胸椎 求教 [打印本页]

作者: jiexiong    时间: 2006-5-14 07:42
标题: MRI0413:胸椎 求教
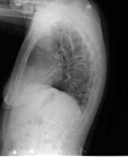
女性 45岁 患肾病综合症1年 有长期使用激素史 现诉背部疼痛。






[本贴已被 翁志蓬 于 2006-5-14 0:34:16 修改过]

作者: happier    时间: 2006-5-14 18:17
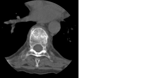
椎弓根无破坏,椎间隙正常存在,椎旁未见软组织肿块,结核及转移可见除外吧,考虑压缩性骨折
作者: 晓杰    时间: 2006-5-14 22:21
考虑压缩性骨折
作者: 秋风    时间: 2006-5-14 23:13
骨质疏松所致的压缩性骨折
作者: yz    时间: 2006-5-15 02:17
上不着村下不着店,胸骨也未见到,很难定位。结合病史考虑为骨质疏松所致多发性胸椎骨折合并节段性胸髓损伤。
作者: ZHWW    时间: 2006-5-15 02:31
压缩性骨折。
作者: lygxpygl    时间: 2006-5-15 04:22
检查技术有待改进,自己给自己出了一个无法解决的难题,定位?暂时考虑单纯多发压缩性骨折改变
作者: zryh    时间: 2006-5-15 17:18
考虑骨质疏松所致多发压缩性骨折。
作者: gyj    时间: 2006-5-20 20:41
789压缩骨折??
作者: zyx168    时间: 2008-6-4 01:49
考虑骨质疏松所致多发压缩性骨折。
作者: dangjiancai    时间: 2015-5-18 15:15
骨质疏松所致的压缩性骨折




欢迎光临 医影在线 (http://bbs.radida.com/bbs/) Powered by Discuz! X3.2