医影在线

标题: CT3552:右肺下叶病变,请会诊! [打印本页]

作者: woaixct    时间: 2006-5-15 06:14
标题: CT3552:右肺下叶病变,请会诊!
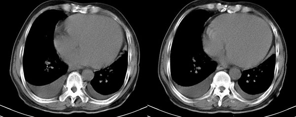
男性,68岁,心慌、胸闷五年,加重半个月
pe:双肺呼吸音粗,右下肺呼吸间减弱,叩诊呈浊音,双肺未闻及干湿性罗音,心界向左下扩大,律不齐,可闻及早搏,心尖区可闻及3/6级sm。实验室检查缺如










[本贴已被 翁志蓬 于 2006-5-14 22:59:04 修改过]

作者: 叶盟    时间: 2006-5-15 06:19
胸腔积液。还有什么呢?
作者: wawaquan    时间: 2006-5-15 06:28
胸腔积液。右下肺彭胀不全。
作者: guzhongliangddd    时间: 2006-5-15 06:33
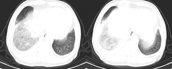
右肺下叶肺野密度增加,呈毛玻璃样密度改变,右恻叶间胸膜有增厚,双恻胸腔有积液.肺内改变我首先考虑是肺泡性肺水肿.
作者: yz    时间: 2006-5-15 06:35
右下肺团块状影疑肺隔离症,另单从影像学角度考虑双侧胸水,以右侧明显,结合病史心源性胸水可能性大。
作者: syfszcw    时间: 2006-5-15 06:51
胸腔积液
作者: chongqingluoguo    时间: 2006-5-15 07:10
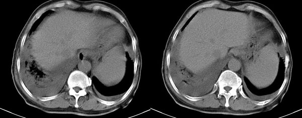
心衰致双侧胸腔积液,右肺下叶肺水肿,腹水。
作者: dyqct    时间: 2006-5-15 16:25
标题: 回复:ct3552:右肺下叶病变,请会诊!
以下是引用guzhongliangddd在2006-5-14 22:33:00的发言:[br]右肺下叶肺野密度增加,呈毛玻璃样密度改变,右恻叶间胸膜有增厚,双恻胸腔有积液.肺内改变我首先考虑是肺泡性肺水肿.

作者: fumaogui    时间: 2006-5-15 17:04
支持7楼分析.
作者: dingn    时间: 2006-5-15 18:22
标题: 回复:ct3552:右肺下叶病变,请会诊!

综合临床考虑:
      心衰患者
作者: 同    时间: 2006-5-15 22:27
双侧胸腔积液 肺泡性肺水肿
作者: sunshine98261    时间: 2006-5-15 22:45
1.胸腔积液合并右肺下叶含气不良.
2.左心室增大.
作者: 逸风    时间: 2006-5-15 23:23
标题: 回复:ct3552:右肺下叶病变,请会诊!
我想楼主发布此病历的目的是要解决右肺下叶磨玻璃样改变是什么原因?我也想知道各位战友和老师从病理生理学的角度对此患者的解释.看了大家的回帖,难免有些遗憾!除了个别老师有些提示外,其余回帖让人觉得有些失望,没有丝毫的营养成分!......
此患者除了双侧胸腔积液外,最明显的病变就是右肺下叶磨玻璃样的改变,如果说是肺泡性水肿,为什么左肺没有改变,一般情况下心衰导致的肺水肿应该是双侧改变呀?我认为还是胸水压迫右下肺膨胀不全合并感染的解释更合理一些!但胸水量比较少,能导致这么明显的肺改变吗?
学识浅薄,考虑不周全,只能尽力,希望各位老师能够有全面合理的解释,让我们有机会站在巨人的肩膀上!真心期盼
作者: yemin92007    时间: 2006-5-16 00:00
支持心源性胸腔积液伴右肺压迫性不张。
作者: ssl1_1    时间: 2006-5-16 02:46
心衰并胸水,右肺膨胀不全并炎性改变
作者: 哎呀叮叮    时间: 2006-5-16 04:53
原来是下腔静脉,长见识了,谢谢!
作者: lyb999    时间: 2006-5-16 04:59
心衰致双侧胸腔积液,右肺下叶肺水肿。
作者: guzhongliangddd    时间: 2006-5-16 06:28
标题: 回复:ct3552:右肺下叶病变,请会诊!



以上为书上部分摘要。
作者: 逸风    时间: 2006-5-18 04:12
标题: 回复:ct3552:右肺下叶病变,请会诊!
以下是引用guzhongliangddd在2006-5-15 22:28:00的发言:[br][br][br][br]以上为书上部分摘要。

[face=宋体][/face]非常感谢!!
作者: lygxpygl    时间: 2006-5-18 05:20
理论固然重要,但是,既然有人考虑肺不张,那么,哪一段?支气管分叉层面图片没有提供,因此,并不能就此诊断,如果由于腔静脉压迫引起肺通气功能障碍,好像比较少见
作者: liuwensheng_doc    时间: 2006-5-19 00:48
心脏肥大,双侧胸腔积液,左肺改变不著,右侧有叶间积液,下叶膨胀不权有可能.
作者: shibing    时间: 2015-6-9 14:15
心衰




欢迎光临 医影在线 (http://bbs.radida.com/bbs/) Powered by Discuz! X3.2