医影在线
标题: CT3553:[原创]膝关节病变 [打印本页]
作者: lanhai 时间: 2006-5-15 06:50
标题: CT3553:[原创]膝关节病变
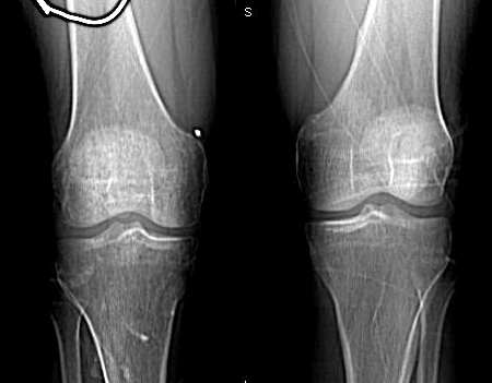
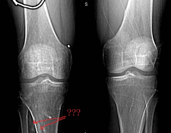
患者,男.40y,右侧膝关节疼痛半年,加重月余




[本贴已被 jiajie 于 2006-5-15 8:21:53 修改过]
作者: wawaquan 时间: 2006-5-15 07:17
右膝关节积液,骨质疏松。
作者: 流星1234 时间: 2006-5-15 08:08
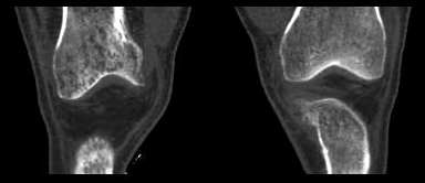
右侧股骨下端 胫骨近端及髌骨见骨质疏松,松质及皮质见虫蚀状溶骨性破坏,皮质变薄,骨小梁减少模糊,胫骨近侧干骺端内侧骨破坏性,关节肿胀,关节间隙增宽,周围未见明显软组织肿块.
临床 右膝关节痛半年,加重月余
考虑 多发性骨髓瘤
作者: dyqct 时间: 2006-5-15 16:27
病人年龄。
作者: dingn 时间: 2006-5-15 18:37
标题: 回复:ct3553:[原创]膝关节病变
请追问病史,是否有外伤,我院有一个一样的,为创伤性关节炎[emb18][emb18]
[本贴已被 dingn 于 2006-5-15 11:24:59 修改过]
作者: 乡医 时间: 2006-5-15 18:55
1、右膝关节积液是 2、多发性骨髓瘤大于骨质疏松,因为骨质疏松多为全身性,普遍性的。
作者: 逸风 时间: 2006-5-16 00:05
标题: 回复:ct3553:[原创]膝关节病变

就膝关节的病变,我还是支持wawaquan版主的意见,病理上可以解释为长期的关节炎性病变,充血引起的骨质疏松!!多发骨髓瘤好发于扁骨,再说,发生于长骨的多为一骨多病灶,象这样关节两端,骨质改变相同的少见!软组织变化也不支持.
建议:1.胫骨全长摄片检查,排除中段病变;2.尿查本周蛋白;
作者: lyb999 时间: 2006-5-16 05:06
标题: 回复:ct3553:[原创]膝关节病变
[quote]以下是引用逸风在2006-5-15 16:05:00的发言:[br]
[br]就膝关节的病变,我还是支持wawaquan版主的意见,病理上可以解释为长期的关节炎性病变,充血引起的骨质疏松!!多发骨髓瘤好发于扁骨,再说,发生于长骨的多为一骨多病灶,象这样关节两端,骨质改变相同的少见!软组织变化也不支持.[br]建议:1.胫骨全长摄片检查,排除中段病变;2.尿查本周蛋白;[/q[img][/img]
作者: wxy7406 时间: 2006-5-16 05:27
考虑为缺血性改变。股骨远端及胫骨近端均呈同样改变,髓腔及骨皮质均未见骨破坏改变。
作者: 林建春 时间: 2006-5-16 06:53
支持骨质疏松的诊断.
作者: lkc8963 时间: 2006-5-16 10:00
无积液,皮质变薄、小梁纤细无中断,骨干变细,周围肌群明显萎缩,不支持mm,也不支持滑膜慢性充血所致骨质疏松,故首先考虑废用性局限性骨质疏松,请结合临床查找疼痛原因。
作者: shibing 时间: 2015-6-9 14:14
骨质疏松
| 欢迎光临 医影在线 (http://bbs.radida.com/bbs/) |
Powered by Discuz! X3.2 |