





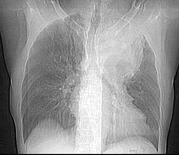
以下是引用乡医在2006-5-15 11:05:00的发言:[br]定位:来自纵隔[br]影象:与纵隔关系密切,类圆形,有膨胀感,有完整的壁及壁结节强化,内部密度均匀。[br]临床:男,60,胸不适半年,近有发热,无咳嗽咳血,平素体健无体检史。[br]影象意见:支气管囊肿合并感染。建议病理确诊。
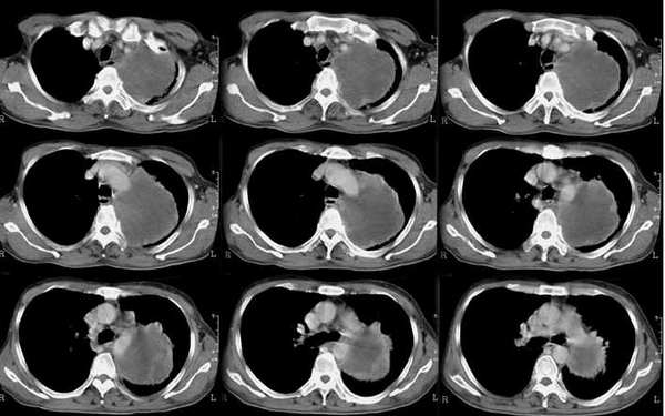
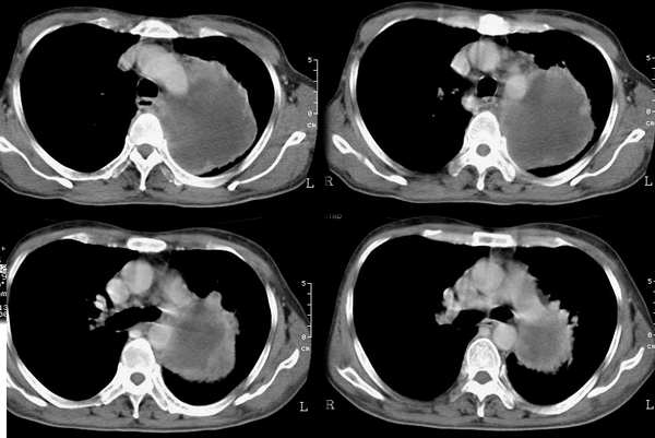
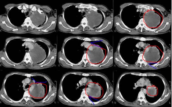
以下是引用逸风在2006-5-15 17:08:00的发言:[br]ct所见各位老师描述很全面,不再赘述.补充一点,右侧镉肌局限性升高.[br]定位:左后上纵隔.从平片看,肿块外缘肺纹理呈弧形受压改变.横断扫描肿块在肺门周围靠后,肺门及气管位置未见明显移位.外周肺野未见明显阻塞性改变.[br]定性:恶性可能大.肿块边缘不光整,可见强化壁结节,内部有轻度不均匀强化密度,部分层面肿块与主动脉分界不清.右肺中叶小结节影.[br]诊断意见:左侧后上纵隔囊实性占位,考虑来源于神经源性肿瘤,恶性可能大.[br]建议:1.穿刺活检,明确诊断.2.b超右膈下检查,排外膈下病变.

| 欢迎光临 医影在线 (http://bbs.radida.com/bbs/) | Powered by Discuz! X3.2 |