医影在线

标题: X0743:[推荐][原创]绝对典型 [打印本页]

作者: lanlong1979    时间: 2006-5-15 20:22
标题: X0743:[推荐][原创]绝对典型
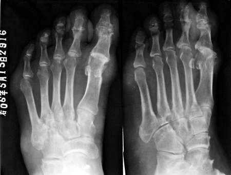
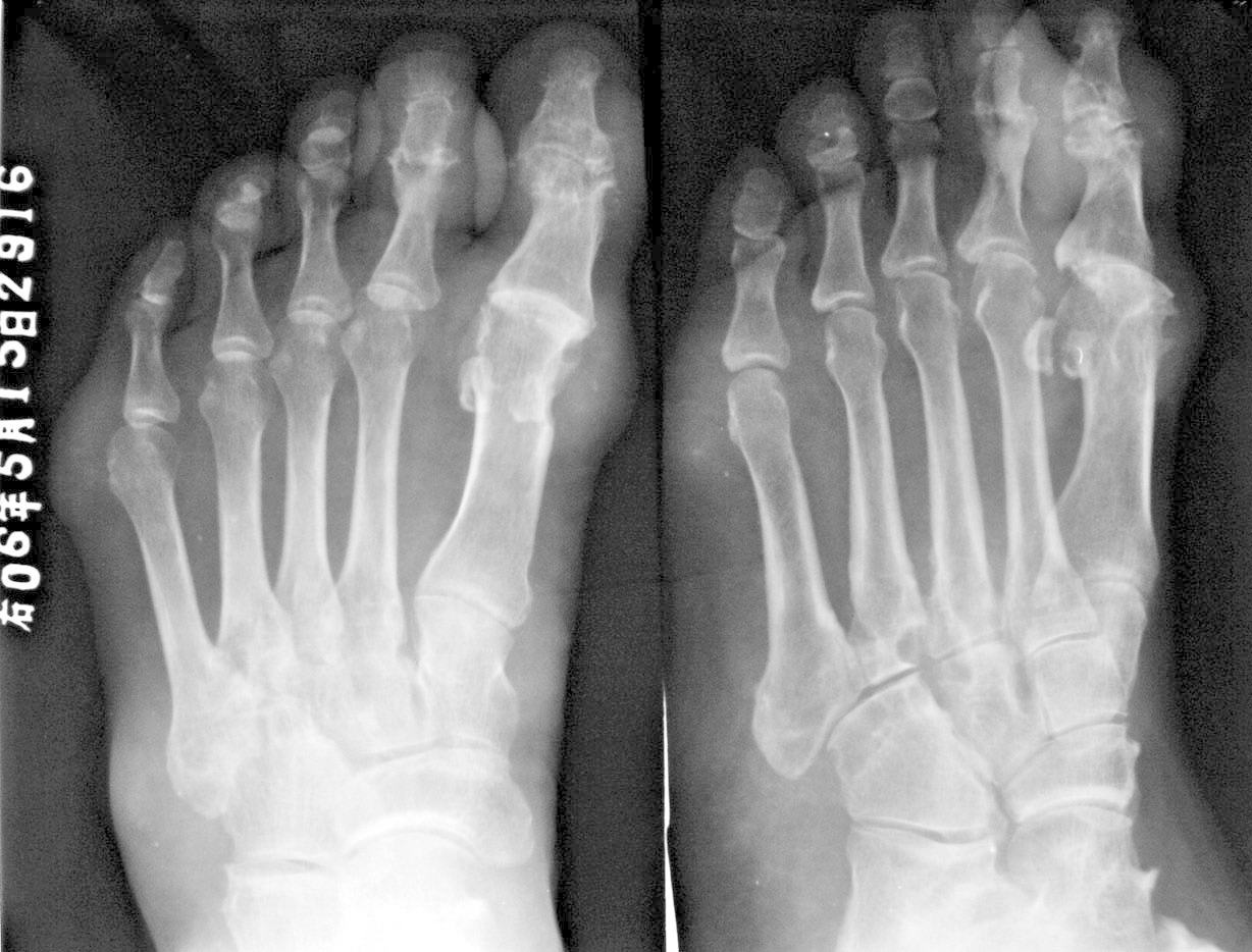
不用病史大家一看就知道是什么了!




[本贴已被 jiajie 于 2006-5-15 17:19:46 修改过]

作者: lanlong1979    时间: 2006-5-15 20:33
标题: 回复:[推荐][原创]绝对典型


上面的太黑了,修改了一下。
作者: wawaquan    时间: 2006-5-15 21:36
痛风。
作者: 同    时间: 2006-5-15 22:59
痛风 典型
作者: dyqct    时间: 2006-5-15 23:27
楼主说的很对。
作者: xingxiyue    时间: 2006-5-15 23:33
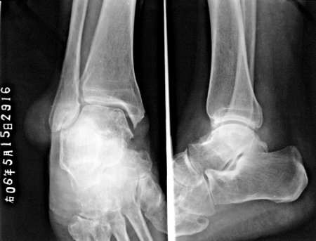
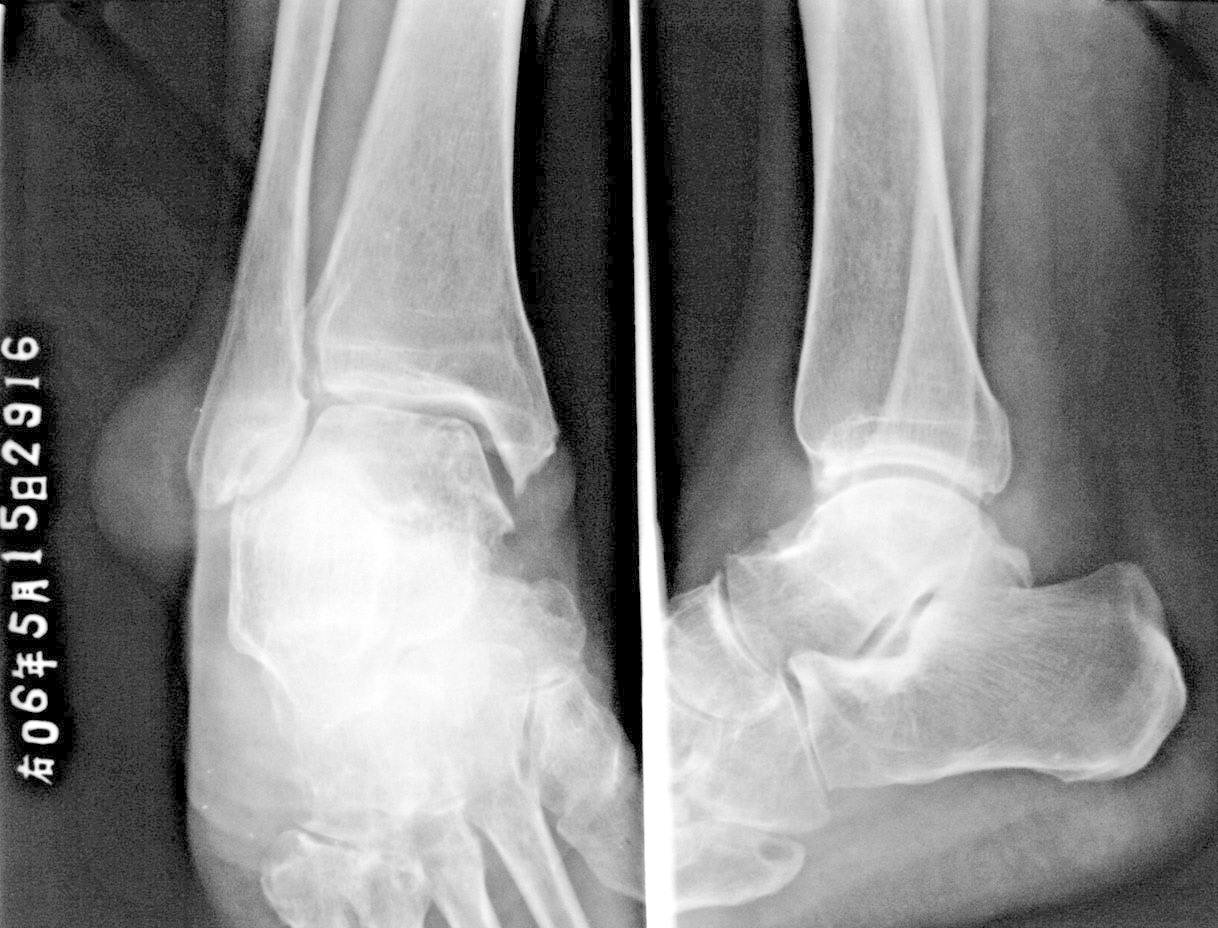
痛风,外踝之软组织肿物?
作者: 周杭    时间: 2006-5-16 01:03
痛风,不过也要查查尿酸
作者: 木子    时间: 2006-5-16 01:45
痛风
作者: zhangkening    时间: 2006-5-16 01:53
痛风.并且可见到痛风石
作者: wws3203    时间: 2006-5-16 02:35
支持痛风的诊断。
作者: 蓝海豚    时间: 2006-5-16 03:21
痛风,外踝软组织肿块影呢
作者: yrj3222585    时间: 2006-5-16 03:42
楼主说的很对。
作者: chry3    时间: 2006-5-16 04:10
痛风所致关节病变,软组织肿块为通风形成的皮下结节
作者: jiangjing    时间: 2006-5-16 05:42
支持痛风---穿凿状破坏,软组织肿块,痛风石形成。
作者: yz    时间: 2006-5-16 08:55
穿凿样骨质破坏及及足、外踝痛风结节形成符合痛风性关节炎。
作者: lkc8963    时间: 2006-5-16 09:45
标题: 回复:x0743:[推荐][原创]绝对典型
以下是引用jiangjing在2006-5-15 21:42:00的发言:[br]支持痛风---穿凿状破坏,软组织肿块,痛风石形成。

作者: liaoqiang    时间: 2006-5-16 17:48
的确经典。
作者: drzhang8888    时间: 2006-5-17 04:54
好片
作者: 清风无痕    时间: 2006-5-17 06:45
支持痛风的诊断
作者: syfszcw    时间: 2006-5-17 07:42
痛风
作者: 实习医生    时间: 2006-5-17 08:56
痛风 典型
作者: zhuxinli    时间: 2006-5-17 19:33
痛风 典型
作者: luoyansheng    时间: 2006-5-18 04:29
痛风,外踝之软组织肿物?经典!
作者: x-ray    时间: 2006-5-18 05:55
支持痛风的诊断。
作者: zhaz2    时间: 2006-5-20 21:34
收藏
作者: 忧郁王子    时间: 2006-5-21 01:18
请问尿酸高吗,病人一般症状如何,为吸取经练
作者: 天涯tianya    时间: 2006-5-21 01:59
支持痛风的诊断,
作者: 一点红    时间: 2006-5-21 08:09
痛风伴蜕变.踝关节处应该是软组织肿物吧.好象没有看到骨质吸收和压迫改变



好好努力,向同行门学习希望大家多多指导
作者: lanlong1979    时间: 2006-5-22 07:46
标题: 回复:x0743:[推荐][原创]绝对典型
以下是引用忧郁王子在2006-5-20 17:18:00的发言:[br]请问尿酸高吗,病人一般症状如何,为吸取经练

尿酸高,该患者患病已经近十年,双手及双足均可见多发明显病变。
作者: jinguoji    时间: 2006-11-14 06:42
痛风
作者: shibing    时间: 2012-9-27 15:12
痛风 典型
作者: mujianbao    时间: 2012-9-27 18:52
痛风




欢迎光临 医影在线 (http://bbs.radida.com/bbs/) Powered by Discuz! X3.2