医影在线

标题: CT3559:肺CA术后 [打印本页]

作者: 将军    时间: 2006-5-16 02:42
标题: CT3559:肺CA术后
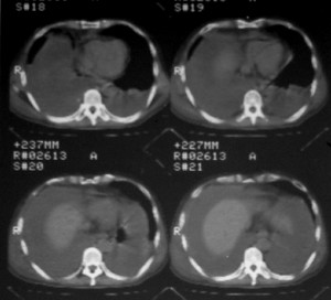
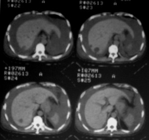
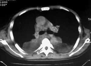
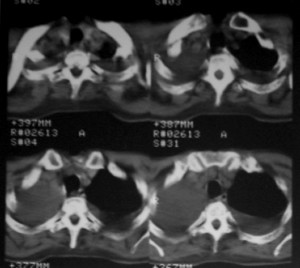
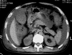
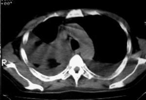
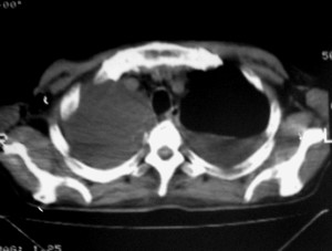
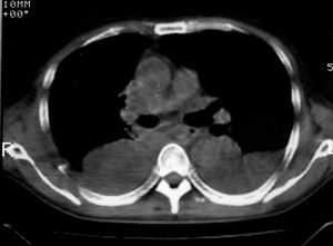
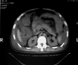
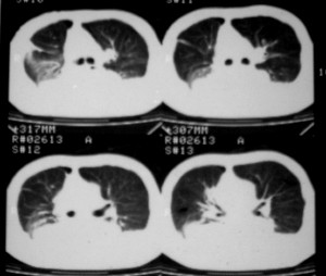
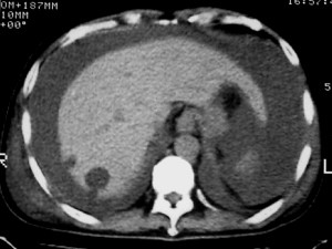
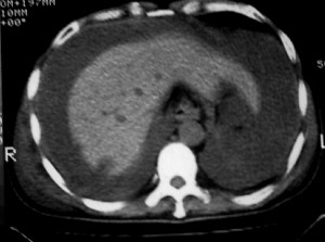
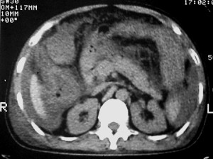
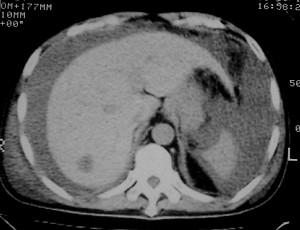
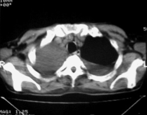
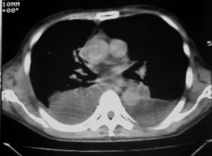
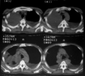
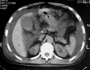
m ,60岁,右上肺ca术后一月。
































[本贴已被 jiajie 于 2006-5-15 19:21:52 修改过]

作者: gzayhsj    时间: 2006-5-16 03:39
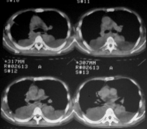
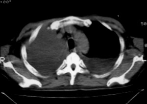
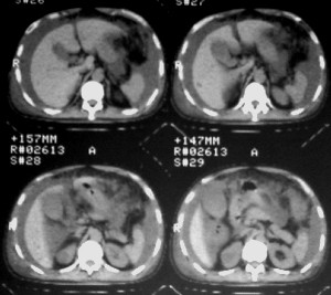
右侧肺癌术后:肝内可见多个大小不等的低密度结节影。腹腔及双侧胸腔大量积液。考虑:肺癌并胸膜及肝脏转移。
作者: wawaquan    时间: 2006-5-16 05:22
m ,60岁,右上肺ca术后一月。
纵隔淋巴结增大,双侧胸水。考虑术后残留,而非复发。
腹水,肝及右肾多发低密度影。考虑转移。
作者: 叶盟    时间: 2006-5-16 05:25
转移
作者: 流星1234    时间: 2006-5-16 06:35
肝及右肾转移瘤,双侧胸水
作者: dyqct    时间: 2006-5-16 06:58
metastasis.
作者: jiangjing    时间: 2006-5-16 07:19
m ,60岁,右上肺ca术后一月。
纵隔淋巴结增大,双侧胸水。考虑术后残留,而非复发。
腹水,肝及右肾多发低密度影。考虑转移。
作者: 拾荒者    时间: 2006-5-16 08:00
右肾及肝内多发转移瘤,胸水。
作者: yz    时间: 2006-5-16 08:17
1、右肺癌术后改变。2、双侧胸水、腹水。3、多发性肝囊肿,右侧肾囊肿。
作者: lkc8963    时间: 2006-5-16 08:52
标题: 回复:ct3559:肺ca术后
以下是引用yz在2006-5-16 0:17:00的发言:[br]1、右肺癌术后改变。2、双侧胸水、腹水。3、多发性肝囊肿,右侧肾囊肿。

目前转移或复发的依据不足,术后才一个月,个人认为还是让临床去判断,而且需结合术前常规检查,有无肝肾囊肿;另外有一个疑问:肝胃间隙内团状软组织影是胃食管交接区吗,胃腔太小了吧,有无手术史请楼主告知.
作者: 同    时间: 2006-5-16 14:34
肺癌术后 。双侧胸水 纵隔 胸膜 肝脏转移
作者: ssl1_1    时间: 2006-5-18 03:41
标题: 回复:ct3559:肺ca术后
以下是引用wawaquan在2006-5-15 21:22:00的发言:[br]m ,60岁,右上肺ca术后一月。[br]纵隔淋巴结增大,双侧胸水。考虑术后残留,而非复发。[br]腹水,肝及右肾多发低密度影。考虑转移。

作者: shibing    时间: 2015-6-9 11:25
1、右肺癌术后改变。2、双侧胸水、腹水。3、多发性肝囊肿,右侧肾囊肿。





欢迎光临 医影在线 (http://bbs.radida.com/bbs/) Powered by Discuz! X3.2