医影在线

标题: MRI0426:[求助]骶椎病变,请会诊 [打印本页]

作者: 刘明    时间: 2006-5-17 22:12
标题: MRI0426:[求助]骶椎病变,请会诊
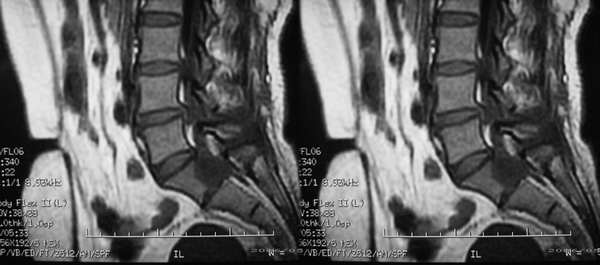
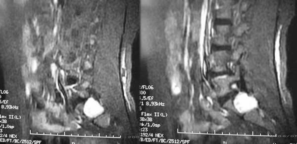
患者,女性,60岁。腰痛、腿痛一周余,临床医生考虑:椎间盘突出,行ct及mr检查









[本贴已被 jiajie 于 2006-5-17 19:06:44 修改过]

作者: gaoqiang1971092    时间: 2006-5-17 22:46
神经源性肿瘤
作者: 柯长存    时间: 2006-5-18 02:20
椎管囊肿?
作者: first8868603    时间: 2006-5-18 02:50
蛛网膜囊肿,也称脊膜囊肿
作者: 蓝天1号    时间: 2006-5-18 02:55
椎管内蛛网膜囊肿
作者: tch7469    时间: 2006-5-18 03:00
神经源性肿瘤囊性变可能.不除外骶管囊肿.
作者: 576034755    时间: 2006-5-18 03:29
1加做flair像     2 强化
作者: lygxpygl    时间: 2006-5-18 04:25
考虑骶管囊肿可能性大
作者: dxwwd    时间: 2006-5-18 05:49
首先考虑骶管囊肿
作者: 同    时间: 2006-5-18 14:41
骶管囊肿可能性大
作者: hpyea    时间: 2006-5-18 20:49
脊膜囊肿
作者: wawaquan    时间: 2006-5-18 21:02
骶骨椎体层面囊性占位,骶孔不扩大。考虑蛛网膜囊肿。
作者: piao001    时间: 2006-5-19 02:03
骶管囊肿
作者: bssy    时间: 2006-5-19 06:34
病灶为长t1长t2信号,对s1椎体是压迫吸收,应首先考虑骶管囊肿。建议增强扫描。
作者: 腾龙阁    时间: 2006-5-19 08:11
征象:1、骶椎管偏右侧囊性病变,长t1长t2改变,均匀。2、慢性病变过程,邻近骨质有吸收变薄。
考虑:盲囊蛛网膜囊肿。
作者: lijianjun_dan    时间: 2006-5-19 23:10
神经源性肿瘤
作者: jiangjing    时间: 2006-5-20 17:48
征象:1、骶椎管偏右侧囊性病变,长t1长t2改变,均匀。2、慢性病变过程,邻近骨质有吸收变薄。
考虑1骶管囊肿。2神经源性肿瘤。
作者: gyj    时间: 2006-5-20 19:18
蛛网膜囊肿可能性大,临床症状与此没有很大关系椎间盘影响更大一些
作者: 龙睛鱼    时间: 2006-5-21 00:39
骶管囊肿可能性大
作者: fjwfjw    时间: 2006-5-21 01:30
强烈支持骶管囊肿。
作者: sunshine98261    时间: 2006-5-21 05:56
长t1长t2,首先考虑:囊肿
作者: zxsyjr    时间: 2006-5-21 18:21
首先考虑骶管囊肿,神经源性肿瘤待排
作者: sunhua666    时间: 2006-5-23 01:48
考虑神经源性肿瘤。
作者: sn4187189    时间: 2006-5-23 16:08
骶管囊肿
作者: zyx168    时间: 2008-5-30 01:48
考虑骶管囊肿
作者: dangjiancai    时间: 2015-5-23 15:14
蛛网膜囊肿,也称脊膜囊肿
作者: jiangjing    时间: 2015-5-23 17:35
S1椎长T1长T2信号,与蛛网膜下腔相连,边界清晰,CT可见局部骨质吸收,边缘硬化改变。支持骶管囊肿。
作者: jzp0434    时间: 2015-7-22 13:50
考虑骶管囊肿可能性大。




欢迎光临 医影在线 (http://bbs.radida.com/bbs/) Powered by Discuz! X3.2