医影在线

标题: CT3596:[原创]胸闷4天,试传图像 [打印本页]

作者: 同    时间: 2006-5-19 18:55
标题: CT3596:[原创]胸闷4天,试传图像
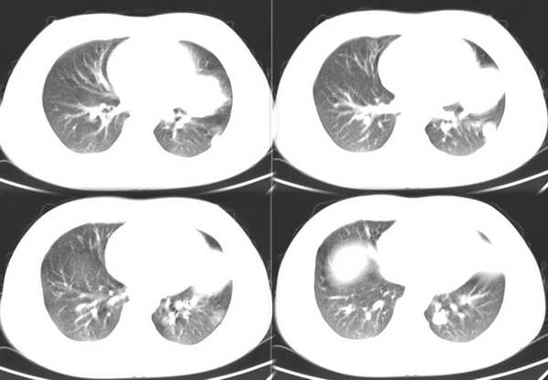
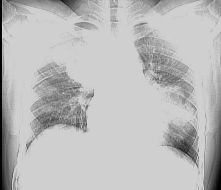
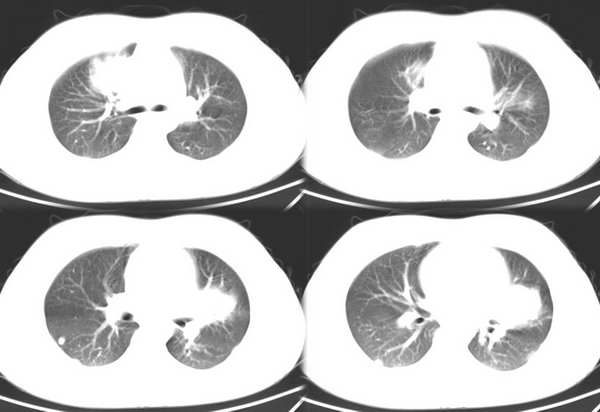
男,18岁。咳嗽,胸闷4天。







[本贴已被 jiajie 于 2006-5-20 5:36:41 修改过]

作者: dyqct    时间: 2006-5-19 19:24
纵隔图像呢?metastasis.
作者: 木子    时间: 2006-5-19 20:28
纵隔图像?
作者: chenqiong    时间: 2006-5-19 20:41
没有纵隔窗很难定的
作者: guzhongliangddd    时间: 2006-5-19 21:23
战友所上传图象不错,请继续上传纵隔的资料,以便大家讨论!!
作者: 同    时间: 2006-5-19 22:12
我对电脑不董 学着试发图片 请战友们谅解
作者: sunhua666    时间: 2006-5-20 00:20
值得鼓励,请用同样的方法把纵隔窗传过来吧!
请继续努力!
作者: 拾荒者    时间: 2006-5-20 04:03
病例不错,请继续发纵隔窗图片!!!
作者: tsxhfsk    时间: 2006-5-20 04:08
标题: 回复:[原创]试传图像
以下是引用sunhua666在2006-5-19 16:20:00的发言:[br]值得鼓励,请用同样的方法把纵隔窗传过来吧![br]请继续努力!

作者: ssl1_1    时间: 2006-5-22 05:07
肺转移
作者: shibing    时间: 2015-6-9 15:23
肺转移




欢迎光临 医影在线 (http://bbs.radida.com/bbs/) Powered by Discuz! X3.2