医影在线

标题: CT3597:[原创]胸部强化cT,请各位战友会诊!谢谢!! [打印本页]

作者: guzhongliangddd    时间: 2006-5-19 21:15
标题: CT3597:[原创]胸部强化cT,请各位战友会诊!谢谢!!
男,76岁,因心累,气紧加重,伴吐白色沫哝痰,偶尔有低烧,无盗汗。{门诊患者未见其它检查}
















[本贴已被 jiajie 于 2006-5-20 5:59:32 修改过]

作者: liuwensheng_doc    时间: 2006-5-19 21:48
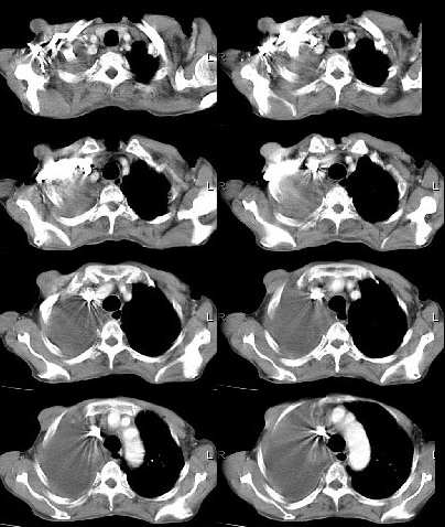
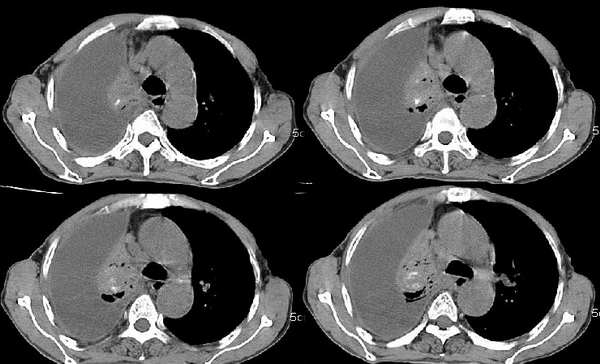
右肺上叶私有肿块,其内见条状 点状钙化,上叶后段支气管有阻塞征象,纵隔内见淋巴结影,大量胸水,陈旧性结核,肺癌不排除.
作者: guzhongliangddd    时间: 2006-5-19 23:00
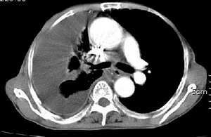
病灶在右上叶支气管的后段旁,成类圆形,约2.3厘米大小,其内见钙化密度区,病灶平扫为77,强化为87.左肺上叶尖后段沿血管支气管分布见小结节.我认为右上叶后段支气管开口有截断.我首先考虑是右中央型肺癌伴右恻大量胸腔积液,但左肺的病变我真的有的不好解释,希望各位战友继续讨论,不对之处望指出!!谢谢!!!
作者: gzayhsj    时间: 2006-5-19 23:15
右肺毁损萎陷,其内可见钙化灶、残存空腔及支气管影。左上叶可见多发小结节影。纵隔左移,其内未见肿大淋巴结。右侧胸腔大量积液。考虑:肺结核并右肺毁损;右侧胸腔大量积液。
作者: dyqct    时间: 2006-5-19 23:20
右侧大量胸腔积液伴右肺压迫性肺不张,上叶内是不是结核灶?
作者: sunhua666    时间: 2006-5-20 00:08
考虑是炎性病灶,以肺结核可能性大。
作者: yxxz    时间: 2006-5-20 00:39
右侧大量胸腔积液伴右肺压迫性肺不张,左上叶结核.
作者: 柯长存    时间: 2006-5-20 00:45
包裹性积液,并右侧肺不张
作者: guzhongliangddd    时间: 2006-5-20 02:49
从左肺上叶的改变看我认为各位战友分析得有道理,尤其是楼的战友。在可科室讨论会上有人提出用2元论解释{即右恻是癌,左肺上叶改变考虑是结核}。当时我也不好发言,故上传请教各位战友。看后上述讨论我认为一员论解释更好,及结核。请继续讨论!谢谢!!
作者: lyb999    时间: 2006-5-20 03:30
右肺萎陷,上叶似有肿块,其内见条状、点状钙化,上叶后段支气管有阻塞征象,纵隔内见肿大淋巴结影,右侧大量胸水,陈旧性结核。同时不排除在原有双肺结核的基础上出现右上肺癌并胸膜及纵隔淋巴转移的可能
作者: tsxhfsk    时间: 2006-5-20 04:06
陈旧性结核。在原有双肺结核的基础上出现右肺瘢痕癌并胸膜及纵隔淋巴转移的可能
作者: 绿水青山    时间: 2006-5-20 05:01
支持右肺ca伴胸水,依据1有点状钙化肿块2支气管截断。最好抽胸水后再扫描,支气管镜检最好。
左上肺炎性或tb可以排外转移。
作者: guduchunmeng    时间: 2006-5-20 05:33
右上叶后段开口处可见约3cm·3cm大小的肿块,边缘较光滑,无明显分叶且有钙化,右上叶支气管后壁受侵不明显,加上左上叶病灶。我首先考虑肺结核,胸腔积液。右肺不张。还是建议支气管镜检查,或者胸水检查。
作者: yz    时间: 2006-5-20 06:28
支持肺结核合并右侧大量胸水。
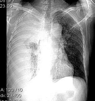
作者: zanmin52    时间: 2006-5-20 06:53
一看这个病人的定位片大致倾向恶性病变,因胸水漫顶,纵隔少偏.右上肺门旁肿块肯定,肺内肿瘤可能性很大.右上肺病灶多为陈旧性结核.实际上结核病并发肿瘤并非少见.所以二元论诊断也不奇怪.
作者: lkc8963    时间: 2006-5-20 10:08
右后段处示一肿块但无明显肺癌强化方式,其内尚见钙化,胸膜亦无结节样增厚,再加上左肺结核表现(支血束结节样增粗不确切),则更支持结核伴大量胸液表现。
作者: ssl1_1    时间: 2006-5-22 05:14
二元论
作者: shibing    时间: 2015-6-9 15:23
包裹性积液,并右侧肺不张




欢迎光临 医影在线 (http://bbs.radida.com/bbs/) Powered by Discuz! X3.2