
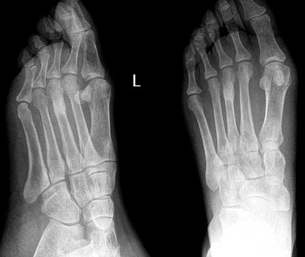
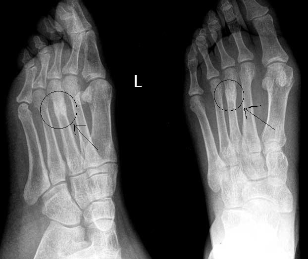
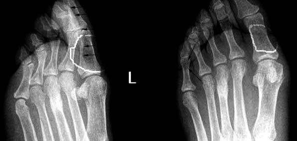
以下是引用常山真人在2004-7-20 9:50:49的发言:[br]第3遮骨疲劳性骨折[br]左足第1趾-似---囊性病变(片不太清晰) 1-正常 2-如是囊性病变多为内生性软骨瘤。[br][br][本贴已被 常山真人 于 2004-7-20 9:53:09 修改过]
以下是引用吕军浩在2004-7-20 12:17:40的发言:[br][quote]以下是引用常山真人在2004-7-20 9:50:49的发言:[br]第3遮骨疲劳性骨折[br]左足第1趾-似---囊性病变(片不太清晰) 1-正常 2-如是囊性病变多为内生性软骨瘤。[br][br][本贴已被 常山真人 于 2004-7-20 9:53:09 修改过]

以下是引用rjbjl在2004-7-20 21:39:14的发言:[br]应该是第三蹠骨疲劳型骨折[br]zhi骨
以下是引用常山真人在2004-7-20 9:50:49的发言:[br]第3遮骨疲劳性骨折[br]左足第1趾-似---囊性病变(片不太清晰) 1-正常 2-如是囊性病变多为内生性软骨瘤。[br][br][本贴已被 常山真人 于 2004-7-20 9:53:09 修改过]

以下是引用www123456在2004-7-20 23:17:45的发言:[br]典型的第三跖骨 疲劳骨折。[br]对于第一趾骨的病变怀疑是没有根据的,斜位所见影像是由于第一趾的跖趾关节软组织和骨皮质凑成的。在正位片可见第一趾的骨质是完好的。
以下是引用jiajie在2004-7-25 6:45:26的发言:[br][br][br]肯定不是正常。

| 欢迎光临 医影在线 (http://bbs.radida.com/bbs/) | Powered by Discuz! X3.2 |