医影在线
标题: X0760:[讨论]左肘部外伤 [打印本页]
作者: renewliu 时间: 2006-5-22 23:14
标题: X0760:[讨论]左肘部外伤
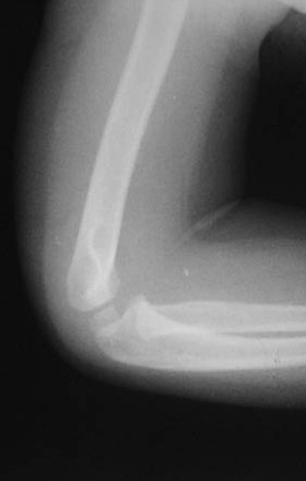
男儿,5岁,左肘部外伤,局部肿胀一天。


[本贴已被 jiajie 于 2006-5-22 17:24:16 修改过]
作者: 高佳 时间: 2006-5-23 02:40
没看到啥问题啊
作者: wk8888 时间: 2006-5-23 03:48
左肱骨小头上方骨皮质不连续,隐示一';线';型骨折线,软组织肿胀,考虑左肱骨小头骨骺分离
作者: jiangjing 时间: 2006-5-23 04:18
左肱骨小头[肱骨小头位于前线之前,9岁以下应该位于前线之后]上方骨皮质不连续,隐示一';线';型骨折线,软组织肿胀,考虑左肱骨小头骨骺分离。
作者: xingyouzhen 时间: 2006-5-23 04:26
最好照建侧比较,安要求小儿不就要照双测吗?
作者: dyqct 时间: 2006-5-23 05:19
支持4楼意见。
作者: lvlifeng 时间: 2006-5-23 05:28
支持4楼意见
作者: 清风无痕 时间: 2006-5-23 06:53
支持5楼的意见
作者: 孙医生 时间: 2006-5-23 07:05
4楼战友 好象是肱骨小头骨骺大部分位于肱骨前线之前才对.且此病例肱骨小头骨骺角度在正常范围内{30-50度}
意见:未见异常
作者: 曾感屏 时间: 2006-5-23 13:50
标题: 回复:x0760:[讨论]左肘部外伤
以下是引用孙医生在2006-5-22 23:05:00的发言:[br]4楼战友 好象是肱骨小头骨骺大部分位于肱骨前线之前才对.且此病例肱骨小头骨骺角度在正常范围内{30-50度}[br]意见:未见异常
同感,最好能摄键侧对比,
[本贴已被 曾感屏 于 2006-5-23 5:51:55 修改过]
作者: lizhenhua00 时间: 2006-5-23 15:10
小孩骨骼未发育成形,最好拍双侧对照。
作者: livingod 时间: 2006-5-23 17:55
强烈要求加照对侧。
作者: chenyingfu 时间: 2006-5-23 17:58
左肱骨小头骨骺干骺端骨折。
作者: qxhxf 时间: 2006-5-23 23:12
肱骨小头分离
作者: xuemingxiao 时间: 2006-5-24 01:03
没看到啥问题啊
高佳说
高佳 好久没看到你了啊
作者: zhw974247 时间: 2006-5-24 02:42
标题: 回复:x0760:[讨论]左肘部外伤
[quote]以下是引用wk8888在2006-5-22 19:48:00的发言:[br]左肱骨小头上方骨皮质不连续,隐示一';线';型骨折线,软组织肿胀,考虑左肱骨小头干骺端青枝骨折
作者: renewliu 时间: 2006-5-24 03:37
标题: 回复:x0760:[讨论]左肘部外伤
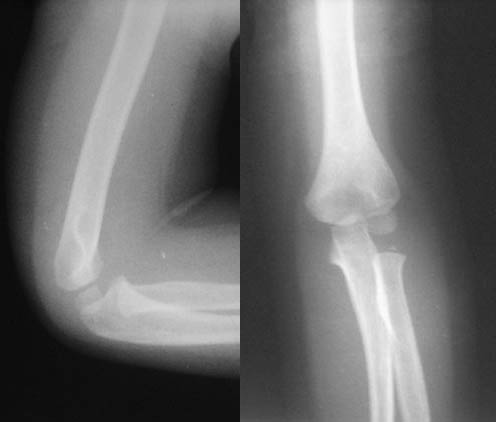
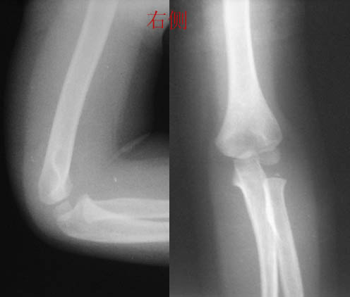
感谢大家的热烈讨论,应大家的要求,今天发右侧肘关节片,请大家继续讨论,讨论时对小儿肘关节二次骨化中心的多少、出现和闭合时间以及骺离骨折的判断和分型进行分析。

[本贴已被 renewliu 于 2006-5-23 19:51:15 修改过]
作者: SHUQIANG1 时间: 2006-5-24 06:11
四楼说的好!受益!!!!!!
作者: wk8888 时间: 2006-5-25 04:14
同意楼主的观点感谢楼主提供这次讨论的机会,
本人对儿童肘关节损伤也很有兴趣,望广大同仁及高手积极探讨.
作者: zhangkening 时间: 2006-5-25 18:07
加照对侧肘关节
作者: 忧郁王子 时间: 2006-5-27 00:39
觉得还是照双侧,没看到明显的问题
作者: altman 时间: 2006-5-27 06:52
骨骺分离??
作者: wanyych 时间: 2006-5-29 23:26
肱骨外髁骨折.
作者: 逸风 时间: 2006-5-30 01:07
标题: 回复:x0760:[讨论]左肘部外伤


双侧对称,说明左侧肘关节骨质正常.
作者: caixiao 时间: 2006-6-4 01:55
标题: 回复:x0760:[讨论]左肘部外伤
以下是引用高佳在2006-5-22 18:40:00的发言:[br]没看到啥问题啊
作者: CTM 时间: 2006-6-5 05:08
标题: [讨论]
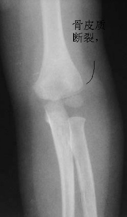
表现:正位肱骨远侧干骺端可见横行低密度线延伸至外髁,外髁皮质断裂,侧位前侧骨皮质也有断裂。对侧好像有类似之处,但那是与肱骨小头骨骺的重叠影。
印象:肱骨低位髁上骨折
[本贴已被 ctm 于 2006-6-4 21:12:57 修改过]

[本贴已被 ctm 于 2006-6-4 21:14:19 修改过]
作者: jinguoji 时间: 2006-11-15 07:50
肱骨髁上骨折
作者: shibing 时间: 2012-11-2 09:38
最好照建侧比较,安要求小儿不就要照双测吗?
| 欢迎光临 医影在线 (http://bbs.radida.com/bbs/) |
Powered by Discuz! X3.2 |