







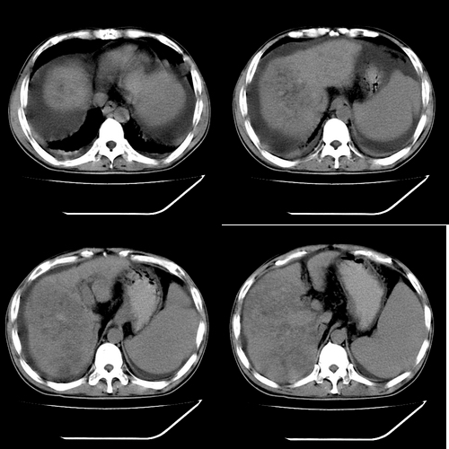
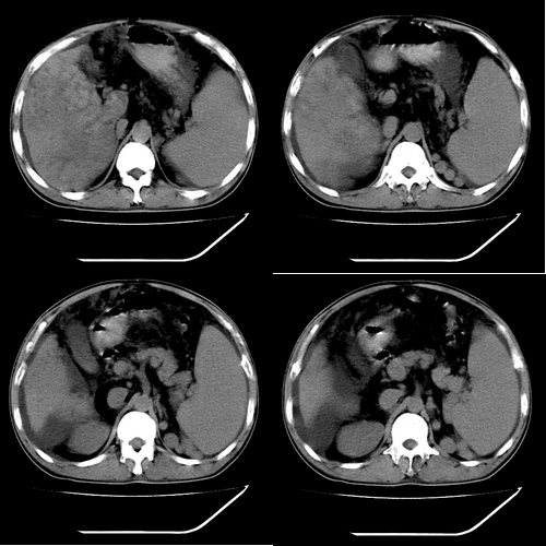
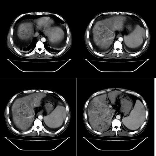
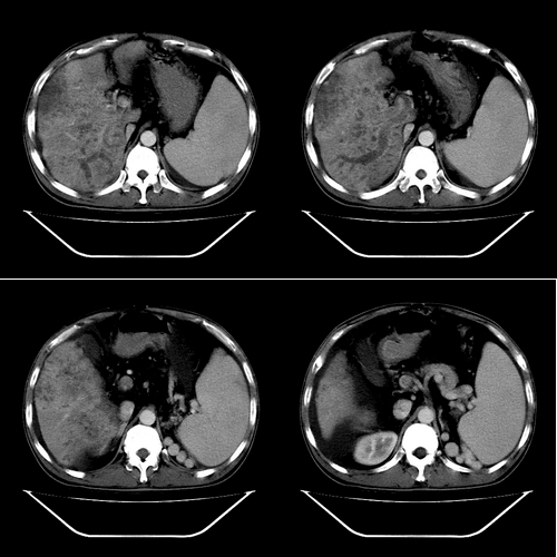
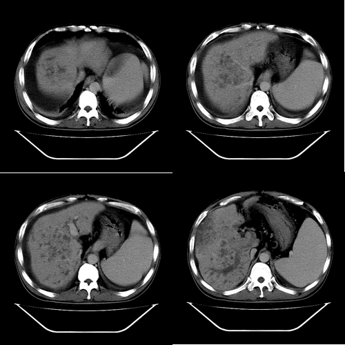
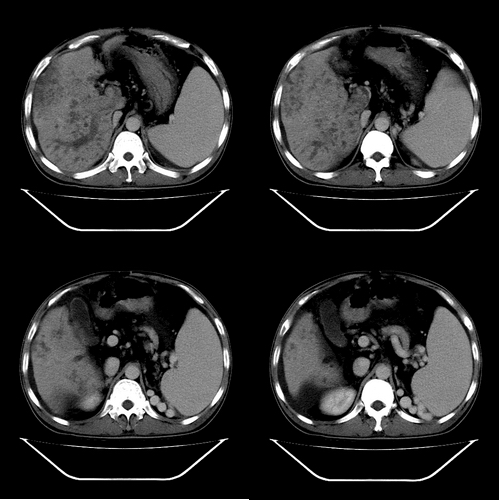
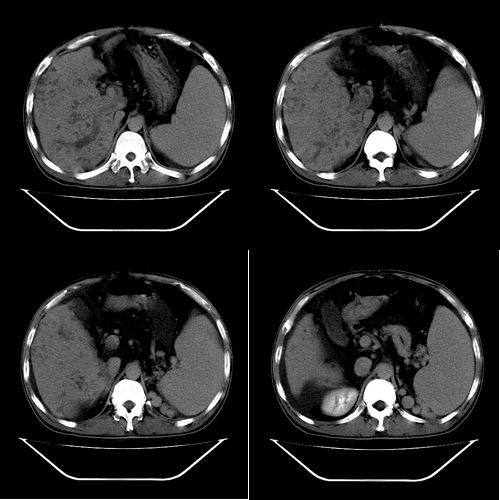
以下是引用yz在2006-6-2 12:20:00的发言:[br]肝左右叶比例失调,左叶体积明显缩小,肝边缘凹凸不平呈波浪状外观,肝左右叶可见不规则之斑片状低密度影,边界不清,以右叶为甚,肝门区增宽,增强后于动脉期病灶不均匀强化,门脉及延迟期均呈低密度,门脉主干及其右支无强化,以门脉右支明显,其内可见低密度影充填,门脉主干周围可见强化的细小侧支循环血管影。脾大,脾门血管明显增粗,脾后左侧膈脚前可见串珠状增粗强化血管影,并见胸腹水征。[br]1、考虑为弥漫性肝癌并肝门静脉主干及其右支癌栓形成,门脉海绵化。[br]2、肝硬化,脾大并门脉高压。[br]3、双侧少量胸水、腹水。

| 欢迎光临 医影在线 (http://bbs.radida.com/bbs/) | Powered by Discuz! X3.2 |