医影在线

标题: CT3724:胸部 [打印本页]

作者: gdlwx001    时间: 2006-6-3 00:21
标题: CT3724:胸部
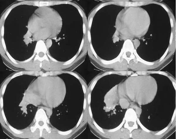
男,28岁,右胸不适,轻咳.余无特殊症状.请各位大侠发表见解






[本贴已被 jiajie 于 2006-6-2 17:02:32 修改过]

作者: 逸风    时间: 2006-6-3 01:05
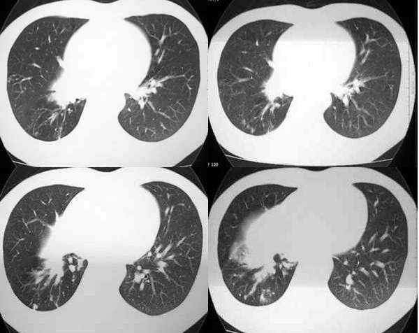
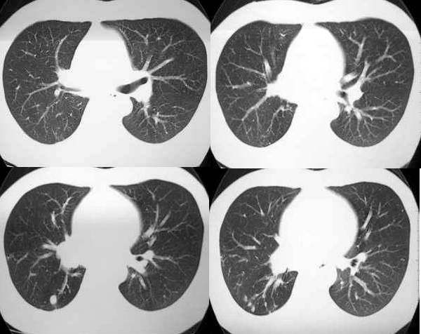
右肺下叶背段结核灶!肺门下方病灶没有传完整,不好说!看其形态,感觉象肺段实变,而且里面有散在点状钙化,不象是占位性病变.
作者: qian    时间: 2006-6-3 01:12
支持楼上,图片太少。
作者: 明天会更好    时间: 2006-6-3 01:15
28岁,右肺下叶背段病变,未见实质肿块,病灶内见钙化,及卫星灶,纵隔内有肿大淋巴结,结核吧,不象占位病变
作者: susanl    时间: 2006-6-3 01:38
支气管内膜结核吧?!建议行支纤镜检查!
作者: xixi1976    时间: 2006-6-3 04:26
支持结核,
作者: 同    时间: 2006-6-3 04:26
右肺下叶背段结核灶,肺门软组织肿快影伴点壮钙化,考虑结核。纵隔淋巴结肿大。
作者: 拾荒者    时间: 2006-6-3 06:05
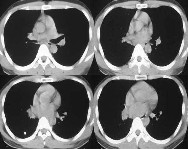
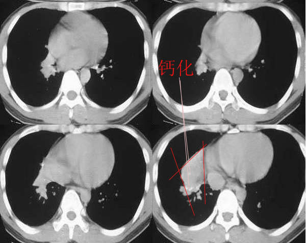
右肺门区软组织肿块,边缘钙化,右肺中叶不张,右下叶背段结节状及斑片状影。首先考虑结核,建议支气管镜检查排除其他。
作者: guduchunmeng    时间: 2006-6-3 06:28
右肺门肿块,中叶支气管显示不清,纵隔肿大淋巴结。病人虽然年龄比较小。为什么不能考虑小细胞肺癌拌纵隔淋巴结转移?
作者: 眼睛    时间: 2006-6-3 06:46
支持楼上的
作者: 木子    时间: 2006-6-3 06:52
支持结核
作者: zhenfangshou769    时间: 2006-6-3 08:31
右肺门区软组织肿块,边缘钙化,右肺中叶不张,右下叶背段结节状及斑片状影。首先考虑结核,建议支气管镜检查排除其他。
作者: zhangchunxi    时间: 2006-6-3 15:56
还是占位的可能较大
作者: 乡医    时间: 2006-6-3 16:43
标题: 回复:ct3724:胸部

作者: liuyue    时间: 2006-6-3 19:38
支持结核伴中间段支气管内膜结核、中叶肺不张。
作者: danyansui    时间: 2006-6-3 21:58
右侧中间段支气管管壁增厚,管腔狭窄,形成块状软组织密度灶,右肺中叶膨胀不全,右肺下叶背段斑块状、片状阴影,且伴钙化,考虑:右侧中间段支气管内膜结核伴中叶不张、右肺下叶背段结核
作者: yangshijixxxx    时间: 2006-6-3 23:20
tb
作者: lyb999    时间: 2006-6-3 23:57
右下叶背段及下叶内后基底段见斑点状及小片状影,有钙化。右下所谓的软组织密度影不在肺门,而是在下肺静脉层面以下,与膈相近,可能是横膈部分图像,图像没传完,易误导大家。综合考虑感染性病变(结核可能性大)
作者: ssl1_1    时间: 2006-6-5 03:40
标题: 回复:ct3724:胸部
以下是引用明天会更好在2006-6-2 17:15:00的发言:[br]28岁,右肺下叶背段病变,未见实质肿块,病灶内见钙化,及卫星灶,纵隔内有肿大淋巴结,结核吧,不象占位病变

作者: 余辉    时间: 2006-6-5 04:00
较倾向于结核,但9楼所说可能性也较大
作者: shibing    时间: 2015-6-10 15:00
建议行支纤镜检查!
作者: sdzyy    时间: 2015-6-10 17:20
右肺门区软组织肿块,边缘钙化,右肺中叶不张,右下叶背段结节状及斑片状影。首先考虑结核,建议支气管镜检查排除其他。
作者: 老爱克斯新网客    时间: 2015-6-10 18:50
看斜裂应该是下叶膨胀不良,查右肺下叶支气管,除外占位。
作者: wlhlxy0000    时间: 2015-6-10 20:23
结核。占位不排




欢迎光临 医影在线 (http://bbs.radida.com/bbs/) Powered by Discuz! X3.2