医影在线

标题: CT3727:[求助]食管疾病请会诊 [打印本页]

作者: 刘明    时间: 2006-6-3 02:40
标题: CT3727:[求助]食管疾病请会诊
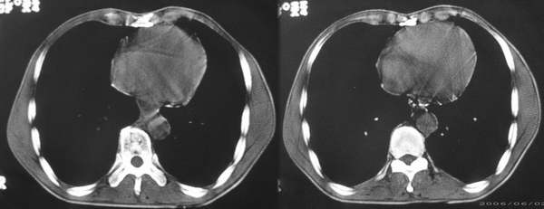
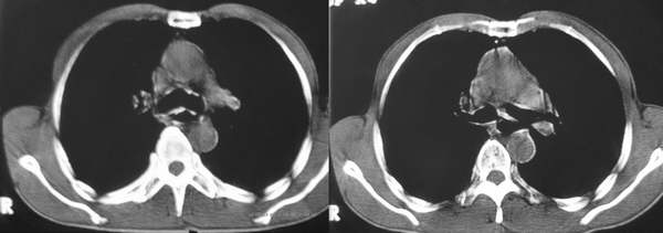
患者,男,58岁。吞咽困难3个月,胃镜示食管中、下段狭窄,右后壁隆起,黏膜表面光滑柔软无破坏。正常图象未上传







[本贴已被 jiajie 于 2006-6-2 19:43:35 修改过]

作者: qian    时间: 2006-6-3 03:42
食管中下段右后壁明显增厚,管腔狭窄,考虑食管癌,做一下食道吞钡应该可以更进一步证实。
作者: friedman    时间: 2006-6-3 03:49
\"胃镜示食管中、下段狭窄,右后壁隆起,黏膜表面光滑柔软无破坏。\"
提示并非食管粘膜的病变。而食管癌是起至于粘膜层。
考虑后纵隔来源的肿瘤。
作者: winter    时间: 2006-6-3 04:17
建议吞服泛影葡胺看看是不是食道外的病变,或者做个增强会有很大帮助的。
作者: 一点红    时间: 2006-6-3 04:25
管壁增后.变窄....考虑食管癌...还是胃镜检查..
作者: 同    时间: 2006-6-3 04:38
官壁增厚 管腔狭窄 食管癌可能性大
作者: dyqct    时间: 2006-6-3 05:22
支持食道癌。
作者: ctkz987    时间: 2006-6-3 06:10
中下段管壁明显增厚,不均匀,且可见有向腔内突入的软组织,考虑食道癌.
作者: lygxpygl    时间: 2006-6-3 06:24
常规考虑食道癌,但是,胃镜未发现具体病变(粘膜完整,柔软),应此,钡餐检查只能考虑为食道外压性改变,所以,增强显得较重要,建议增强ct检查,就该图片,不排除食道平滑肌瘤可能。
作者: 拾荒者    时间: 2006-6-3 06:24
食管中下段右后壁软组织肿块,管腔变窄,隆突下见肿大淋巴结。考虑食管癌淋巴结转移。
作者: 气自华    时间: 2006-6-3 06:41
结合胃镜检查,食管中下段右后壁软组织肿块,考虑食道平滑肌瘤可能。建议增强和钡透。
作者: liuyue    时间: 2006-6-3 17:52
胃镜示食管中、下段狭窄,右后壁隆起,黏膜表面光滑柔软无破坏。\"提示并非食管粘膜的病变。而食管癌是起至于粘膜层。上述ct图像提示:食管壁较均匀地增厚,故首先考虑食管肌层的病变,平滑肌瘤、纤维瘤、神经纤维瘤、血管瘤等良性病变常为食管偏侧性肿块,食管壁局限性增厚,所以该病例应为来自食管肌层的病变的恶性病变,平滑肌肉瘤的可能性大,类癌不除外。
作者: danyansui    时间: 2006-6-3 22:38
同意12楼的分析
作者: yangshijixxxx    时间: 2006-6-3 23:08
考虑食管ca,可能未侵及粘膜;其次平滑肌瘤
作者: lyb999    时间: 2006-6-3 23:30
中下段管壁明显增厚,常规考虑食道癌,但胃镜所见不符合食道癌表现,是否为食道良性肿瘤?其实食道吞钡对诊断肿瘤的良恶性还是比较直观的,试一下吧。
作者: winter    时间: 2006-6-4 03:46
标题: 回复:ct3727:[求助]食管疾病请会诊
食道癌的淋巴引流不会是这样吧!
作者: ssl1_1    时间: 2006-6-5 03:35
考虑食管ca,可能未侵及粘膜;其次平滑肌瘤
作者: 余辉    时间: 2006-6-5 03:42
隆突下间隙结构不清,考虑有淋巴结肿大,並怀疑有融合,椎体前软组织块影似乎不像食管壁增厚,是否考虑有纵隔淋巴瘤,或食管壁淋巴瘤纵隔转移
作者: shibing    时间: 2015-6-10 14:59
食管中下段右后壁软组织肿块,管腔变窄,隆突下见肿大淋巴结。考虑食管癌淋巴结转移。




欢迎光临 医影在线 (http://bbs.radida.com/bbs/) Powered by Discuz! X3.2