医影在线

标题: CT3728:急诊:腹部外伤 急!! [打印本页]

作者: xg410    时间: 2006-6-3 06:23
标题: CT3728:急诊:腹部外伤 急!!
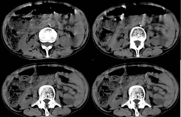
患者男,70岁,前几天外伤后摄片腰椎有压缩性骨折,今天上腹部疼痛大概半天,未大便,患者情况较差,透视下膈下未见明显游离气体。请大家会诊.








[本贴已被 jiajie 于 2006-6-3 18:02:16 修改过]

作者: xg410    时间: 2006-6-3 06:28
主要想了解有无内脏与消化道破裂
作者: lygxpygl    时间: 2006-6-3 06:36
脏器破裂好像没有,但有肠梗阻征像。建议立位腹部平片(注意有无液气平)
作者: guduchunmeng    时间: 2006-6-3 06:43
消化道破裂的主要征象是腹腔游离气体和腹腔积液,用这样的窗宽窗位看腹腔游离气体?我看你找神仙去吧!!!!!!
作者: dyqct    时间: 2006-6-3 16:31
好象结肠内粪便及气体较多,其它不好说。
作者: liuyue    时间: 2006-6-3 17:24
肠道内容物较多伴积气,似有肠梗阻征象,腹部脏器未见明显异常。你要在ct片上看有无肠道穿孔和肠梗阻,请用类肺窗式的窗宽窗位观察。
作者: tsxhfsk    时间: 2006-6-3 18:56
脏器破裂好像没有,但肠道内容物较多伴积气有肠梗阻征像,未大便,是否因年龄大外伤引起肠功能紊乱有关
作者: 逸风    时间: 2006-6-3 19:17
结合外伤史,考虑麻痹性肠梗阻.
作者: gzayhsj    时间: 2006-6-3 19:20
有腰椎压缩性骨折的患者多伴有肠腔积气.
作者: 肖波    时间: 2006-6-3 19:38
正常。
作者: danyansui    时间: 2006-6-3 22:09
肝右叶后段一类圆形低密度灶,肝囊肿或小血管瘤,胃及腹部肠管明显扩张、积气、肠内容物也较多,外伤后肠功能紊乱,肠梗阻。
作者: realzyc    时间: 2006-6-3 22:18
肠腔粪便较多,考虑肠梗阻,未见明显脏器破裂
作者: lyb999    时间: 2006-6-3 23:22
升结肠伸入肝肾之间与膈相贴,右肾位置较低,其它未见异常。考虑间位结肠。至于有无急腹症征象,不太明显,窗宽太窄。
作者: 不解    时间: 2006-6-4 00:47
肝外缘可见条带样低密度影,测量一下ct值。以除外气腹。
作者: lizhenhua00    时间: 2006-6-4 01:11
考虑麻痹性肠梗阻.  
   
但不排除消化道穿孔.
作者: hbhdzlm    时间: 2006-6-4 01:15
肝囊肿,其他未见明显异常。
作者: 拾荒者    时间: 2006-6-4 03:49
标题: 回复:ct3728:急诊:腹部外伤 急!!
以下是引用lyb999在2006-6-3 15:22:00的发言:[br]升结肠伸入肝肾之间与膈相贴,右肾位置较低,其它未见异常。考虑间位结肠。至于有无急腹症征象,不太明显。

作者: 眼睛    时间: 2006-6-4 04:02
标题: 回复:ct3728:急诊:腹部外伤 急!!
以下是引用gzayhsj在2006-6-3 11:20:00的发言:[br]有腰椎压缩性骨折的患者多伴有肠腔积气.

作者: 林俊东    时间: 2006-6-4 05:39
反应性肠郁张。
作者: shibing    时间: 2015-6-10 14:59
有腰椎压缩性骨折的患者多伴有肠腔积气.




欢迎光临 医影在线 (http://bbs.radida.com/bbs/) Powered by Discuz! X3.2