医影在线

标题: CT3733:肺空洞 [打印本页]

作者: wangzhanshuang    时间: 2006-6-4 00:09
标题: CT3733:肺空洞
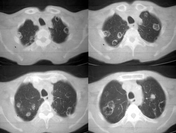
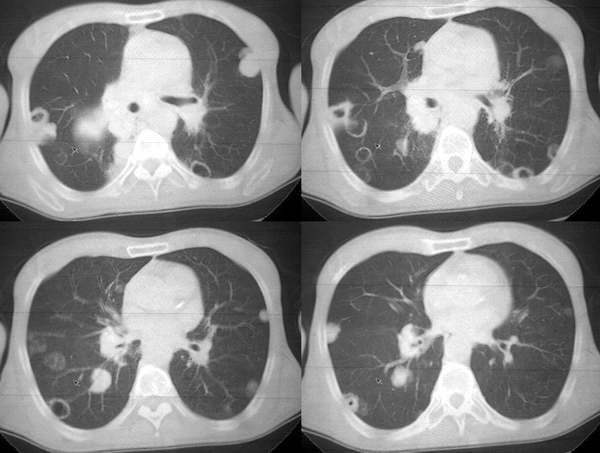
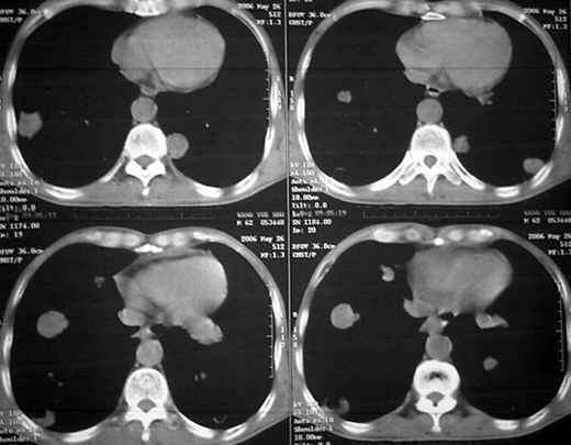
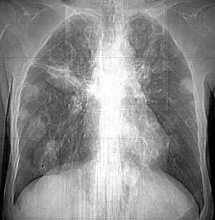
男62肺癌治疗后复查
具体治疗措施不清楚,治疗前空洞很少,请讨论空洞的性质















[本贴已被 jiajie 于 2006-6-3 18:55:54 修改过]

作者: qian    时间: 2006-6-4 00:40
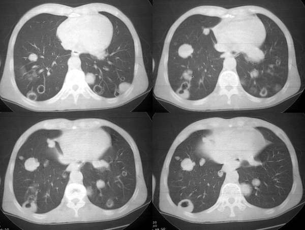
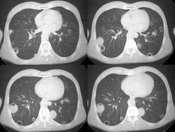
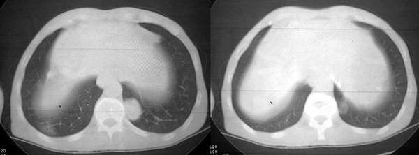
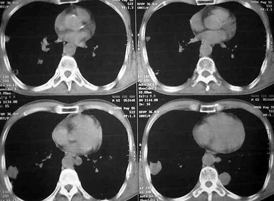
双肺内及胸壁旁见有多发软组织实性阴影和空洞,实性病变多见有脐凹切迹,贴近胸膜的见有胸膜凹陷征;空洞的壁多为厚薄不均,形态不规则,纵隔内见有较多肿大淋巴结,诊断为双肺内转移性病变。
作者: hejie    时间: 2006-6-4 00:52
双肺空洞型转移性灶,要查头颈部恶性肿瘤,会出现复合型肿瘤.
作者: lizhenhua00    时间: 2006-6-4 00:55
肺内转移,多发絮壮及环壮.
作者: hbhdzlm    时间: 2006-6-4 01:32
肺癌肺转移,其中有空洞转移,这与放疗或化疗有关,
中华放射学杂有关于肺空洞性转移的报道。
作者: dglq    时间: 2006-6-4 03:02
肺转移癌
作者: 师医生    时间: 2006-6-4 03:03
经典
作者: tsxhfsk    时间: 2006-6-4 03:31
考虑;双肺内转移性病变。
作者: happier    时间: 2006-6-4 04:21
肺癌肺内转移,右肺门转移,建议ct增强
作者: 同    时间: 2006-6-4 04:47
肺癌肺转移
作者: jiangjing    时间: 2006-6-4 05:20
双肺内及胸壁旁见有多发软组织实性阴影和空洞,实性病变多见有脐凹切迹,贴近胸膜的见有胸膜凹陷征;空洞的壁多为厚薄不均,形态不规则,纵隔内见有较多肿大淋巴结,诊断为双肺内转移性病变。[气囊或孔洞实为腺癌缘肺泡壁生长所致]
作者: duguo    时间: 2006-6-4 05:54
肺癌双肺内多发空洞转移,原发灶多为腺癌,恶性程度较高.
作者: 拾荒者    时间: 2006-6-4 05:54
支持转移性病变,至于机理可能如5楼所说,不过我还没有见过那篇报道。
作者: 一点红    时间: 2006-6-4 06:05
头一会见..谢谢指教..多发性转移伴空洞是不是与放疗有关...?
作者: 卜一    时间: 2006-6-4 06:07
应该是肺癌空洞转移。
作者: dyqct    时间: 2006-6-4 06:09
标题: 回复:ct3733:肺空洞
以下是引用tsxhfsk在2006-6-3 19:31:00的发言:[br]考虑;双肺内转移性病变。

作者: syfszcw    时间: 2006-6-4 06:24
双肺内转移性病变。
作者: lkc8963    时间: 2006-6-4 09:23
标题: 回复:ct3733:肺空洞
考虑肺癌肺内空洞性转移(cpm)。
现附临放文章一篇,与大家共享。
空洞的形成机制及意义
cpm的成因尚不完全明确,可能与鳞癌中心角化物排空、腺癌黏液样退变后黏液排空、肿瘤血供不足引起坏死、肿瘤继发脓肿、化疗等机制有关【2,4,5 j,但无一种机制能解释全部现象。例如血供不足就不能解释为何空洞可见于小结节。本组小环形空洞占全部空洞的近1/4,而且不少病例中大结节未见空洞,而比其小许多的小结节却有空洞。至于化疗,虽然本组不少病例在化疗后出现空洞,但不少病例(如鼻咽癌)在首次发现cpm灶时并无化疗史,这说明化疗不能解释全部空洞的成因。更难以解释的是,为何同一病例的不同空洞却同时呈现两种截然不同的变化。因此,很可能有多种机制参与空洞形成。
由于各叶cpm灶发生率之间并无显著性差异,故可认为cpm发生与其所在部位无关。对空洞形成有何临床意义尚无统一认识,有人认为是瘤灶消散时的表现,亦有人认为空洞代表病情恶化[6,7】。本组空洞缩小或增大、消失或出现并不与病情好转或恶化保持一致,说明有无空洞或空洞大小并不反映病情变化,其临床意义不大,而瘤灶的数目及大小,特别是瘤灶实性成分的多少才可能更准确反映病情变化。
3.3 cpm的ct特征
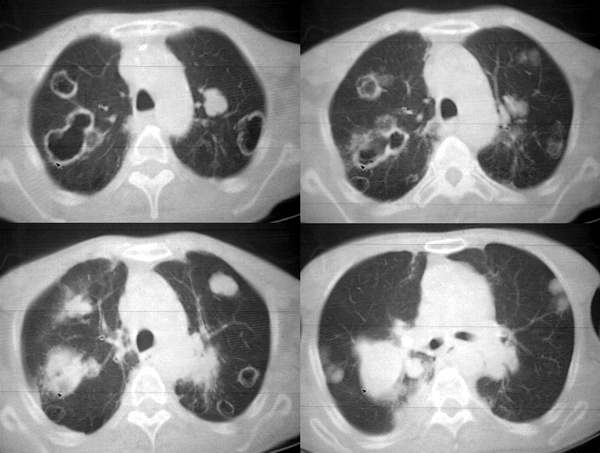
cpm灶多为圆形或类圆形、无分叶和毛刺,说明除空洞外cpm 基本保留了转移瘤的形态特点。本组中单个病例出现cpm灶1 16枚,多发与单发者大致相等,说明cpm瘤灶的数目变化大。全部病例的cpm灶均是与肺内多发实性瘤灶共存,而且后者往往远多于前者。另外,当病情好转或恶化时,cpm灶与实性瘤灶同时缩小或增大,说明两者呈同步变化。笔者认为这两点是cpm 最恒定的ct特点。•
单个cpm灶的空洞形态具有多样性,壁可薄可厚,厚度可均匀可不均匀,瘤灶大小变化也大。但总的说来,cpm 的洞壁较薄,4mm以下者最多(53%),其次为4—15mm者(34%),而15mm以上者却较少。另外洞壁厚度均匀者也较多(47%)。笔者认为这些与壁薄而均匀的囊样及小环形空洞较多有关。一般认为壁薄而均匀者多为良性空洞,而癌性空洞的壁多较厚或厚薄不均。woodring等-8 j认为洞壁厚度4mm以下者92%为良性,15mm 以上者95%为恶性,15mm者良恶性各半。蒋瑾等-9 j发现83% 的原发空洞型肺癌的壁厚度超过15mm。以上说明cpm的空洞形态不同于肺良性空洞及原发癌性空洞,具有其独特性。本组40%(16/40)的病例中同时存在多种空洞,说明cpm病例具有空洞类型的混合性。同样的洞腔变化既可见于病情好转时,也可见于病情恶化时,特别是同一种病例可同时出现两种相反的洞腔变化,说明洞腔变化具有非恒定性。
3.4 cpm 的ct表现与病理类型的关系及可能的价值
几乎所有类型的pm均可形成空洞,但文献报道以鳞癌与腺癌最多,其中鳞癌占1/2 2/3,主要来自男性头颈部与女性生殖器;其余主要见于腺癌,主要来自结肠与乳腺[ .4-引。本组腺癌占55%(22/40),鳞癌占33% (13/40),与之有所不同。本组62%(8/13)的鳞癌来自男性鼻咽,15%(2/13)来自女性宫颈,而来自结肠与乳腺的腺癌大致相等,均与之基本相同,稍不同的是鳞癌中来自食管者也不少(15%)。鳞癌空洞中壁厚度均匀者较多,腺癌与此相反,这一差异具有显著性,这可能是由于鳞癌中壁薄而
均匀的囊样及小环形空洞较多。囊样空洞仅见于鳞癌,不见于腺癌,而且在鳞癌中所占比例最高。除囊
样空洞外,泡样、不规则形、小环形空洞在鳞癌中依次占37.1%、25.7%及37.1% ,与它们在腺癌中的比例相比没有显著性差异。说明囊样空洞是鳞癌区别于腺癌的独特类型,这导致二者在空洞类型上存在显著性差异。由于囊样cpm 的瘤灶及空洞均较大且壁最薄,说明鳞癌与腺癌相比其空洞形成更彻底。由于鳞癌与腺癌在已明确的原发灶中占90%以上(35/38),因此囊样空洞很可能有助于推测cpm的原发灶病理类型。
鳞癌cpm灶单发者较少,瘤灶直径15~25mm者明显多于直径≤15mm者,而洞壁厚度≤4mm者也明显多于壁厚4~15mm者。而腺癌在这三个方面与鳞癌不同,但这些差异尚无显著性。另外,本组4例具有3种类型的空洞者均为鳞癌,2例只具有囊样空洞者均为鼻咽鳞癌,3例只具有小环形空洞者均为大肠腺癌。以上表现是否与原发灶病理类型有关尚待研究。
3.5 cpm的鉴别诊断
需与cpm鉴别的疾病较多,综合临床与影像资料不难鉴别,常见的有:结核空洞常单发,有弧形、环形或弥漫点状钙化及卫星灶 6。霉菌性空洞常见于免疫机能低下者,常为空洞、肺炎、伴“晕圈”征的结节及支气管扩张合并存在,如发现曲霉球则明确诊断[1o,ll j。囊样cpm较特殊,需与多发性肺囊肿、囊状支气管扩张及葡萄球菌肺炎的肺气囊鉴别。多发性肺囊肿好发于下肺及肺门区,易感染而改变囊肿大小、形态或出现液面,周边常见局限性肺气i~c~o j。囊状支气管扩张多见于下肺及肺野内中带,沿支气管呈“葡萄串”样密集分布,易感染而出现液面,囊腔大小中等,较为均一及作valsalva和mue
作者: woaixct    时间: 2006-6-4 15:14
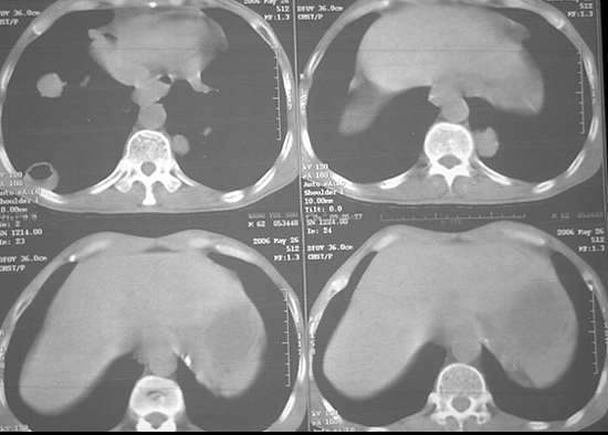
右肺门软组织块影,右主支气管及中间段支气管管壁明显增厚,两肺内多发结节及大小不等的类圆形薄壁空洞,纵隔内多发肿大的淋巴结;
考虑:1.右中央型肺癌伴两肺广泛性转移及纵隔转移。
      2.多发性空洞需和霉菌性空洞鉴别。
作者: 东北    时间: 2006-6-4 17:22
双肺空洞型转移性灶
作者: abcwangxiuyin    时间: 2006-6-4 17:22
支持!
作者: sunhua666    时间: 2006-6-4 17:33
肺癌双肺转移。以前见过像这样治疗后空洞增多的。
作者: lygxpygl    时间: 2006-6-4 18:43
考虑治疗后机体抵抗力下降所致的感染改变,当然转移是存在的。
作者: yangshijixxxx    时间: 2006-6-4 18:44
.多发性空洞需和霉菌性空洞鉴别。
作者: 天边的云    时间: 2006-6-4 20:34
支持2楼
作者: yemin92007    时间: 2006-6-4 22:50
谢谢wangzhanshuang发布的病例,没见过,学习。
作者: 逸风    时间: 2006-6-5 00:52
标题: 回复:ct3733:肺空洞
非常感谢lck8936版主和楼主,对你们的感谢之情犹如滔滔江水,一泻千里,永不停息!!致敬!~!呵呵
作者: 梦林    时间: 2006-6-5 01:45
不能除外化脓性肺炎
作者: ssl1_1    时间: 2006-6-5 02:54
肺内空洞性转移
作者: 余辉    时间: 2006-6-5 03:03
空洞型转移,我曾经在中国医学影像网看过一个特典型的
作者: YZT222    时间: 2006-6-5 06:28
支持
作者: zq921129    时间: 2006-6-6 00:15
长见识了,谢谢!!!!!!!!1
作者: shibing    时间: 2015-6-10 14:58
肺转移癌




欢迎光临 医影在线 (http://bbs.radida.com/bbs/) Powered by Discuz! X3.2