医影在线

标题: CT3736:[讨论]腰椎 [打印本页]

作者: ssl1_1    时间: 2006-6-4 01:54
标题: CT3736:[讨论]腰椎
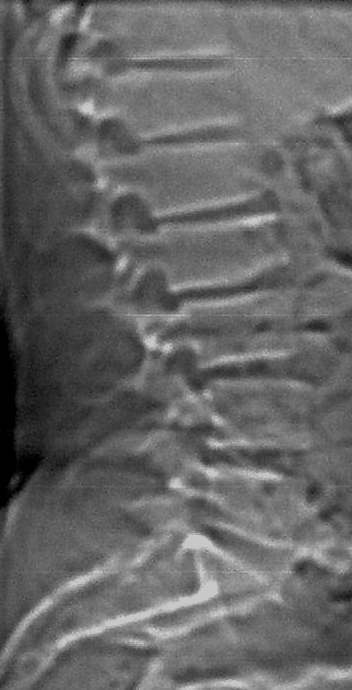
做间盘时偶而发现,请大家发表意见,平扫机器,图象不是很好请大家包涵






[本贴已被 jiajie 于 2006-6-3 19:30:31 修改过]

作者: ligm188    时间: 2006-6-4 02:52
没有什么,先天发育异常,属正常变异
作者: yyg1960    时间: 2006-6-4 03:30
先天变异,契形椎
作者: 眼睛    时间: 2006-6-4 04:10
没见过!课本上没有说到!
作者: lvlifeng    时间: 2006-6-4 05:22
能不能把病人的年龄、症状告诉我们
作者: 林俊东    时间: 2006-6-4 05:51
可能是椎体骨软骨炎后遗症。
作者: 一点红    时间: 2006-6-4 06:11
椎体周围软组织未见异常改变...考虑先天性病变
作者: dyqct    时间: 2006-6-4 06:13
椎间隙为什么这样窄?
作者: 卜一    时间: 2006-6-4 06:25
多大岁数?请楼主详细了解临床症状,最问病史,是否曾有过“椎体骺板骨软骨炎”,现继发退行性骨关节病?
作者: fangzheng    时间: 2006-6-4 06:37
标题: 回复:ct3736:[讨论]腰椎
以下是引用ligm188在2006-6-3 18:52:00的发言:[br]没有什么,先天发育异常,属正常变异

作者: 拾荒者    时间: 2006-6-4 06:48
标题: 回复:ct3736:[讨论]腰椎
以下是引用卜一在2006-6-3 22:25:00的发言:[br]多大岁数?请楼主详细了解临床症状,询问病史,是否曾有过“椎体骺板骨软骨炎”,现继发退行性骨关节病?

作者: 雪狼141    时间: 2006-6-4 07:02
学习之中
作者: huangxun4321    时间: 2006-6-4 07:15
青年驼背征
作者: lygxpygl    时间: 2006-6-4 07:21
基本属于正常,继续询问病史,与年龄有较大关系
作者: 东北    时间: 2006-6-4 17:36
先天变异,契形椎
作者: 天边的云    时间: 2006-6-4 20:23
支持2楼
作者: wangjing81750    时间: 2006-6-4 20:30
不曾见过。有什么症状吗?
作者: 竹下雨    时间: 2006-6-4 21:07
青年性驼背,该病主要发生于椎间软骨。好发于12-18岁,当过度负重时,在椎间盘的先天性薄弱处将发生琗裂,髓核疝入,形成许莫氏结节。本例见髓核疝入l2椎体前下缘的典型表现,且见椎间盘真空征。
作者: 逸风    时间: 2006-6-5 00:22
标题: 回复:ct3736:[讨论]腰椎
定位像显示l2椎体下缘前部局限性凹陷性改变,局部骨皮质硬化,未见明显骨质破坏,各椎间隙略变窄. ct横断扫描显示椎体前缘不光整,呈退行性改变表现,未见骨质破坏,软组织肿块等异常,双侧腰大肌正常.
考虑:腰椎及椎间盘退行性改变(l2前缘系许莫氏结节+扫描层面与椎体下缘不平行所致).
作者: gaoyb    时间: 2006-6-5 03:13
标题: 回复:ct3736:[讨论]腰椎
主要的临床症状?
作者: 余辉    时间: 2006-6-5 04:04
椎体前缘硬化毛糙,可能是椎体骨软骨炎后遗症
作者: shibing    时间: 2015-6-10 14:57
先天发育异常




欢迎光临 医影在线 (http://bbs.radida.com/bbs/) Powered by Discuz! X3.2