医影在线

标题: CT3738:胸部病人。 [打印本页]

作者: syfszcw    时间: 2006-6-4 03:53
标题: CT3738:胸部病人。
咳嗽6月低热1月!











[本贴已被 jiajie 于 2006-6-3 20:31:53 修改过]

作者: qian    时间: 2006-6-4 04:03
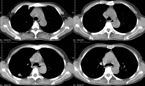
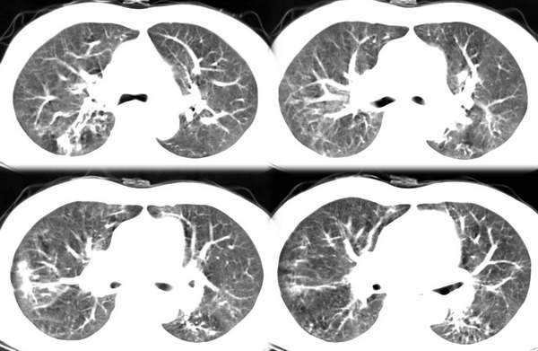
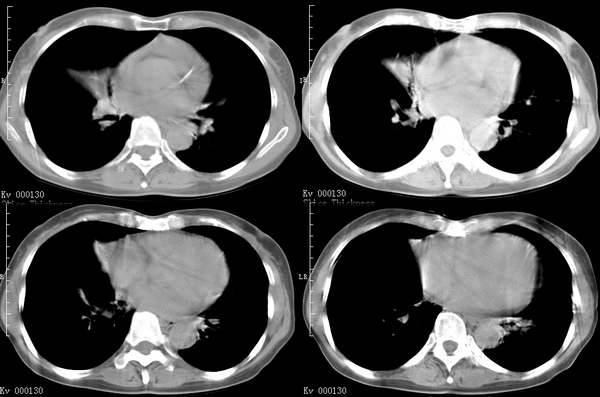
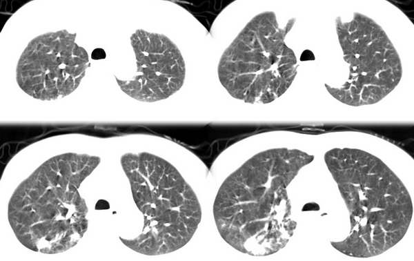
右上肺和左下肺见有斑片状及条片状影,边缘模糊,纵隔内无肿大淋巴结,结合病史考虑肺结核可能大。
作者: 朋朋    时间: 2006-6-4 04:35
两肺纹理增粗,右上和左下肺可见肿块影,呈空泡征,分叶征。纵隔内无肿大淋巴结。考虑为肺瘤可能性大。
作者: 叶盟    时间: 2006-6-4 05:21
慢支,肺部感染!!
作者: duguo    时间: 2006-6-4 05:38
结合临床首先考虑结核。
作者: anbo5502    时间: 2006-6-4 05:41
结核可能性大。抗炎一周后复查。
作者: 中山医    时间: 2006-6-4 05:45
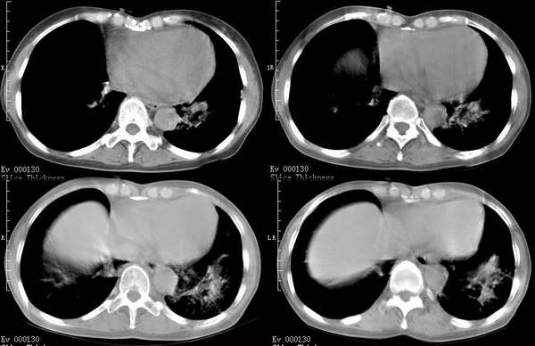
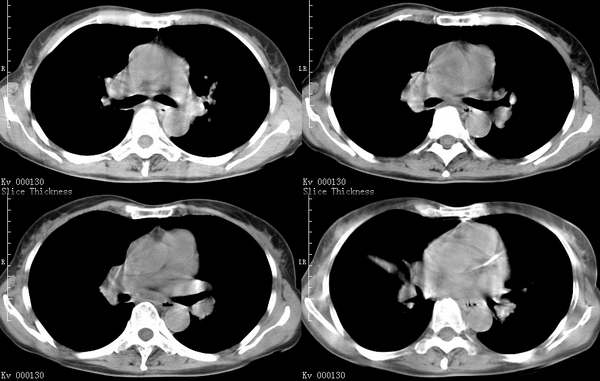
右上叶背段及左下叶见斑片状密度不均模糊影,右中叶支气管狭窄,中叶密度增高,体积缩小.纵隔未见明确淋巴结.结论:1、两俩结核,右中叶支气管内膜结核,并中叶肺不张。2、两肺炎;右中心型肺癌,并阻塞性肺不张。
作者: 一点红    时间: 2006-6-4 05:49
肺结核感染期
作者: fangzheng    时间: 2006-6-4 06:06
标题: 回复:ct3738:胸部病人。
以下是引用叶盟在2006-6-3 21:21:00的发言:[br]慢支,肺部感染!!

作者: dyqct    时间: 2006-6-4 06:17
标题: 回复:ct3738:胸部病人。
以下是引用中山医在2006-6-3 21:45:00的发言:[br]右上叶背段及左下叶见斑片状密度不均模糊影,右中叶支气管狭窄,中叶密度增高,体积缩小.纵隔未见明确淋巴结.结论:1、两俩结核,右中叶支气管内膜结核,并中叶肺不张。2、两肺炎;右中心型肺癌,并阻塞性肺不张。

作者: 卜一    时间: 2006-6-4 06:36
右肺上叶尖后段及左肺舌叶 下叶见斑片状密度不均模糊影,右中叶支气管狭窄,中叶密度增高,体积缩小.纵隔未见明确淋巴结。考虑:双肺结核伴右侧中叶不张。
作者: 江浪    时间: 2006-6-4 07:04
纵隔淋巴结增大,中叶肺不张.肺癌可能性大
作者: 拾荒者    时间: 2006-6-4 07:06
结核可能性大,应进一步检查。
作者: huangxun4321    时间: 2006-6-4 07:11
三多征象,考虑双肺结核
作者: guduchunmeng    时间: 2006-6-4 07:25
支持tb
作者: 同    时间: 2006-6-4 14:47
结核可能性大
作者: zhh    时间: 2006-6-4 16:14
右上叶背段及左下叶见斑片状密度不均模糊影,右中叶支气管狭窄,近端未见肿块,中叶密度增高,体积缩小.纵隔未见明确淋巴结.结论:两肺结核,右中叶支气管内膜结核,并中叶肺不张。肺纹理粗乱,有慢支表现,伴有感染存在。
作者: 东北    时间: 2006-6-4 17:10
右中叶支气管内膜结核
作者: sunhua666    时间: 2006-6-4 17:18
考虑结核,右肺中叶考虑支气管内膜结核并中叶肺不张。建议抗结核治疗后复查。
作者: 王小鸭    时间: 2006-6-4 18:45
结核可能性大
作者: yangshijixxxx    时间: 2006-6-4 18:52
慢支,tb
作者: 天边的云    时间: 2006-6-4 19:49
支持肺结核
作者: winter    时间: 2006-6-4 21:36
病变多分布、多形态,再加上临床有低烧,首先考虑结核建议实验室检查进一步证实!
作者: yemin92007    时间: 2006-6-4 22:42
支持结核。
作者: wxy7406    时间: 2006-6-4 23:18
右下肺结核。
作者: 守望可可    时间: 2006-6-4 23:45
1.右下叶背段结核。2.支气管炎伴双下肺感染。3.右中叶内侧段肺不张。至于原因,考虑支气管内膜结核,建议纤支镜检查。
作者: 逸风    时间: 2006-6-4 23:51
标题: 回复:ct3738:胸部病人。
ct显示病灶呈多灶性分布,主要分布在双肺上叶后段,右肺中叶及左肺下叶,右肺上病灶内可见点状钙化,纵隔内示淋巴结钙化,结合病史6个月伴低热,考虑感染性病变,结核可能大.
作者: ssl1_1    时间: 2006-6-5 03:00
考虑感染性病变,结核可能
作者: 余辉    时间: 2006-6-5 03:08
右上肺和左下肺见有斑片状及条片状影,边缘模糊,纵隔内无肿大淋巴结,结合病史考虑肺结核可能大。
作者: zryfb7719    时间: 2006-6-5 03:40
慢支并感染可能性最大,至于tb吧待进一步检查!
作者: gzayhsj    时间: 2006-6-5 04:01
右上叶及左下叶多发结节状、斑片状阴影。右中叶不张。支持肺结核并右中叶不张。
作者: shibing    时间: 2015-6-10 14:56
右上叶背段及左下叶见斑片状密度不均模糊影,右中叶支气管狭窄,中叶密度增高,体积缩小.纵隔未见明确淋巴结.结论:1、两俩结核,右中叶支气管内膜结核,并中叶肺不张。2、两肺炎;右中心型肺癌,并阻塞性肺不张。





欢迎光临 医影在线 (http://bbs.radida.com/bbs/) Powered by Discuz! X3.2