医影在线

标题: CT3740:[讨论]内听道 [打印本页]

作者: w_jianhua    时间: 2006-6-4 19:31
标题: CT3740:[讨论]内听道
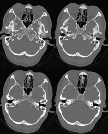
患者自述小时候左耳听力下降,现在右耳听力亦有下降,经医生治疗,说曾掏出胆脂瘤样物,请大家会诊.





[本贴已被 jiajie 于 2006-6-4 16:38:49 修改过]

作者: jiajie    时间: 2006-6-5 02:30
双侧乳突蜂房气化不良,鼓窦、蜂房密度稍增高,右侧较左侧明显,未见骨质破坏。考虑双侧慢性中耳乳突炎。
作者: 余辉    时间: 2006-6-5 02:51
双侧乳突蜂房气化不良,鼓窦、蜂房密度稍增高,右侧较左侧明显,未见骨质破坏。考虑双侧慢性中耳乳突炎
作者: 同    时间: 2006-6-5 03:16
双侧慢性中耳乳突炎
作者: ssl1_1    时间: 2006-6-5 03:25
支持双侧慢性中耳乳突炎。
作者: gzayhsj    时间: 2006-6-5 03:41
未见胆脂瘤之ct征象.支持双侧慢性中耳乳突炎的诊断.
作者: soniclou    时间: 2006-6-5 03:42
蜂房气化不良,支持双侧中耳乳突炎,胆质瘤是由中耳乳突炎发展而成,故不除外该病变可能。
作者: wxy7406    时间: 2006-6-5 04:12
双侧慢性乳突炎。
作者: taodaojun    时间: 2006-6-5 04:33
右侧的听骨链好象不正常,其他支持乳突炎
作者: 拾荒者    时间: 2006-6-5 05:23
双侧乳突气化不良,密度稍高,未见明显软组织影及骨质破坏,支持双侧慢性中耳乳突炎。
作者: zhuxinli    时间: 2006-6-5 06:06
支持双侧慢性中耳乳突炎。另外有径静脉球高位
作者: 国王    时间: 2006-6-5 06:09
双侧慢性中耳乳突炎
作者: jiangjing    时间: 2006-6-5 07:41
双侧乳突气化不良,密度稍高,右侧鼓室内见软组织影,双侧听骨链显示不完整。考虑乳突炎,听骨链发育异常。
作者: dyqct    时间: 2006-6-5 17:02
临床有中耳炎病史吗?
作者: xcc106    时间: 2006-6-5 17:34
影像:右侧外耳道内可见一低水样密度影,双侧乳突气房消失,密度增高,内耳道显示清楚,未见明显异常。
诊断:双侧慢性乳突炎,右侧外耳道积液或囊肿可能。
作者: lunqin    时间: 2006-6-5 18:36
中耳乳突炎。
作者: fengzhuo    时间: 2006-6-5 22:14
双侧乳突小房气化欠佳,同时壁骨质密度增高,左侧显著。考虑为双侧慢性乳突炎。
作者: shibing    时间: 2015-6-10 14:56
双侧乳突气化不良,密度稍高,未见明显软组织影及骨质破坏,支持双侧慢性中耳乳突炎。




欢迎光临 医影在线 (http://bbs.radida.com/bbs/) Powered by Discuz! X3.2