医影在线
标题: CT3742:[原创]胸部 强化平扫及强化{应该是少见的血管变异病 [打印本页]
作者: guzhongliangddd 时间: 2006-6-5 03:13
标题: CT3742:[原创]胸部 强化平扫及强化{应该是少见的血管变异病
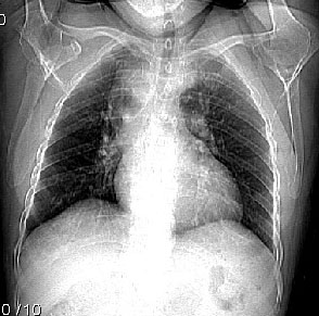
患者,女因为我吐血,{经过临床以好转}平片高度怀疑上纵隔增宽,纵隔旁型肺癌?{两次未见明显变化}有问题行ct.










[本贴已被 jiajie 于 2006-6-4 20:07:34 修改过]
作者: gzayhsj 时间: 2006-6-5 03:27
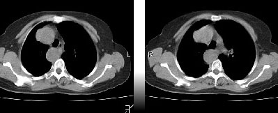
先天发育异常:降主动脉位右侧,主动脉弓形态欠规整。余未见异常影像。
作者: guzhongliangddd 时间: 2006-6-5 03:32
标题: 回复:[原创]胸部 强化平扫及强化{应该是少见的血管变异

[本贴已被 guzhongliangddd 于 2006-6-5 7:40:02 修改过]
作者: 余辉 时间: 2006-6-5 03:33
主a弓及降主a都位于右侧,近膈肌时位于椎体前,,左室流出道及其他结构未见明显异常
作者: soniclou 时间: 2006-6-5 03:50
全反位,先天发育异常,平均一年内我碰见2个
作者: yz 时间: 2006-6-5 03:55
右位主动脉弓伴迷走左锁骨下动脉。
作者: wxy7406 时间: 2006-6-5 04:36
楼主发布的是右主动脉弓的由中动脉弓并迷走左锁骨下动脉,并不是5楼战友说的全反位。
作者: lkc8963 时间: 2006-6-5 04:51
标题: 回复:ct3742:[原创]胸部 强化平扫及强化{应该是少见的血管
以下是引用yz在2006-6-4 19:55:00的发言:[br]右位主动脉弓伴迷走左锁骨下动脉。
作者: 逸风 时间: 2006-6-5 04:56
右位主动脉弓!!
作者: 同 时间: 2006-6-5 05:29
右位主动脉弓伴迷走左锁骨下动脉
作者: zhuxinli 时间: 2006-6-5 05:59
右位主动脉弓伴迷走左锁骨下动脉
作者: 拾荒者 时间: 2006-6-5 06:10
先天发育异常:右弓右降。
作者: jiangjing 时间: 2006-6-5 07:29
右位主动脉弓!!
作者: guzhongliangddd 时间: 2006-6-5 07:36
标题: 血管
谢谢各位战友的提示,说实话我除看到主动脉右位外。我还真没想到是左锁骨下动脉{我把它认为是左头臂静脉了}!!!在次谢谢各位战友。
[本贴已被 guzhongliangddd 于 2006-6-5 7:43:02 修改过]
作者: limmm 时间: 2006-6-5 17:04
右位主动脉并迷走左锁骨下动脉.
作者: dyqct 时间: 2006-6-5 17:07
右位主动脉弓伴迷走左锁骨下动脉.
作者: wwh1996 时间: 2006-6-5 22:44
右位主动脉弓伴迷走左锁骨下动脉
作者: ssl1_1 时间: 2006-6-7 04:51
右位主动脉弓伴迷走左锁骨下动脉。
作者: liaoqiang 时间: 2006-6-7 16:43
右位主动脉弓
作者: 守望可可 时间: 2006-6-7 17:59
精典哦,学习了,俩畸形
作者: shibing 时间: 2015-6-10 14:55
右位主动脉弓伴迷走左锁骨下动脉
| 欢迎光临 医影在线 (http://bbs.radida.com/bbs/) |
Powered by Discuz! X3.2 |