


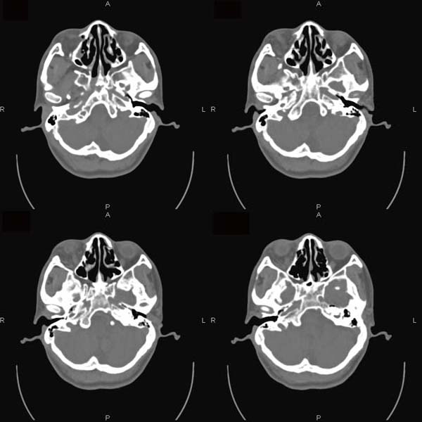
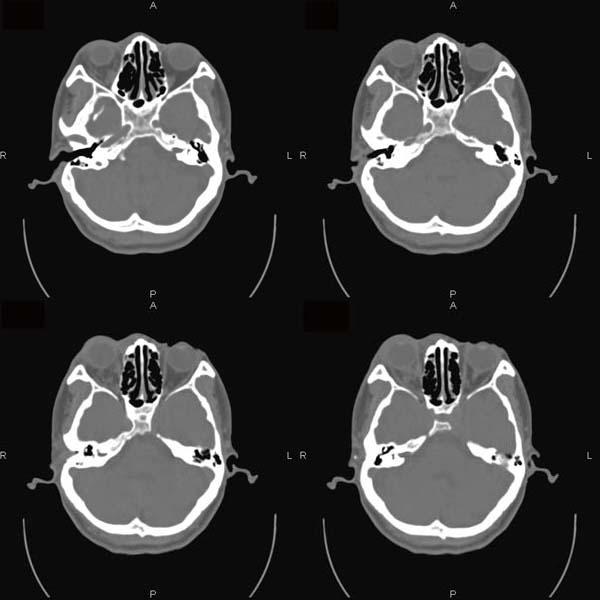
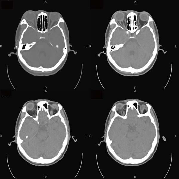
以下是引用逸风在2006-6-5 17:45:00的发言:[br]ct显示:右侧眼球轻度突出,眼环增厚,球后脂肪间隙模糊,可见点状高密度灶,同侧视神经稍增粗,周围眶壁骨质未见明显异常,眼环完整,球内未见明显异常密度.[br]诊断意见:1.右侧眼球钝挫伤合并球后间隙出血可能;2.右侧视神经挫伤待排.[br]建议必要时hrct扫描,排外其它.
以下是引用逸风在2006-6-5 17:45:00的发言:[br]ct显示:右侧眼球轻度突出,眼环增厚,球后脂肪间隙模糊,可见点状高密度灶,同侧视神经稍增粗,周围眶壁骨质未见明显异常,眼环完整,球内未见明显异常密度.[br]诊断意见:1.右侧眼球钝挫伤合并球后间隙出血可能;2.右侧视神经挫伤待排.[br]建议必要时hrct扫描,排外其它.
以下是引用jiangjing在2006-6-5 23:41:00的发言:[br][图像处理较差]ct显示:右侧眼球轻度突出,眼环增厚,球后脂肪间隙模糊,可见点状高密度灶,同侧视神经稍增粗,周围眶壁骨质未见明显异常,眼环完整,球内未见明显异常密度.[br]诊断意见:1.右侧眼球钝挫伤合并球后间隙出血可能;2.右侧视神经挫伤待排.[br]建议必要时hrct扫描,排外其它
| 欢迎光临 医影在线 (http://bbs.radida.com/bbs/) | Powered by Discuz! X3.2 |