医影在线
标题: X0799:右肱骨恶性骨肿瘤?,讨论! [打印本页]
作者: kingismy 时间: 2006-6-8 19:49
标题: X0799:右肱骨恶性骨肿瘤?,讨论!
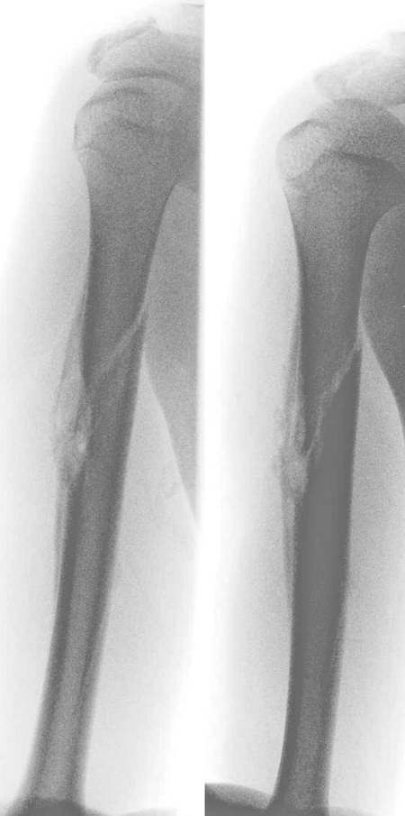
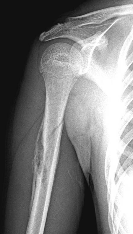
原无外伤史,男,16y,右上臂轻微外伤 前来就诊。


[本贴已被 jiajie 于 2006-6-8 16:40:47 修改过]
作者: X线 时间: 2006-6-8 21:20
标题: [讨论]
1、右肱骨陈旧性骨折后重复骨折。
2、右肱骨陈旧性骨折后继发骨感染。
[本贴已被 x线 于 2006-6-8 18:56:50 修改过]
作者: kingismy 时间: 2006-6-8 22:03
原无外伤史,男,16y
作者: dyqct 时间: 2006-6-8 23:00
皮质骨肉瘤伴病理性骨折?
作者: 影像之魁 时间: 2006-6-9 02:25
支持2楼
作者: tsxhfsk 时间: 2006-6-9 03:02
标题: 回复:x0799:右肱骨恶性骨肿瘤?,讨论!
以下是引用dyqct在2006-6-8 15:00:00的发言:[br]皮质骨肉瘤伴病理性骨折?
作者: lanlong1979 时间: 2006-6-9 03:29
支持4楼
作者: 一点红 时间: 2006-6-9 05:26
骨膜反应.伴病理性骨折...考虑骨肉瘤
作者: 笑笑天 时间: 2006-6-9 06:53
尤文氏瘤合并病理性骨折;16岁,骨髓腔有破坏.但不能除外感染可能
作者: jiangjing 时间: 2006-6-9 07:10
肱骨骨干皮质及髓腔骨质破坏伴层状骨膜反应与线形骨折,结合病史考虑骨恶性肿瘤伴病理骨折,类型难以定论[骨肉瘤-------一般发生于干骺端],[尤文氏瘤发生骨干]
作者: zhangkening 时间: 2006-6-9 19:27
骨膜反应非常广泛,且有中断征象,皮质破坏,髓腔也有破坏,病人16岁,首先认为恶性肿瘤,(骨肉瘤吧)
作者: 天边的云 时间: 2006-6-10 02:27
支持8楼
作者: shmilyycy 时间: 2006-6-10 03:54
支持4楼
作者: 余辉 时间: 2006-6-10 04:09
支持4楼,有可能是ewing瘤吗?
作者: altman 时间: 2006-6-10 06:03
髓腔骨质破坏.层状骨膜反应,病理性骨折,考虑尤文氏瘤
作者: lizhenhua00 时间: 2006-6-10 15:03
支持4楼
作者: 为影像狂 时间: 2006-6-10 20:21
骨膜反应广泛,皮髓质溶骨性破坏,病理性骨折,恶性肿瘤可能性大。
作者: 582914319 时间: 2006-6-11 04:46
骨肉瘤伴病理性骨折
作者: 清风无痕 时间: 2006-6-11 06:08
恶性肿瘤可能性大
作者: chry3 时间: 2006-6-12 04:55
肱骨隋腔密度不均匀减低,邻近皮质破坏,有明显骨膜反应,骨折为病理性的,考虑年龄仅16岁,尤文氏瘤伴病理骨折可能性大
作者: 逸风 时间: 2006-6-12 07:25
软组织肿胀明显,层状骨膜反应,未见明显肿块,考虑骨折合并感染可能大,待排恶性骨肿瘤.
作者: david 时间: 2006-6-12 19:13
尤文氏瘤合并病理性骨折
作者: ydyuan1986 时间: 2006-6-13 00:53
应该做个mri检查!
作者: zq921129 时间: 2006-6-13 02:31
有骨质破坏,骨膜反应,病理性骨折--------------考虑恶性肿瘤合并病理性骨折!!!!!!!!!!
作者: zhouhansong 时间: 2006-6-13 04:19
1。恶性骨肿瘤,尤文思肉瘤并病理骨折。2,骨髓炎并病理骨折。
作者: jinguoji 时间: 2006-11-15 07:32
考虑恶性肿瘤合并病理性骨折
作者: shibing 时间: 2012-10-30 09:40
考虑恶性肿瘤合并病理性骨折
| 欢迎光临 医影在线 (http://bbs.radida.com/bbs/) |
Powered by Discuz! X3.2 |