医影在线

标题: CT3780:腹部,典型病例-共同学习 [打印本页]

作者: 卜一    时间: 2006-6-8 23:34
标题: CT3780:腹部,典型病例-共同学习
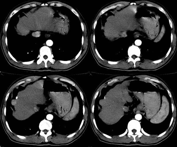
患者 男性 53岁,丙肝病史10年,右上腹隐痛2年,近15天加重,彩超发现肝内实质性肿物,行ct结果肝硬化癌变比较典型,故上传,共同学习。










[本贴已被 jiajie 于 2006-6-8 16:13:05 修改过]

作者: 乡医    时间: 2006-6-9 00:04
典型!!收到,楼主精神甚佳!!
作者: 迎客松    时间: 2006-6-9 01:26
呵呵 还是好人多
作者: wangzhanshuang    时间: 2006-6-9 02:22
典型,平扫肝右叶凸向表面等密度结节,动脉期明显强化表现高密度,门脉期稍低密度,延迟低密度
作者: 逸风    时间: 2006-6-9 03:29
谢谢楼主!
作者: chenqiong    时间: 2006-6-9 03:44
的确比较典型
作者: ssl1_1    时间: 2006-6-9 03:53
平扫肝右叶凸向表面等密度结节,动脉期明显强化表现高密度,门脉期稍低密度,延迟低密度
作者: ouypingfang    时间: 2006-6-9 04:14
肝脏体积明显缩小,表面呈波浪样改变,平扫肝右叶等密度结节,动脉期明显强化,门脉期及延时扫描病灶呈低密度.典型病例.
作者: 一棵树    时间: 2006-6-9 04:54
典型肝硬化癌变!
作者: 漫步云端    时间: 2006-6-9 04:57
肝脏体积明显缩小,表面呈波浪样改变,平扫肝右叶等密度结节,动脉期明显强化,门脉期及延时扫描病灶呈低密度.典型病例.谢谢楼主……
作者: david    时间: 2006-6-9 05:34
1\\\"迎客松 \":我好羡慕你哟,让我想起了矿务局的周易
2\\谢谢楼主让我们学习
作者: ctkz987    时间: 2006-6-9 05:59
典型,动脉期抓的好.
作者: liuyue    时间: 2006-6-9 07:50
典型病例.谢谢楼主.
作者: 同    时间: 2006-6-9 14:08
典型肝硬化肝癌
作者: LWZ    时间: 2006-6-9 20:33
典型ct表现
作者: guoke    时间: 2006-6-10 00:43
说明肝硬化再生结节癌变可能性比较大,所以发现结节样变时,应定时复查.
作者: soniclou    时间: 2006-6-10 02:51
典型收到
作者: 拾荒者    时间: 2006-6-10 03:33
典型小肝癌:肝硬化、结节三期强化符合快进快出特点。
作者: jiangjing    时间: 2006-6-10 04:11
肝脏体积明显缩小,表面呈波浪样改变,平扫肝右叶等密度结节,动脉期明显强化,门脉期及延时扫描病灶呈低密度.典型病例.[肝硬化,肝癌]
作者: shibing    时间: 2015-6-11 08:54
肝硬化




欢迎光临 医影在线 (http://bbs.radida.com/bbs/) Powered by Discuz! X3.2