医影在线
标题: CT3782:[原创]头部,典型病历,大家看看 [打印本页]
作者: 小乔 时间: 2006-6-9 03:57
标题: CT3782:[原创]头部,典型病历,大家看看
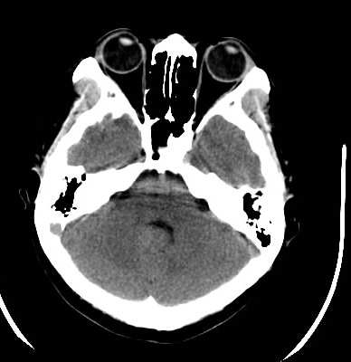
脑外伤患者,无外伤性改变












[本贴已被 jiajie 于 2006-6-8 20:34:39 修改过]
作者: chenqiong 时间: 2006-6-9 04:08
气颅还是脂肪瘤啊?
作者: 一棵树 时间: 2006-6-9 04:21
请注明病灶的ct值
作者: jiajie 时间: 2006-6-9 04:33
考虑脂肪瘤。
作者: wangzhanshuang 时间: 2006-6-9 05:03
胼胝体脂肪瘤
作者: 叶盟 时间: 2006-6-9 05:05
脂肪瘤
作者: shaxizhao 时间: 2006-6-9 05:14
中线部位脂肪瘤是很常见的,请注上ct值
作者: hantinxue 时间: 2006-6-9 05:15
看ct值就知道了,楼主给一个吧
作者: zanmin52 时间: 2006-6-9 05:17
脂肪瘤要考虑,也可能是表皮样囊肿.我们曾有二例类似病例,经手术证实为表皮样囊肿.
作者: david 时间: 2006-6-9 05:23
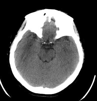
kl 另外四脑室有受压,是否有占位!!
作者: xuchenming 时间: 2006-6-9 05:37
病灶不规则,呈散在分布,结合外伤病史,考虑气颅可能性大!
作者: 小乔 时间: 2006-6-9 05:42
平均ct值 -60hu
作者: ctkz987 时间: 2006-6-9 05:48
颅内积气
作者: qian 时间: 2006-6-9 06:20
脂肪瘤。
作者: yz 时间: 2006-6-9 07:05
胼胝体脂肪瘤。
作者: anbo5502 时间: 2006-6-9 07:47
标题: 回复:ct3782:[原创]头部,典型病历,大家看看
以下是引用yz在2006-6-8 23:05:00的发言:[br]胼胝体脂肪瘤。
作者: sammycn 时间: 2006-6-9 07:50
1、脂肪瘤?2、表皮样囊肿(特点见缝就钻)? 有ct值就更可靠啦
作者: liuyue 时间: 2006-6-9 08:02
小乔(楼主)说:平均ct值—60hu。考虑脂肪瘤。
作者: 同 时间: 2006-6-9 14:16
脂肪瘤 ct值是多少
作者: 卜一 时间: 2006-6-9 16:32
ct值-60应考虑:脂肪瘤.
作者: hmyj9 时间: 2006-6-9 16:37
支持脂肪瘤诊断.
作者: dyqct 时间: 2006-6-9 16:57
胼胝体脂肪瘤
作者: 守望可可 时间: 2006-6-9 17:49
标题: 1
考虑为颅内脂肪瘤。
颅内脂肪瘤系因隶属于中胚层的脂肪掺合进正在关闭的神经管之中,绝大多数见于胼胝体膝部,肿瘤较小;偶尔可发生在整个胼胝体,肿瘤较大。颅内脂肪瘤也可见于四叠体池,鞍上池,大脑脚池以及桥小脑角池。约有50%的中线脂肪瘤并有胼胝体发育不全,但是,胼胝体发育不全很少并有脂肪瘤。胼胝体脂肪瘤有症状的仅占一半,主要为癫痫,痴呆,头痛,半身不遂。癫痫系因脂肪瘤使邻近的纤维性结缔组织浸润到周围脑组织所致。脂肪瘤占位效应不明显,由于它浸润性生长,有时可造成对邻近血管如大脑前动脉的包绕,可影响正常脑脊液通路而导致脑积水。
[本贴已被 jiajie 于 2006-6-9 13:04:18 修改过]
作者: zhuxinli 时间: 2006-6-9 17:51
脂肪瘤
作者: 一帆风顺 时间: 2006-6-9 18:12
颅内脂肪瘤。;
作者: w_jianhua 时间: 2006-6-9 18:23
颅内脂肪瘤
作者: winter 时间: 2006-6-9 18:31
这个病例是中线脂肪瘤还是表皮样囊肿是需要鉴别的,脂肪性的东西肯定是见缝就钻的,看位置我认为是中线区脂肪瘤,既然楼主认为是典型病例,请您发表意见!
作者: 陈医生123 时间: 2006-6-9 18:55
支持脂肪瘤
作者: LWZ 时间: 2006-6-9 20:16
脂肪瘤
作者: ~~无忌 时间: 2006-6-9 20:26
脂肪瘤可能较大,有ct值就能确诊
作者: chmb 时间: 2006-6-9 23:13
脂肪瘤。四脑室占位?建议增强扫描
作者: lpc0ct 时间: 2006-6-10 02:18
中线部位脂肪瘤是很常见的,请注上ct值
作者: viman_z 时间: 2006-6-10 02:31
标题: 回复:ct3782:[原创]头部,典型病历,大家看看
以下是引用小乔在2006-6-8 21:42:00的发言:[br]平均ct值 -60hu
既然ct值为-60hu,当然首先考虑脂肪瘤,除此之外,我们还应该注意四脑室改变,建议增强扫描
作者: whli 时间: 2006-6-10 03:50
中线脂肪瘤。没商量!
作者: 拾荒者 时间: 2006-6-10 04:02
颅内脂肪瘤少见,占颅内肿瘤的1%以下。有人认为不是肿瘤,而是原始脑膜组织的畸形。好发于胼胝体及其周围。胼胝体区脂肪瘤多并发于胼胝体发育不良。瘤体呈圆形或分叶状,大小不等,境界清楚。ct上,病灶呈脂肪密度的圆形或分叶状肿块,周边可见弧形钙斑。无瘤周水肿。无强化。本例发生于胼胝体区低密度肿块,ct值-60,应是典型的胼胝体区脂肪瘤。
作者: happier 时间: 2006-6-10 04:04
同意脂肪瘤
作者: jiangjing 时间: 2006-6-10 04:05
支持胼胝体脂肪瘤。
作者: maqingya 时间: 2006-6-10 04:15
脂肪瘤
作者: 李林 时间: 2006-6-10 04:22
同意脂肪瘤观点
作者: shibing 时间: 2015-6-11 08:51
脂肪瘤
| 欢迎光临 医影在线 (http://bbs.radida.com/bbs/) |
Powered by Discuz! X3.2 |