医影在线
标题: CT3798:(2006-7-10新增资料)肋骨破坏? [打印本页]
作者: clcts2002 时间: 2006-6-11 05:39
标题: CT3798:(2006-7-10新增资料)肋骨破坏?
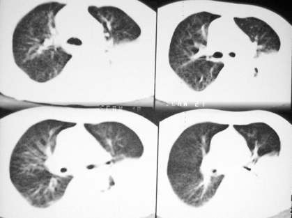
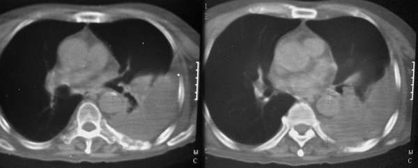
长年偏瘫卧床的病人,73岁,男。最近不能自理,饮食差,知觉不敏感,bp:140/80。脑ct是脑动脉硬化的表现,陈旧多发脑梗死。听诊左肺呼吸音低。行胸部ct扫描发现左侧大量胸腔积液,左侧肋骨虫蚀样破坏,请给予会诊一下:是否转移性病变还是其他?谢谢!







[本贴已被 jiajie 于 2006-6-11 5:50:55 修改过]
在2006年6月10日ct3798的病例中,我让老师会诊一个病人的肋骨,现在有结果了。病人复查后,发现t8、9椎体已经破坏,并累积椎管。考虑还象个转移,可始终未发现原发灶。有兴趣的可以在提一下见解。


[本贴已被 jiajie 于 2006-7-10 20:35:03 修改过]
作者: zhangch 时间: 2006-6-11 07:11
我认为长期卧床病人,其肋骨骨质稀疏,其左后肋骨之异常,多为陈旧骨折所致,
至于转移一说,如有原发灶,也可以考虑一下,
作者: 中山医 时间: 2006-6-11 07:29
标题: 肋骨破坏?
窗宽窗位未调好,有否骨质破坏很难定。
[本贴已被 中山医 于 2006-6-10 23:30:54 修改过]
作者: 一江月 时间: 2006-6-11 16:55
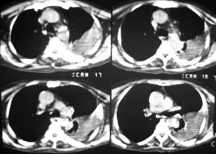
左侧后肋骨及椎弓骨质破坏,考虑转移瘤.降主动脉旁见一软组织块影,肿瘤与压迫之不张肺组织不能鉴别,建议增强扫描.
作者: jone-baby 时间: 2006-6-11 17:13
我建议化验胸水.肋骨破坏不像。
作者: 守望可可 时间: 2006-6-11 17:40
支持2楼战友的考虑。如果是转移的话,周围软组织也应该受浸润,而现有图片显示双侧软组织比较对称。恶性征象不足,加上病史长年偏瘫卧床的病人,73岁,男。最近不能自理,饮食差,知觉不敏感,bp:140/80。可能有陈旧性骨折,病人感觉迟钝而被忽略。
作者: tsxhfsk 时间: 2006-6-11 18:12
我认为长期卧床病人,其肋骨骨质稀疏,其左后肋骨之异常,多为陈旧骨折所致,是否转移证据不足,如有原发灶,也可以考虑一下,
作者: 东北 时间: 2006-6-11 18:14
.肋骨破坏不像
作者: 卜一 时间: 2006-6-11 18:33
感觉不象破坏,建议楼主不妨拍cr胸片.
作者: liuyue 时间: 2006-6-11 19:12
感觉不象肋骨破坏。
作者: 同 时间: 2006-6-11 22:25
左侧胸水 肋骨破坏不象
作者: 逸风 时间: 2006-6-12 00:35
标题: 回复:ct3798:肋骨破坏?
考虑;左侧周围性肺癌侵犯胸膜并肋骨转移.
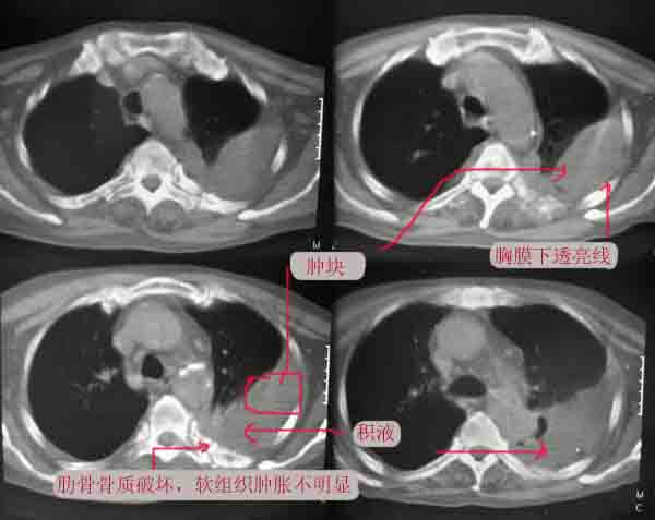
考虑肋骨骨质破坏,病变肋骨皮质不连续,呈融骨样改变,不象骨质损伤后的修复样改变,未见到明显骨痂显示.软组织肿胀不明显,所以不太支持感染性破坏改变.
[本贴已被 逸风 于 2006-6-11 16:40:30 修改过]
作者: 余辉 时间: 2006-6-12 03:08
支持2楼战友的考虑。如果是转移的话,周围软组织也应该受浸润,而现有图片显示双侧软组织比较对称。恶性征象不足,加上病史长年偏瘫卧床的病人,73岁,男。最近不能自理,饮食差,知觉不敏感,bp:140/80。可能有陈旧性骨折,病人感觉迟钝而被忽略
作者: robtter 时间: 2006-6-12 05:00
肿瘤引起的破坏并胸水可能性大!
作者: 拾荒者 时间: 2006-6-12 05:05
同意12楼分析,右肺癌侵及胸膜并肋骨转移。
作者: gsjyiyr 时间: 2006-6-12 05:07
肋骨骨质破坏!!中下部纵隔窗传上来看看!该不会有肺癌吧?纵隔内有淋巴结影。
作者: jiajie 时间: 2006-6-12 05:28
左肺上叶尖后段实变、体积缩小,支气管开口后方似有一肿块,与胸壁、主动脉分界不清,局部肋骨呈混合型破坏,考虑肺癌肋骨、胸膜转移。
作者: jiajialewz 时间: 2006-6-12 05:34
同意四楼意见!左侧椎板也有骨质破坏征象
作者: friedman 时间: 2006-6-12 17:47
左侧包裹性胸腔积液,未见到明确的肿块影,纵隔窗伪影严重,纵隔可见到淋巴结(位于主动脉弓下)左侧肋骨病变是否与患者长年卧床有关
作者: dyqct 时间: 2006-6-12 18:56
标题: 回复:ct3798:肋骨破坏?
以下是引用逸风在2006-6-11 16:35:00的发言:[br][br]考虑;左侧周围性肺癌侵犯胸膜并肋骨转移.[br]考虑肋骨骨质破坏,病变肋骨皮质不连续,呈融骨样改变,不象骨质损伤后的修复样改变,未见到明显骨痂显示.软组织肿胀不明显,所以不太支持感染性破坏改变.
[br][br][br][本贴已被 逸风 于 2006-6-11 16:40:30 修改过]
作者: llh913 时间: 2006-6-12 22:36
支持周围性肺癌伴肋骨胸膜转移.
作者: jiajie 时间: 2006-7-11 04:36
标题: 回复:ct3798:(2006-7-10新增资料)肋骨破坏?
以下是引用llh913在2006-6-12 14:36:00的发言:[br]支持周围性肺癌伴肋骨胸膜转移.
作者: clcts2002 时间: 2006-7-12 06:02
标题: 回复:ct3798:(2006-7-10新增资料)肋骨破坏?
在短短的一个月的时间,胸椎变化这么大,如果说不是恶性,那骨质疏松不会这么快吧!(原来的资料因t8、9没变化,所以没有显示)。请注意我现在发的帖子是以t8、9椎体为住的。
作者: 国王 时间: 2006-7-12 06:07
骨破坏,考虑转移
作者: shibing 时间: 2015-6-11 15:15
建议化验胸水
| 欢迎光临 医影在线 (http://bbs.radida.com/bbs/) |
Powered by Discuz! X3.2 |