医影在线
标题: CT3839:脑出血,是否为肿瘤破裂所致?请教各位老师 [打印本页]
作者: roadtofree 时间: 2006-6-16 03:28
标题: CT3839:脑出血,是否为肿瘤破裂所致?请教各位老师
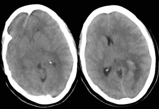
患者 女 52岁 头痛,右肢瘫痪14小时,查体:右上下肢肌力0级,血压120mmhg/80mmhg



[本贴已被 jiajie 于 2006-6-15 20:15:30 修改过]
作者: 晓杰 时间: 2006-6-16 04:23
考虑瘤瘁中
作者: 1983 时间: 2006-6-16 06:05
血肿吸收后复查 或增强扫描
作者: 一点红 时间: 2006-6-16 06:18
瘤体破裂出血???
梗塞性脑出血?....或出血后形成周围水肿?.....??????
作者: guzhongliangddd 时间: 2006-6-16 06:22
左顶后脑出血{影像报告},至于原因结合临床吧!!!
作者: fjh214 时间: 2006-6-16 06:38
水肿范围窄了些吧,如果是肿瘤的话
作者: 拾荒者 时间: 2006-6-16 06:54
右顶部脑出血,原因?
作者: Dingshan 时间: 2006-6-16 07:16
症状出现14h 后行ct,血肿周围就这样水肿很不正常,当然考虑瘤瘁中
作者: 扬仪 时间: 2006-6-16 07:32
左枕顶脑血肿;血肿密度不均,可能为多次少量出血所致。
作者: 守望可可 时间: 2006-6-16 07:41
可以肯定地说是肿瘤破裂出血。
原因有5:1.出血灶位于左枕顶叶,但大脑镰中后部偏下方仅有轻微向右移位,偏上方则向左侧有移位。2.出血灶密度明显不均匀,见有较广泛小泡状以及一个较大呈枣核样低密度区,且出血灶形态不规则,边缘模糊。3.出血灶周围水肿带明显不符合一般出血的特点。出血灶最大径在中后部,而其内、后部基本没有水肿带;相反水肿带却出现在外、前部,以外部更显著。且,水肿带之密度、出现时间等均不符合一般的出血。4.大脑镰中前部之偏下方明显向右移位,左侧基底节、丘脑、左侧脑室等均向右侧明显移位,左侧侧脑室大部分受压、闭塞。它们的移位,用左枕、顶叶出血灶之推压来解释显然行不通。5.左侧额、顶、枕部灰质密度、形态、走向、分步均明显异常,呈团片状、指状且略高于对侧。综上所诉,我考虑为瘤卒中,建议增强或mri检查。左侧胶质母细胞瘤可能性最大。第2考虑转移瘤
作者: SYFSZCW 时间: 2006-6-16 07:59
我说实在的!这个病人我们的影象人只报告左顶枕血肿已经可以了!至于我们大家共同的讨论为什么?我认为结合临床非常有必要!但是要估计!我认为不象肿瘤卒中!
作者: liuyue 时间: 2006-6-16 08:00
同意守望可可西里的分析、诊断.
作者: 同 时间: 2006-6-16 14:09
左枕顶部脑出血
作者: zhh 时间: 2006-6-16 15:50
我说实在的!这个病人我们的影象人只报告左顶枕血肿已经可以了!至于我们大家共同的讨论为什么?我认为结合临床非常有必要!但是要估计!我认为不象肿瘤卒中!支持11楼!
作者: dyqct 时间: 2006-6-16 15:56
左顶枕叶脑出血,原因待查。
作者: fumaogui 时间: 2006-6-16 16:39
只能这样报:左顶叶内出血考肿瘤继发性脑出血.
作者: fumaogui 时间: 2006-6-16 16:41
建议一周后增强扫描.
作者: LWZ 时间: 2006-6-16 16:57
考虑单纯血肿,占位效应并不很明显,因扫描层面不对称。血肿靠近硬膜结构故前外侧水肿明显。
作者: ruoyuli 时间: 2006-6-16 17:36
左枕顶叶血肿.治疗后复查
作者: ruoyuli 时间: 2006-6-16 17:37
标题: 回复:ct3839:脑出血,是否为肿瘤破裂所致?请教各位老师
以下是引用syfszcw在2006-6-15 23:59:00的发言:[br]我说实在的!这个病人我们的影象人只报告左顶枕血肿已经可以了!至于我们大家共同的讨论为什么?我认为结合临床非常有必要!但是要估计!我认为不象肿瘤卒中!
作者: ssl1_1 时间: 2006-6-16 17:48
标题: 回复:ct3839:脑出血,是否为肿瘤破裂所致?请教各位老师
以下是引用扬仪在2006-6-15 23:32:00的发言:[br]左枕顶脑血肿;血肿密度不均,可能为多次少量出血所致。
这样的解释很有道理,水肿的范围和出血时间也有一定的关系
作者: 卜一 时间: 2006-6-16 18:08
我说实在的!这个病人我们的影象人只报告左顶枕血肿已经可以了!至于我们大家共同的讨论为什么?我认为结合临床非常有必要!但是要估计!我认为不象肿瘤卒中!支持11楼!
另出血一定程度吸收后,再观察.
作者: jone-baby 时间: 2006-6-16 18:24
我看肿瘤破裂出血可能性大。
作者: jone-baby 时间: 2006-6-16 18:50
同意守望可可西里战友的意见.
作者: llh913 时间: 2006-6-16 20:27
单纯出血.病灶吸收后在复查.
作者: roadtofree 时间: 2006-6-16 20:34
标题: 讨论
感谢各位老师回复,总结几条诊断意见:
lwz
考虑单纯血肿,占位效应并不很明显,因扫描层面不对称。血肿靠近硬膜结构故前外侧水肿明显。
扬仪、ssl1_1
左枕顶脑血肿;血肿密度不均,可能为多次少量出血所致。
可可西里:可以肯定地说是肿瘤破裂出血。
原因有5:
1.出血灶位于左枕顶叶,但大脑镰中后部偏下方仅有轻微向右移位,偏上方则向左侧有移位。
2.出血灶密度明显不均匀,见有较广泛小泡状以及一个较大呈枣核样低密度区,且出血灶形态不规则,边缘模糊。
3.出血灶周围水肿带明显不符合一般出血的特点。出血灶最大径在中后部,而其内、后部基本没有水肿带;相反水肿带却出现在外、前部,以外部更显著。且,水肿带之密度、出现时间等均不符合一般的出血。
4.大脑镰中前部之偏下方明显向右移位,左侧基底节、丘脑、左侧脑室等均向右侧明显移位,左侧侧脑室大部分受压、闭塞。它们的移位,用左枕、顶叶出血灶之推压来解释显然行不通。
5.左侧额、顶、枕部灰质密度、形态、走向、分步均明显异常,呈团片状、指状且略高于对侧。综上所诉,我考虑为瘤卒中,建议增强或mri检查。左侧胶质母细胞瘤可能性最大。第2考虑转移瘤
末学倾向于可可西里的意见,特别第4点,不知扬仪、ssl1_1是否认可?
还有一个疑问:几位说到结合临床,请问如何结合?
如果是瘤卒中,直接强化可否?会不会导致造影剂直接泄漏,而肿瘤强化效果不好?
fjh214
水肿范围窄了些吧,如果是肿瘤的话
水肿范围可大可小,依肿瘤类型不同而不同
[本贴已被 roadtofree 于 2006-6-16 12:42:43 修改过]
作者: liuyongbinking 时间: 2006-6-16 22:29
支持瘤瘁中
作者: 蓝星 时间: 2006-6-16 22:47
多考虑肿瘤破裂出血所致
作者: ctboy2005 时间: 2006-6-16 23:06
这类病人在临床还是很常见的,本人也遇见过几例,当时考虑肿瘤破裂出血,可是等病人症状好转后增强扫描确不是瘤卒中而是多次出血所致。所以本人认为,如再碰到类似的病人,应首先结合临床,问是否有高血压、慢性头痛及以前是否出现过类似的症状等相关信息,这样对诊断会有很大帮助。而要明确诊断最好是能复查及增强或mri。
作者: zhuxinli 时间: 2006-6-17 01:17
1考虑瘤瘁中2 蛛网膜下腔出血
作者: lkc8963 时间: 2006-6-17 05:14
还是只能报单纯血肿,虽然顶枕叶血肿需高度警惕瘤卒中。其实均可用脑水肿来解释1-5呀,为什么一定要戴上个什么肿瘤呢,这样不能保护自己呀!
作者: 守望可可 时间: 2006-6-17 06:40
标题: 回复:ct3839:脑出血,是否为肿瘤破裂所致?请教各位老师
以下是引用lkc8963在2006-6-16 21:14:00的发言:[br]还是只能报单纯血肿,虽然顶枕叶血肿需高度警惕瘤卒中。其实均可用脑水肿来解释1-5呀,为什么一定要戴上个什么肿瘤呢,这样不能保护自己呀!
保护自己是对的,实际工作中我也不可能直接这样报的。但我们这儿讨论的目的是什么呢?不还是为了提高水平,尽量把每个病例弄懂,弄透彻,要知其然更知其所以然。我欣赏逸风战友的风格,我更愿意和大伙儿相互学习,取长补短、弥补不足。在这儿又没有要谁承担什么法律责任,我们完全可以畅所欲言,发表任何你认为可能的意见,说不定病理结果就证明你是对的。
作者: 愚人佳好 时间: 2006-6-17 23:11
又看了看,还象单纯的脑出血,要是不放心,可以建议结合临床,必要是行增强ct或mri检查。
作者: 中山医 时间: 2006-6-18 22:32
脑出血是肯定的,至于是否有肿瘤,现在下结论的根据还不充足,可以从以下几方面可能得到证实:1、临床:1)有否高血压病史;2)慢性头痛(说明病程长短,肿瘤应该是慢性头痛,单纯脑出血应该是发病急);3)以前是否有过同样症状。2、病情允许的做mri可得到更多信息,排除有否占位;3、追踪观察。
作者: 扬仪 时间: 2006-6-19 01:22
roadtofree 战友,我们大家静候复查结果。请您一定上传!
作者: roadtofree 时间: 2006-6-19 02:07
标题: 随访结果
随访结果:
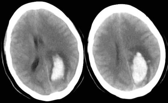
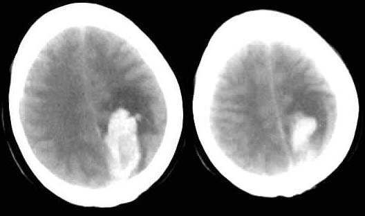
病人第二天做mr并增强,未见脑肿瘤,诊断为脑出血。
第四天ct复查,血肿较第一次ct增大。
[本贴已被 roadtofree 于 2006-6-22 17:27:46 修改过]
作者: ysxyy 时间: 2006-6-19 08:23
不支持瘤卒中:
1、急性起病,首先考虑脑血管病;
从病变的形态、部位来看,更像一个出血性脑梗死病例;
2、病人没有提供慢性头部不适病史及慢性右侧肢体活动障碍病史,我们为什么要把肿瘤放在首位呢?
3、本例病人血压偏低120/80mmhg,符合脑梗死的发病条件,而缺血性脑梗死进一步发展为出血性脑梗死的不在少数;
作者: z456 时间: 2006-6-19 10:18
肿瘤破裂出血
作者: 守望可可 时间: 2006-6-19 17:07
标题: 回复:ct3839:脑出血,是否为肿瘤破裂所致?请教各位老师
以下是引用roadtofree在2006-6-18 18:07:00的发言:[br]随访结果:[br]病人第二天做mr并增强,未见脑肿瘤,诊断为脑出血。[br]第四天ct复查,血肿较第一次ct最大。
谢谢roadtofree楼主的跟踪随访,学习并长见识了。现在看来,我原来太主观了,对不起各位老师啊,惭愧!至于我所考虑的那些不支持新鲜出血的表现,扬仪战友的意见可以给出答案。楼主的随访“第四天ct复查,血肿较第一次ct最大”,明确的支持这一论断。向楼主致敬,并向扬仪战友学习!也向批评我的lkc1693等诸位老师说声:对不起!我会从中汲取教训的。
作者: roadtofree 时间: 2006-6-21 04:05
通过发这个帖子,学到不少知识,也见识到各位老师的水平,值得我这个新手好好学习,向大家致谢!!!
作者: 漫步云端 时间: 2006-6-21 04:33
标题: 回复:ct3839:脑出血,是否为肿瘤破裂所致?请教各位老师
以下是引用lkc8963在2006-6-16 21:14:00的发言:[br]还是只能报单纯血肿,虽然顶枕叶血肿需高度警惕瘤卒中。其实均可用脑水肿来解释1-5呀,为什么一定要戴上个什么肿瘤呢,这样不能保护自己呀!
支持!
作者: dr.yang 时间: 2008-11-18 15:50
左顶枕叶脑出血,原因待查。
作者: xulianj 时间: 2008-11-19 03:05
左顶枕叶脑出血,原因待查。
作者: 吸引力 时间: 2008-11-19 03:30
单纯血肿不能解释侧脑室受压变形,考虑瘤卒中,建议增强扫描。
| 欢迎光临 医影在线 (http://bbs.radida.com/bbs/) |
Powered by Discuz! X3.2 |