医影在线

标题: CT3843:股骨病变,请帮助会诊。 [打印本页]

作者: lgm660927    时间: 2006-6-16 04:44
标题: CT3843:股骨病变,请帮助会诊。
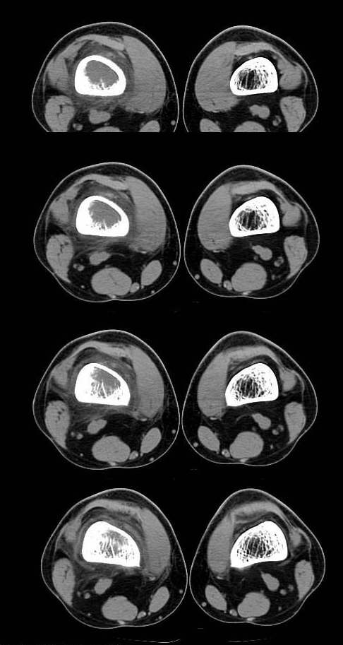
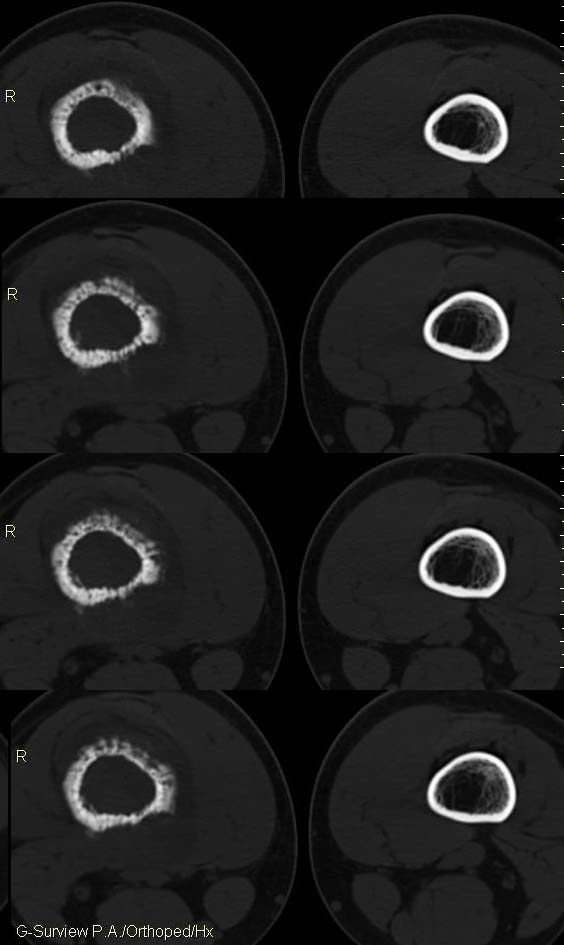
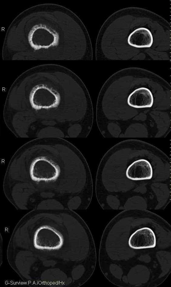
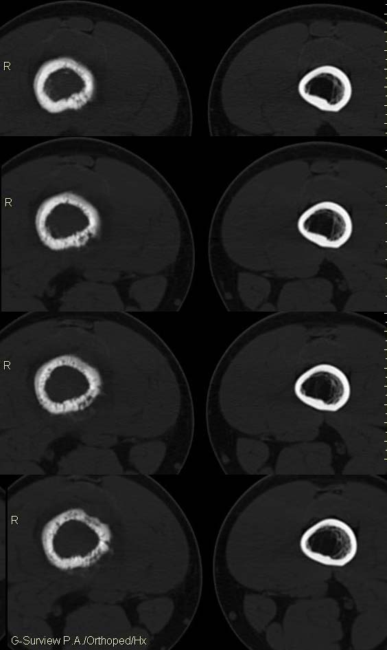
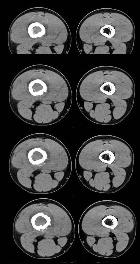
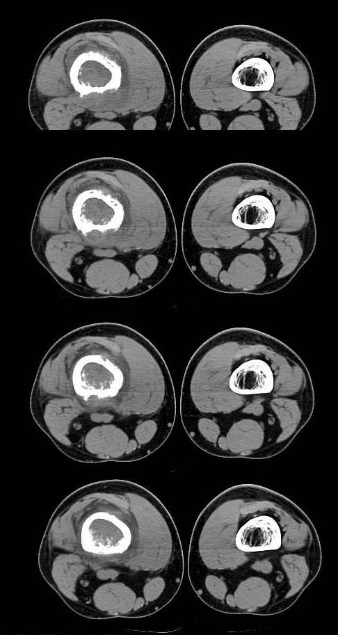
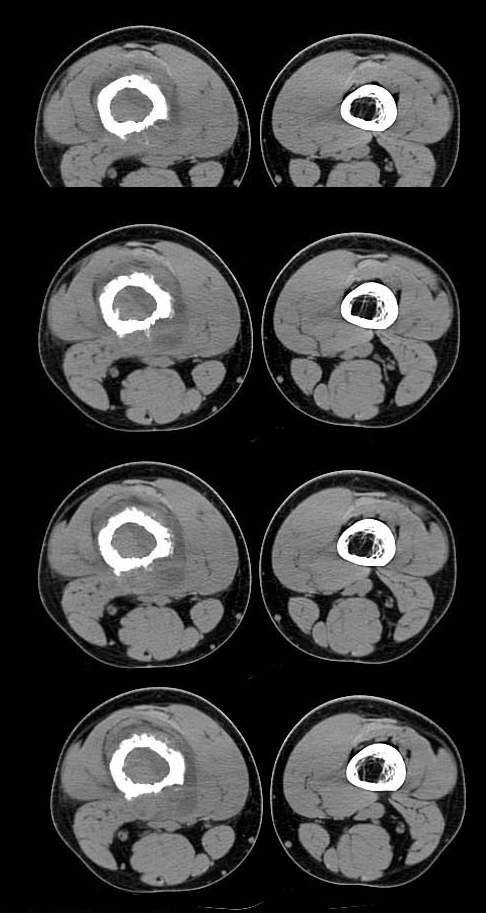
20岁,男,右股骨下端疼痛一个月,无发热,白细胞正常,皮肤不红,肿胀,触痛。













[本贴已被 jiajie 于 2006-6-15 21:22:49 修改过]

作者: jqka910    时间: 2006-6-16 05:48
尤文氏骨肉瘤
作者: gsjyiyr    时间: 2006-6-16 05:54
骨膜针状反应,是尤文氏骨肉瘤的典型表现!
作者: baixiongjun    时间: 2006-6-16 06:05
考虑右股骨血管内皮细胞瘤.
作者: 1983    时间: 2006-6-16 06:11
骨结构不良
作者: guzhongliangddd    时间: 2006-6-16 06:31
我的初步诊断意见:骨纤维结构不良{受侵犯的部位骨质密度呈毛玻璃样改变,髓腔内可见丝瓜嚷样改变]。
作者: guzhongliangddd    时间: 2006-6-16 06:34
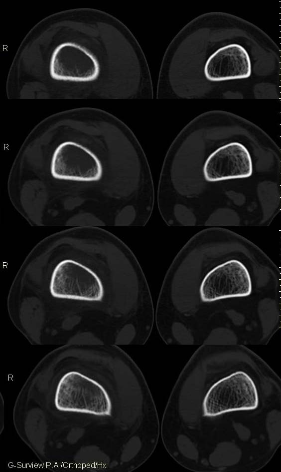
另外我想该类病例应该上传定位像。
作者: piao001    时间: 2006-6-16 07:26
骨肉瘤
作者: 同    时间: 2006-6-16 14:24
考虑骨肉瘤可能性大
作者: zhh    时间: 2006-6-16 15:31
骨肉瘤可能性大
作者: dyqct    时间: 2006-6-16 16:10
尤文氏骨肉瘤可能性大。
作者: fumaogui    时间: 2006-6-16 16:18
我的意见和大家不一样,骨皮质硬化,边缘不规则,骨腔内密度增高,周围软组织示水肿,基本上可排除肿瘤或肿瘤性病变.
诊断:硬化性骨髓炎或者慢性骨髓炎.
作者: ruoyuli    时间: 2006-6-16 17:17
标题: 回复:ct3843:股骨病变,请帮助会诊。
以下是引用fumaogui在2006-6-16 8:18:00的发言:[br]我的意见和大家不一样,骨皮质硬化,边缘不规则,骨腔内密度增高,周围软组织示水肿,基本上可排除肿瘤或肿瘤性病变.[br]诊断:硬化性骨髓炎或者慢性骨髓炎.

作者: ssl1_1    时间: 2006-6-16 17:58
骨肉瘤可能
作者: zhangchunxi    时间: 2006-6-16 18:05
支持骨肉瘤诊断
作者: 卜一    时间: 2006-6-16 18:22
主持6楼见解,应该首先考虑:骨纤维异常增殖征.
作者: llh913    时间: 2006-6-16 20:38
标题: 回复:ct3843:股骨病变,请帮助会诊。
骨纤维结构不良{受侵犯的部位骨质密度呈毛玻璃样改变,髓腔内可见丝瓜嚷样改变]。
作者: yz    时间: 2006-6-16 21:48
建议上传x光!
作者: winter    时间: 2006-6-16 22:49
右股骨下端很长范围内的髓腔扩大,骨小梁破坏消失,皮质亦呈融骨性破坏,周围脂肪层次紊乱,肌肉受累及密度减低。考虑为:恶性骨肿瘤。请专家们分析骨肉瘤及尤文氏肉瘤的ct征象。
作者: 守望可可    时间: 2006-6-16 23:33
我考虑是右股骨下端干骺中心型尤文氏肉瘤。
  不支持骨纤维异常增殖症。因为骨纤一般在童年发病,多为多骨同时发生。临床症状轻微,多因病理性骨折而就诊。另,病灶一般为膨胀性骨质破坏,并有粗大间隔呈丝瓜瓤样改变。
  尤文氏肉瘤系ewing(1921年)首先报道,当时取名为“骨的弥漫性血管内皮瘤”。其后oberling(1928年)认为起源于骨髓网状细胞,称之为“网状肉瘤”。但长久以来,人们对其组织发生意见不统一,文献中一直以姓氏命名。
  [病理]
  肉眼所见:肿瘤多发生于骨干部,从骨干中央向干骺端蔓延,自骨肉向外破坏,肿瘤呈结节状,质地柔软,无包膜。切面呈灰白色,部分区域因出血或坏死而呈暗红色或棕色。肿瘤坏死后,可形成假囊肿,内充满液化的坏死物质。肿瘤破坏骨皮质后,可侵入软组织,在骨膜及其周围形成“洋葱皮”样成层的骨膜增生,此为x线典型表现的病理基础。
  [临床表现]
尤文氏瘤在临床上比较少见,其发病远较骨肉瘤及软骨肉瘤为少。多局限在5岁以上,30岁以下,以10~25岁最多见。sherman等收集的111例材料,平均年龄15岁,70%病例发生在10~30岁间。幼儿及年长成人均少见。男性较女性多见。
发病部位:全身骨骼均可发病,但以四肢长骨的骨干为好发部位,以股骨、胫骨及肱骨最多见,少数发生在干骺端及骨骺。一般青少年以长管状骨为最多,20岁以上则以扁骨为多。
  诊断]
  1年龄、性别、部位:多发生于10~30岁。男性略多。多发生于股骨、胫骨或腓骨、尺骨等处,亦可发生于髂骨、肩胛骨等。
  2主要症状:进行性疼痛并出现肿块。有时体温升高,白细胞增多。
  3 x线检查:尤文氏瘤的x线表现多种多样,依发生部位不同,表现亦不相同。
  长骨:sherman及soong二氏根据x线表现,组织学及临床三方面资料为依据,选择了111例进行了研究,重点描述了x线表现。该氏将发生于骨干及干骺端的肿瘤均分为中心型及边缘型两种。
  a骨干中心型:最多见,为具有典型x线的部位,病变发生于骨干,常为对称性,早期受累的髓腔中心呈小斑点状或斑片状溶骨性破坏区,呈鼠咬状外观,界限不清,没有骨质硬化,此时病变轻微,亦为早期病变表现。随病程进展,病变区溶骨破坏逐渐增多,破坏区明显扩大,并逐渐出现骨膜反应,呈“洋葱皮”样外观。骨干呈梭形膨胀。约有50%病例于病变中部出现垂直的骨针。少数病人亦可形成骨膜三角。如有条件时,应每隔半月观察一次,由病变早期至出现典型表现仅1-2个月的时间。典型表现出现后,如未能及时治疗,则病变仍迅速扩展,沿骨之长轴广泛蔓延,并由内向外迅速溶骨破坏,可达骨干1/3以上,最后可只剩下一层薄的膨胀了的骨膜新生骨包绕着,有时此层薄壳亦可遭到破坏。肿瘤早期即可侵入软组织,形成不清晰的肿块或弥漫性肿胀。
  b骨干皮质型:其特征是骨皮质外层有不同程度的破坏,一般范围较小,有时可呈分叶状,而骨皮质内层常保持完整。软组织肿块常很大,与骨之病变不成比例。亦有成层的骨膜增生或放射状骨针形成。此型较中心型少见。
  c干骺端中心型:较少见。大部表现与骨干中心型相似,其不同点是,部位不同,在骨破坏的同时亦有骨质硬化现象。
  d干骺边缘型:亦较少见。病变偏于干骺端一侧,呈溶骨性破坏,可表现与溶骨性骨肉瘤相似。我们有一例肱骨近端以内侧为主由外向内侵入骨髓腔造成广泛骨质破坏,骨皮质大部消失,并发生病理骨折。病变上端有少量片絮状瘤骨,肿瘤周围软组织肿胀明显,酷似骨肉瘤。
sherman及soong报告骨骺也可同时受到侵犯,造成骨质破坏,称为干骺骨骺型。抗章禄(1963)曾报告一例原发于股骨骨骺的尤文氏瘤。
  4.放射治疗后的表现:在两周内给予3000~5000伦后,约一个月,即可见软组织块消退,骨膜新生骨融合,骨内破坏开始修复,通过放射治疗后,骨结构可以恢复正常。
  5.血管造影:血管造影对于诊断很有价值。90%的病灶内可显示血管增多且扩张。
  6.ct及mri:能较好地判断肿瘤的范围及侵犯软组织的情况。mri可见瘤体处广泛性骨质破坏,呈软组织肿块影;在t1加权像上呈均匀的长t1信号;在t2加权像上呈很长t2高信号。在ct上显示为源于骨组织的软组织肿块,骨质广泛破坏。
  鉴别诊断]
  主要须与急性化脓性骨髓炎、骨原发性网织细胞肉瘤、神经母细胞瘤骨转移,以及骨肉瘤相鉴别。
  ⑴急性化脓性骨髓炎:本病发病急,多伴有高热,疼痛较尤文肉瘤剧烈,化脓时常伴有跳痛,夜间痛并不加重,有些病例伴有胸部其他部位感染。早期的x线片上受累骨改变多不明显,以后于髓腔松质骨中出现斑点状稀疏破坏。在骨破坏的同时很快出现骨质增生,多有死骨出现;穿刺检查,在骨髓炎的早期即可有血性液体或脓性液体吸出,细菌培养阳性,而尤文肉瘤则否。进行脱落细胞学检查有助于诊断。骨髓炎对抗炎治疗有明显效果,尤文肉瘤对放疗极敏感。
  ⑵骨原发性网织细胞肉瘤:多发生于30~40岁 ,病程长,全身情况尚好,临床症状不重,x线表现为不规则的溶骨性破坏,有时呈溶冰状<
作者: zwz    时间: 2006-6-17 00:05
骨恶性肿瘤
作者: 晓杰    时间: 2006-6-17 00:25
骨肉瘤可能性大
作者: qian    时间: 2006-6-17 00:36
支持右股骨下端干骺中心型尤文氏肉瘤
作者: 蓝星    时间: 2006-6-17 01:04
骨肉瘤可能性
作者: 拾荒者    时间: 2006-6-17 01:11
长骨ct见的较少,该病例股骨下端表现为边缘模糊的溶骨性破坏,伴有费用性脱钙,髓腔密度增高,呈毛玻璃样改变,病变周围软组织肿胀,脂肪间隙模糊,无骨膜反应,应密切结合临床,考虑骨纤维肉瘤或慢性骨脓肿。期待结果。
作者: 影像人生    时间: 2006-6-17 02:45
硬化性骨髓炎或者慢性骨髓炎可能性大.
作者: yemin92007    时间: 2006-6-17 03:01
征象支持为恶性骨肿瘤;首先考虑尤文氏肉瘤。
作者: lkc8963    时间: 2006-6-17 04:42
此病例基本可定是恶性骨肿瘤:髓腔内长范围肿块、皮质不规则破坏、软块及软组织浸润、瘤骨及不规则骨膜反应等。可以肯定地除外炎性病变和骨纤。
结合临床还是将尤文氏肉瘤放在前面,骨肉瘤不排除。纤维肉瘤及恶纤组多见老年人,不放在首要诊断范围内。
作者: 扬仪    时间: 2006-6-19 01:56
哎!这么好的骨头啃不动!
作者: lygxpygl    时间: 2006-6-19 04:47
从年龄及ct改变上,考虑骨肉瘤改变,mr会更清楚
作者: zhou555888    时间: 2006-6-19 04:55
骨纤维肉
作者: shibing    时间: 2015-6-12 08:21
骨肉瘤可能性大




欢迎光临 医影在线 (http://bbs.radida.com/bbs/) Powered by Discuz! X3.2