医影在线
标题: CT3877:神经纤维瘤 [打印本页]
作者: sunhua666 时间: 2006-6-20 05:35
标题: CT3877:神经纤维瘤
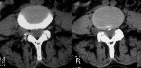
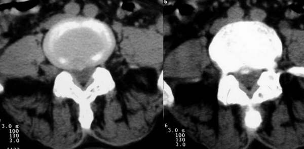
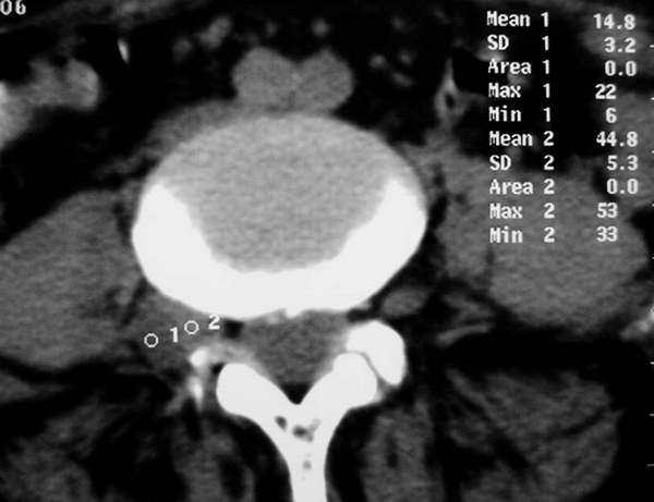
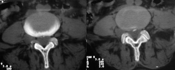
女:67岁,右下肢疼痛20余年。
行腰椎间盘扫描。





[本贴已被 jiajie 于 2006-6-19 22:01:35 修改过]
[本贴已被 翁志蓬 于 2007-1-3 22:08:36 修改过]
作者: lygxpygl 时间: 2006-6-20 05:40
椎间盘突出,不放心建议查mr,另外注意骨骼,平片应该查一下(包括骨盆)
作者: dyqct 时间: 2006-6-20 06:47
左侧神经根纤维瘤吧!
作者: lushijun 时间: 2006-6-20 14:42
支持
作者: fumaogui 时间: 2006-6-20 17:19
支持神经纤维瘤或神经鞘瘤.
作者: 卜一 时间: 2006-6-20 17:31
支持神经纤维瘤或神经鞘瘤.
作者: jone-baby 时间: 2006-6-20 17:42
神经纤维瘤.
作者: realzyc 时间: 2006-6-20 17:50
支持神经纤维瘤或是神经鞘瘤
作者: woaixct 时间: 2006-6-20 19:30
强烈建议行mri检查
作者: 同 时间: 2006-6-20 20:08
左侧神经纤维瘤或神经鞘瘤首考
作者: LWZ 时间: 2006-6-20 20:54
神经原性肿瘤。
作者: CT一生 时间: 2006-6-20 20:54
首先考虑神经鞘瘤,建议mr进一步检查!
作者: CT一生 时间: 2006-6-20 20:57
片子上标明了左和右了吗?正常的ct图像病变应该是在右侧呀!!!!
作者: winter 时间: 2006-6-20 22:23
右侧神经源性肿瘤,是神经纤维瘤还是鞘瘤不敢说,不过神经鞘瘤较多见吧。
作者: ysxyy 时间: 2006-6-20 23:26
不知你扫的是哪一个间盘?
还有一种可能也要想到:神经根鞘囊肿,也有的叫囊性神经根。
mr在此可能要明显的优于ct;
作者: 晓杰 时间: 2006-6-20 23:28
左侧神经纤维瘤
作者: yuhuaijun 时间: 2006-6-21 00:42
支持左侧神经原性肿瘤,还是应mr定性.
作者: 张长存 时间: 2006-6-21 01:19
右侧椎间孔外侧见类圆形软组织肿块边缘清与右神经根关系密切
考虑神经鞘瘤
作者: 笑笑天 时间: 2006-6-21 02:08
神经源性肿瘤与束膜囊鉴别,可能以后者可能性大,因为椎间孔未见明显扩大,好象后部有囊性密度,神经源性肿瘤囊变的以神经鞘瘤为多,不过这小的病灶囊变的不多.
作者: tsxhfsk 时间: 2006-6-21 04:07
右侧椎间孔外侧见类圆形软组织肿块边缘清与右神经根关系密切。片子上标明了左和右了吗?正常的ct图像病变应该是在右侧呀!为和这么多人考虑或支持左侧!!!! 考虑右侧神经鞘瘤
作者: tsxhfsk 时间: 2006-6-21 04:09
右侧椎间孔外侧见类圆形软组织肿块边缘清与右神经根关系密切。片子上标明了左和右了吗?正常的ct图像病变应该是在右侧呀!为和这么多人考虑或支持左侧!!!! 考虑右侧神经鞘瘤
作者: 漫步云端 时间: 2006-6-21 04:16
支持神经源性肿瘤。
作者: ssl1_1 时间: 2006-6-21 06:17
左侧神经纤维瘤
作者: 拾荒者 时间: 2006-6-21 06:46
右侧神经源性肿瘤可能 。
作者: gsjyiyr 时间: 2006-6-21 06:52
应当是右侧神经鞘瘤。至于为何一部分人诊为左侧,可能他们的ct机设置与其他有不同吧!
作者: sunhua666 时间: 2006-6-21 22:10
谢谢各位老师的精彩点评!
此患者外院手术病理为:神经纤维瘤。在外院做mri平扫+增强,至今没照到mri图像感到遗憾。如果什么时间借到片子一定照下来传给大家。
这是我第一次上传图像,感谢大家的支持!!
作者: 豫章 时间: 2006-6-22 06:38
考虑:右侧神经根鞘瘤
作者: 守望可可 时间: 2006-6-22 17:38
是个好病例,谢谢楼主
作者: liuyue 时间: 2006-6-25 00:31
第一次见这个部位长神经纤维瘤,谢谢楼主!
作者: 516429ASDF 时间: 2008-3-8 02:01
神经纤维瘤与鞘瘤怎样区别??
作者: tao772 时间: 2008-3-8 02:20
考虑神经原性肿瘤。
作者: 540180845 时间: 2008-3-8 03:01
支持神经纤维瘤或是神经鞘瘤
作者: 吴医师 时间: 2010-3-10 18:19
谢谢 学习了
作者: dhlyq 时间: 2010-3-10 18:29
谢谢 学习了
| 欢迎光临 医影在线 (http://bbs.radida.com/bbs/) |
Powered by Discuz! X3.2 |