医影在线
标题: CT3891:[原创]颅脑 [打印本页]
作者: lanhai 时间: 2006-6-22 04:13
标题: CT3891:[原创]颅脑
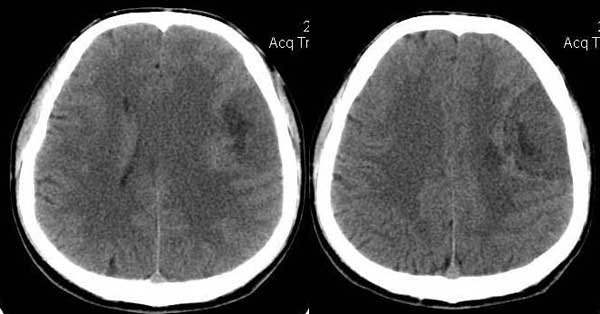
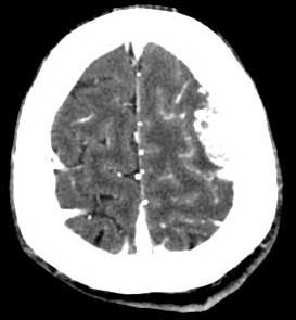
男,35岁。言语不清10余天,口角歪斜。









[本贴已被 jiajie 于 2006-6-21 22:00:34 修改过]
作者: 漫步云端 时间: 2006-6-22 04:16
白质塌陷,病灶来自脑外,考虑:脑膜瘤
作者: 陈国会 时间: 2006-6-22 04:33
我觉得恶性肿瘤的可能性大
作者: wywly 时间: 2006-6-22 04:35
脑外病变,1、血管畸形;2、脑膜瘤,3、右侧放射冠腔梗灶
作者: 乐四方 时间: 2006-6-22 04:37
同意楼主意见
作者: xiaoniu 时间: 2006-6-22 04:38
标题: [讨论]
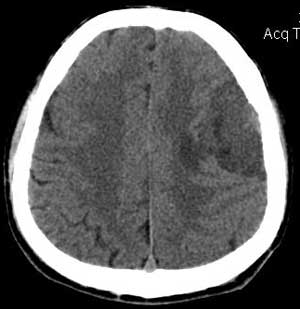
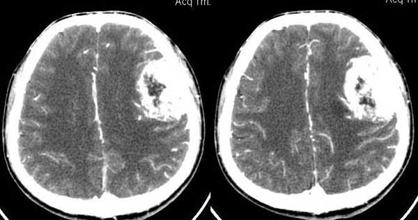
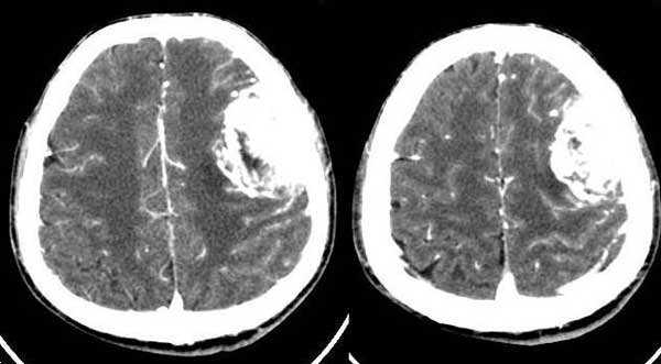
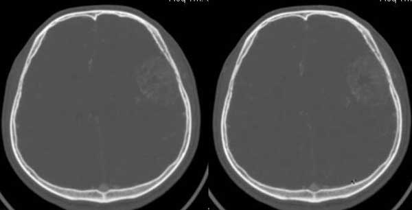
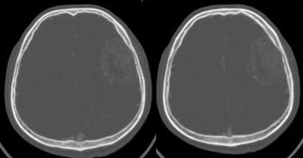
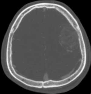
左颞部稍低密度d形肿块影阴,密度不均,内有不规则囊变区,局部脑白质受压塌陷,肿块周围少许水肿带,中线轻度右移位,增强扫描明显强化,局部颅板有轻微侵蚀,如此大的肿块中线结构移位不明显说明肿块位于脑外,如此强化的脑外肿瘤只有一个------脑膜瘤
[本贴已被 xiaoniu 于 2006-6-21 20:46:56 修改过]
作者: sdllxu 时间: 2006-6-22 04:54
标题: 回复:[原创]颅脑
以下是引用xiaoniu在2006-6-21 20:38:00的发言:[br]左颞部稍低密度d形肿块影阴,密度不均,内有不规则囊变区,局部脑白质受压塌陷,肿块周围少许水肿带,中线轻度右移位,增强扫描明显强化,局部颅板有轻微侵蚀,如此大的肿块中线结构移位不明显说明肿块位于脑外,如此强化的脑外肿瘤只有一个------脑膜瘤[br][br][本贴已被 xiaoniu 于 2006-6-21 20:46:56 修改过]
作者: robtter 时间: 2006-6-22 05:23
脑膜瘤!!!
作者: 同 时间: 2006-6-22 05:30
支持脑膜瘤诊断
作者: yiyingren 时间: 2006-6-22 05:36
脑膜瘤,我认为
作者: dyqct 时间: 2006-6-22 05:40
不典型脑膜瘤。
作者: qinwei260 时间: 2006-6-22 05:51
支持脑膜瘤!
作者: 碧波荡漾 时间: 2006-6-22 06:02
混杂密度影,白质挤压内陷,显著强化并临近颅板轻度反应考虑脑多为膜瘤
作者: 我爱影像 时间: 2006-6-22 06:07
支持脑膜瘤诊断
作者: drzhang8888 时间: 2006-6-22 06:14
支持
作者: huangxun4321 时间: 2006-6-22 07:01
脑膜瘤
作者: 拾荒者 时间: 2006-6-22 07:11
支持不典型脑膜瘤诊断。不过强化特点及局部颅骨改变不能排除海绵状血管瘤。期待结果。
作者: qian 时间: 2006-6-22 14:41
还是脑膜瘤比较像。
作者: cyr188 时间: 2006-6-22 14:47
支持脑膜瘤的诊断。
作者: 刀客づ七少 时间: 2006-6-22 16:52
支持脑膜瘤
作者: kjgj 时间: 2006-6-22 17:14
支持脑膜瘤诊断
作者: hejie 时间: 2006-6-22 17:18
恶性脑膜瘤
作者: 中山医 时间: 2006-6-22 18:32
标题: 回复:ct3891:[原创]颅脑
以下是引用碧波荡漾在2006-6-21 22:02:00的发言:[br]混杂密度影,白质挤压内陷,显著强化并临近颅板轻度反应考虑脑多为膜瘤
作者: jone-baby 时间: 2006-6-22 19:10
脑膜瘤.
作者: LWZ 时间: 2006-6-22 19:36
左颞区脑膜瘤,主要压迫颞叶。
作者: 小明 时间: 2006-6-22 19:42
支持6楼的意见,考虑脑膜瘤。
作者: ltmao 时间: 2006-6-22 21:45
由图可见,左侧颞部有占位病变,使的中线受压移位。局部脑白质受压塌陷,可考滤是肿瘤。再跟具发病部位,我觉得恶性肿瘤的可能性大 。
作者: 为影像狂 时间: 2006-6-22 22:10
与颅骨广基相连,不均匀强化,脑白质受压,考虑脑外肿瘤,脑膜瘤。
作者: lygxpygl 时间: 2006-6-22 22:13
考虑侵袭性脑膜瘤
作者: fumaogui 时间: 2006-6-22 22:24
平扫呈低密度,与颅内板接触广泛,脑皮层受压内移,增强明显强化,内示不规则的坏死区,周围脑实质内未见明显水肿.
脑膜瘤.
作者: chen1dong 时间: 2006-6-22 22:33
定位:脑灰白质界面内移,肿瘤位于脑外,应该明确。
定性:支持脑膜瘤。
作者: liuwensheng_doc 时间: 2006-6-22 23:21
皮质塌陷,增强比较明显,有一定的占位效应,脑内水肿不显著,脑外病变可肯定,考虑脑膜瘤,但平扫密度较低,颅骨改变也不明显,确实应排除一下脑血管病.
作者: 徐丰林 时间: 2006-6-22 23:44
来源于脑外,脑膜瘤可能行大
作者: 守望可可 时间: 2006-6-23 00:31
本例我首先考虑脑膜瘤,但其具有形态不规则、密度不均匀、有明显的坏死液化、没有完整和明显的包膜、且呈明显不均匀性强化等诸多恶性特点,应该首先考虑恶性脑膜瘤(但颅骨只有轻微受压而没有明显的受浸润破坏现象也不太支持)。
还有不支持的地方,比如那么大地肿瘤而瘤周水肿不明显。所以,我第2考虑海绵状血管瘤。建议mri检查。
附:海绵状血管瘤(cavernous angioma,ca)又称海绵状血管畸形(cavernous malformation),可分为脑内(intracerebral)型和脑外(extracerebral)型。
ct对脑内ca诊断的敏感性和特异性较好,平扫时表现为边界清楚的结节状病灶,呈不均匀的高密度或混杂密度,由于病灶常合并出血,故ct表现依据出血后时间的不同呈多样性。高密度的出血可以掩盖肿瘤本身,注射造影剂后不增强或轻中度增强。典型表现为不均匀的斑点状增强,灶周水肿一般不明显。而对于脑外的ca,ct诊断的敏感性较好,特异性差。病变多表现为类圆形或哑铃型,边界清楚,呈等或高密度。位于颅中窝及侵犯海绵窦时,蝶鞍、岩尖及颅底骨质可以有破坏,极少出现增生性改变。增强后可以均匀强化,在ct上往往与脑膜瘤或神经鞘瘤难以鉴别。
作者: jiangjing 时间: 2006-6-23 00:38
皮质塌陷,增强比较明显,有一定的占位效应,脑内轻度水肿,脑外病变可肯定,考虑脑膜瘤,颅骨内板见局限侵袭改变,警惕恶变
作者: 晓杰 时间: 2006-6-23 00:41
左侧颞顶叶见d形肿块灶,密度不均,其内可见低密度影,局部脑白质所压移位,病灶明显强化。支持脑膜瘤
作者: d5d6x7111 时间: 2006-6-23 05:00
脑膜瘤!!!
作者: chry3 时间: 2006-6-23 05:21
支持脑膜瘤
作者: wangzhanshuang 时间: 2006-6-23 05:34
支持脑膜瘤诊断
作者: wsg 时间: 2006-6-23 06:59
支持脑膜瘤!
作者: 卜一 时间: 2006-6-23 16:41
以下是引用xiaoniu在2006-6-21 20:38:00的发言:
左颞部稍低密度d形肿块影阴,密度不均,内有不规则囊变区,局部脑白质受压塌陷,肿块周围少许水肿带,中线轻度右移位,增强扫描明显强化,局部颅板有轻微侵蚀,如此大的肿块中线结构移位不明显说明肿块位于脑外,如此强化的脑外肿瘤只有一个------脑膜瘤
作者: 501959462 时间: 2006-6-24 03:53
大家好,我想问问脑膜瘤在平片上有等密度也的稍高密度影,不知低密度是不是在平片上的典型表现?脑膜瘤增强后应均匀强化,但是此病人增强后其中心有不规则坏死,而且边缘不是很光滑,周围也没有明显的低密度水肿影,所以,我不能完全说它是脑膜瘤。请专家们多多指教行吗?等你们的答复哟!
作者: xiaoniu 时间: 2006-6-25 05:17
标题: 回复:ct3891:[原创]颅脑
以下是引用501959462在2006-6-23 19:53:00的发言:[br]大家好,我想问问脑膜瘤在平片上有等密度也的稍高密度影,不知低密度是不是在平片上的典型表现?脑膜瘤增强后应均匀强化,但是此病人增强后其中心有不规则坏死,而且边缘不是很光滑,周围也没有明显的低密度水肿影,所以,我不能完全说它是脑膜瘤。请专家们多多指教行吗?等你们的答复哟!
1严格的统计脑膜瘤平扫应该是等密度肿块最多见,如果等密度肿块内有钙化就更特征了。
2脑膜瘤应该是均匀强化,但是较大的肿瘤中心坏死也不鲜见,尤其象有些战友提到脑膜瘤恶变的情况。
3脑膜瘤边缘一般是较光滑的。
4脑膜瘤周围低密度水肿影形成机制很多,但最多见是肿块压迫回流静脉导致水肿,其实脑膜瘤周围脑实质水肿并不少见。请点阅:
http://www.radida.com/radinet/read.php?tid=4836
http://www.radida.com/radinet/read.php?tid=8441
http://www.radida.com/radinet/read.php?tid=9554
http://www.radida.com/radinet/read.php?tid=10935
http://www.radida.com/radinet/read.php?tid=12135
http://www.radida.com/radinet/read.php?tid=12203
[本贴已被 xiaoniu 于 2006-6-24 21:36:44 修改过]
作者: 博览 时间: 2006-6-25 10:30
标题: 回复
支持脑膜瘤的地方:强化明显,水肿轻,中线移位不明显(但颅顶层面有大脑镰限制也不好说),相应脑灰质受压内移。
不支持脑膜瘤的地方:每个层面肿块与颅骨内板几乎都呈锐角,相邻颅骨无明显骨质改变。
我还是考虑左侧额顶叶胶质瘤。
惶恐!!![emb14][emb14][emb14]
[本贴已被 博览 于 2006-6-25 2:40:32 修改过]
作者: shibing 时间: 2015-6-12 10:10
脑膜瘤
| 欢迎光临 医影在线 (http://bbs.radida.com/bbs/) |
Powered by Discuz! X3.2 |