医影在线
标题: X0813:[讨论]16岁,男,胸部DR [打印本页]
作者: 如履薄冰 时间: 2006-6-22 04:44
标题: X0813:[讨论]16岁,男,胸部DR


[本贴已被 jiajie 于 2006-6-22 6:57:40 修改过]
补充病史及几张ct片
[本贴已被 如履薄冰 于 2006-6-24 11:17:30 修改过]
多张气胸片一直发不上去
[本贴已被 如履薄冰 于 2006-6-24 11:22:15 修改过]
dr及ct终于发上去了
[本贴已被 如履薄冰 于 2006-6-24 11:40:32 修改过]
作者: 如履薄冰 时间: 2006-6-22 04:48
为什么不能上传图片?
作者: 如履薄冰 时间: 2006-6-22 05:04
标题: 回复:[讨论]16岁,男,胸部dr


作者: 如履薄冰 时间: 2006-6-22 05:08
唉,换成bmp图像太不满意
作者: dyqct 时间: 2006-6-22 05:41
图像太小,不宜看。
作者: lkc8963 时间: 2006-6-22 05:50
标题: 回复:[讨论]16岁,男,胸部dr

作者: sdqzwyx 时间: 2006-6-22 06:16
能否提供病人临床病史?外伤?慢性支气管炎?有没有反复感染?
作者: kjgj 时间: 2006-6-22 16:42
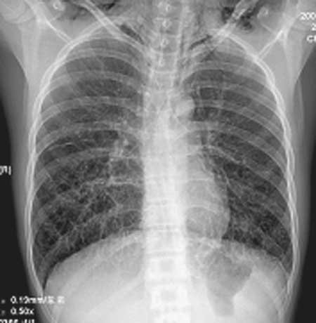
x:双肺中下野多发囊状卷发状影,壁模糊,无液平,双肺纹理强,-------印象:先天支扩并感染.
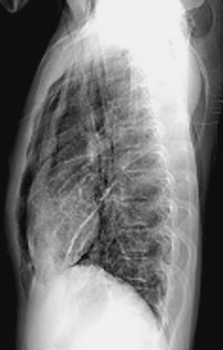
侧位胸廓前后径明显变小,心脏狭长.-------------扁平胸?--------需结合临床.
颈肩部皮下软组织低密度影,-----------考虑软组织重叠影,不排除皮下气肿,-----请提供病史.
作者: zhangkening 时间: 2006-6-22 19:25
先天支扩、好象有纵隔气肿、扁胸综合症
作者: jiangjing 时间: 2006-6-22 23:09
双肺纹理粗乱,双下肺见网囊小点结影,膈肌低位,颈部见皮下气肿征,侧位可疑纵隔气肿。男性,16岁,无相关病史可考虑1间质性肺炎。2慢支炎或支气管哮喘。3支扩及其他待排请提供病史
作者: ximen212 时间: 2006-6-22 23:16
支气管扩张
作者: 师医生 时间: 2006-6-23 02:19
标题: 1
颈部皮下气肿,具体病史不祥,肺部考虑肺泡微石证,呵呵,猜一个

[本贴已被 jiajie 于 2006-6-23 5:57:39 修改过]
作者: lygxpygl 时间: 2006-6-23 03:47
正位片摄片方式不对,肩胛骨未拉出,但从片上看就是两下肺透光度增强,考虑支扩可能性较大,侧位片不正,纵隔前缘考虑对侧胸廓影,因为两片放大率不知怎样,就从片子上看有直背综合征表现。
作者: chry3 时间: 2006-6-23 04:41
是否有外伤史,双下肺的支扩肯定,颈部皮下及纵隔积气,原因待查
作者: wjx5000 时间: 2006-6-23 05:01
没有病史!一般考虑先天性的
作者: zhw974247 时间: 2006-6-23 18:30
标题: 回复:x0813:[讨论]16岁,男,胸部dr
以下是引用jiangjing在2006-6-22 15:09:00的发言:[br]双肺纹理粗乱,双下肺见网囊小点结影,膈肌低位,颈部见皮下气肿征,侧位可疑纵隔气肿。男性,16岁,无相关病史可考虑1.麻疹肺炎。2慢支炎或支气管哮喘。3支扩及其他待排请提供病史
作者: ☆芝麻糖☆ 时间: 2006-6-23 18:49
以下是引用jiangjing在2006-6-22 15:09:00的发言:
双肺纹理粗乱,双下肺见网囊小点结影,膈肌低位,颈部见皮下气肿征,侧位可疑纵隔气肿。男性,16岁,无相关病史可考虑1.麻疹肺炎。2慢支炎或支气管哮喘。3支扩及其他待排请提供病史
再猜一个---矽肺
作者: yuanhang_2006 时间: 2006-6-24 04:44
皮下气肿是怎么来的呢?请各位想一个途径
作者: jiangjing 时间: 2006-6-24 04:50
补充----皮下气肿来源可考虑1肺部病变剧烈咳嗽所致。2外伤。
作者: 永远求知者 时间: 2006-6-24 07:26
两肺纹理增多呈网络状,肺透亮度增强,于纵隔、胸骨后似见气体。不知病使,暂考虑间质性肺炎,纵隔气肿可疑。
作者: zq921129 时间: 2006-6-24 08:10
病史不明确,考虑间质性病变可能。纵隔气肿????
作者: 如履薄冰 时间: 2006-6-24 18:33
标题: 回复:x0813:[讨论]16岁,男,胸部dr
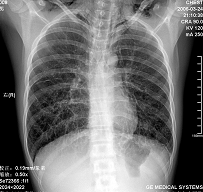
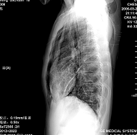
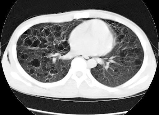
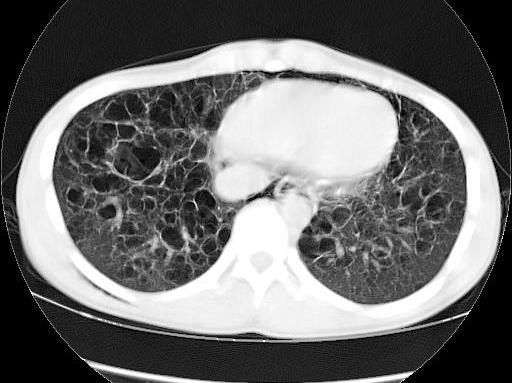
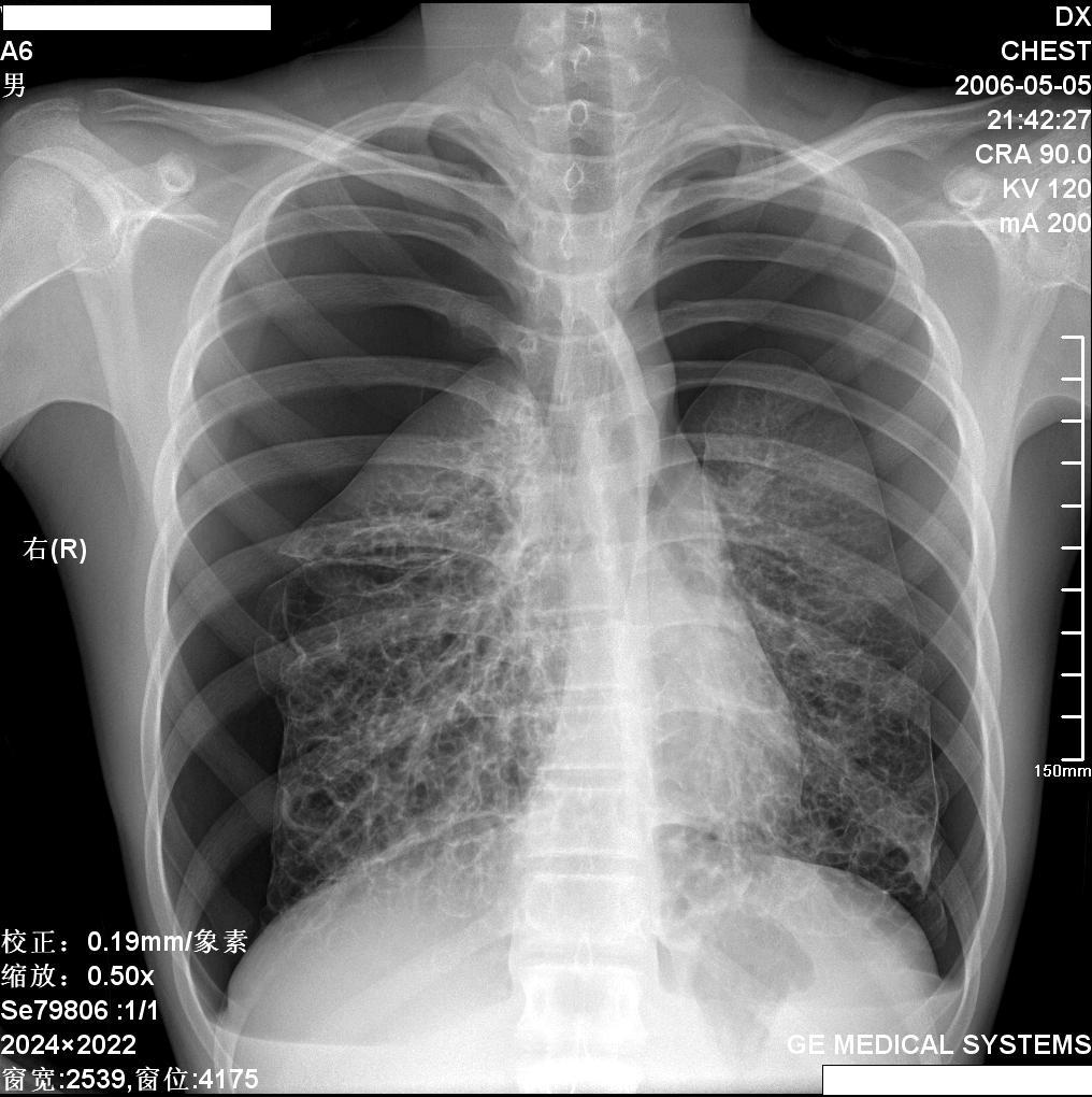
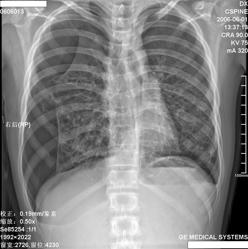
王某某,男,16岁,既往无经常咳嗽、咳痰、胸闷、发热史,活动与同龄儿童相似,三月前突感胸、颈前痛、无喘憋,查体胸骨上皮下气肿,双肺呼吸音对称。胸部dr及ct示纵隔气肿,双肺囊肿。近两月反复出现胸痛、喘憋,无发热、黄痰及痰血,呼吸音减低,胸部dr示双侧自发性(张力性)气胸,胸腔闭式引流治愈。频繁发作,左侧引流两次,右侧引流三次。
讨论:
1.诊断考虑先天性肺囊肿(囊性肺),自发性、张力性气胸,鉴别支气管扩张,先天性囊性腺瘤样畸形等
2.虽然闭式引流治愈,但复发频繁,如行胸腔镜胸膜摩擦或四环素粉、滑石粉是否可行?可能减少复发频度及压缩程度,但是否会影响后续治疗?如肺移植?
3.如需要作肺移植,哪些医院开展的成熟些?费用要多少?
4.还需要作哪些检查?有何治疗高招?
期待你的回复,谢谢!
附部分dr片,ct片稍后发
作者: 如履薄冰 时间: 2006-6-24 18:44
标题: 回复:x0813:[讨论]16岁,男,胸部dr
为什么还是不能上传?郁闷
作者: 如履薄冰 时间: 2006-6-24 19:03
标题: 回复:x0813:[讨论]16岁,男,胸部dr


作者: 如履薄冰 时间: 2006-6-24 19:08
气胸dr片不到150k为什么不能上传?jpeg格式?
作者: 如履薄冰 时间: 2006-6-24 19:14
标题: 回复:x0813:[讨论]16岁,男,胸部dr
以下是引用lkc8963在2006-6-21 21:50:00的发言:[br]
[br]
还有多张气胸dr片为什么发不了?
作者: 如履薄冰 时间: 2006-6-24 19:35
标题: 回复:x0813:[讨论]16岁,男,胸部dr


终于传上去了,差点急死
作者: liuyue 时间: 2006-6-24 22:59
从上述x线片、ct片看,先考虑先天性肺囊肿(囊性肺),伴气胸、纵隔积气、皮下积气;先天性囊性腺瘤样畸形,一般中叶很少累及.
作者: 紫贝壳 时间: 2006-6-25 04:07
6.21这张是治疗后的吗?
作者: 一如我在 时间: 2006-6-25 06:01
标题: 回复:x0813:[讨论]16岁,男,胸部dr
以下是引用kjgj在2006-6-22 8:42:00的发言:[br]x:双肺中下野多发囊状卷发状影,壁模糊,无液平,双肺纹理强,-------印象:先天支扩并感染.[br][br] 侧位胸廓前后径明显变小,心脏狭长.-------------扁平胸?--------需结合临床.[br][br] 颈肩部皮下软组织低密度影,-----------考虑软组织重叠影,不排除皮下气肿,-----请提供病史.
作者: jinguoji 时间: 2006-11-14 22:24
ha,xue xi le !
作者: real520 时间: 2006-11-15 02:17
又长见识了
先考虑先天性肺囊肿(囊性肺),伴气胸、纵隔积气、皮下积气,胸水.先天性囊性腺瘤样畸形
作者: shibing 时间: 2012-10-5 14:31
先考虑先天性肺囊肿(囊性肺),伴气胸、纵隔积气、皮下积气,胸水.先天性囊性腺瘤样畸形
| 欢迎光临 医影在线 (http://bbs.radida.com/bbs/) |
Powered by Discuz! X3.2 |