医影在线

标题: CT3893:[原创]胸部病变 [打印本页]

作者: fumaogui    时间: 2006-6-23 00:12
标题: CT3893:[原创]胸部病变
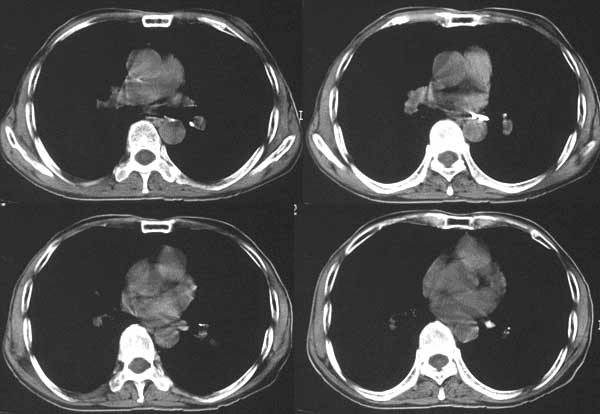
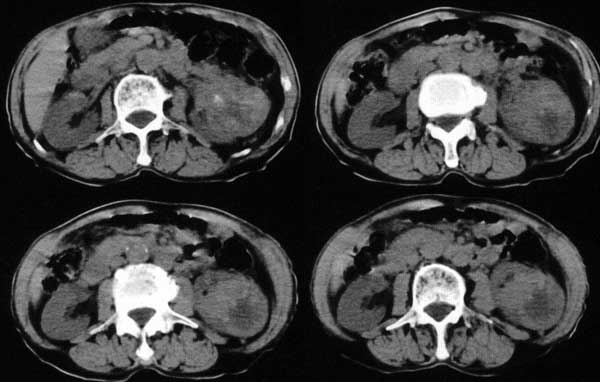
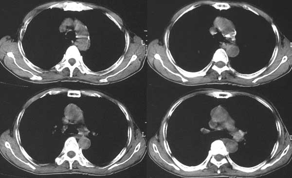
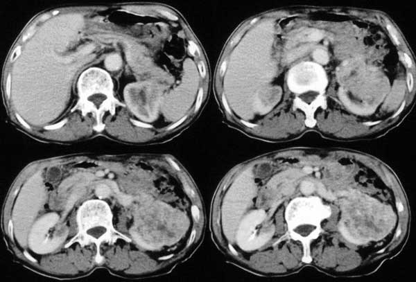
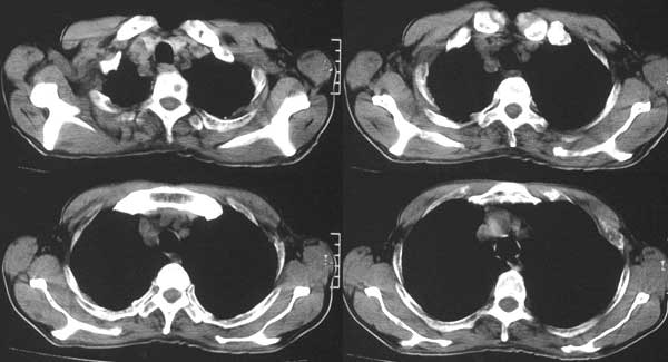
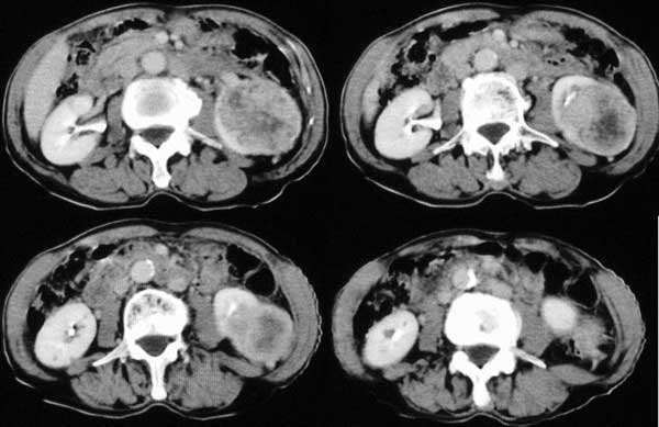
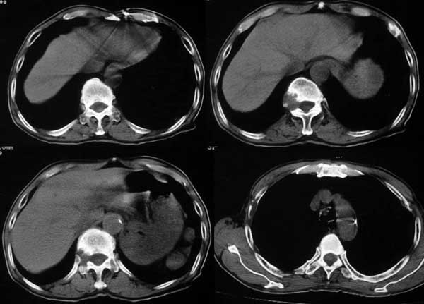
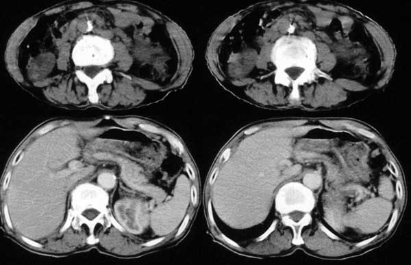
患者,男79岁,左侧肾癌术后5个月。近三个月,咳嗽时有痰中带血。












附肾脏平扫及增强片







[本贴已被 jiajie 于 2006-6-22 16:59:56 修改过]

作者: fumaogui    时间: 2006-6-23 00:29
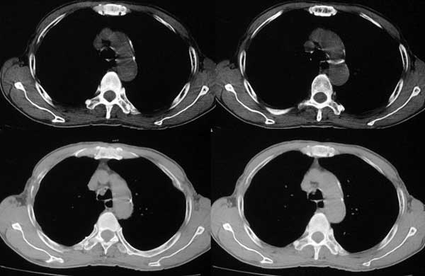
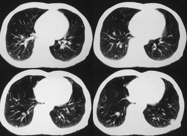
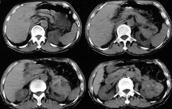
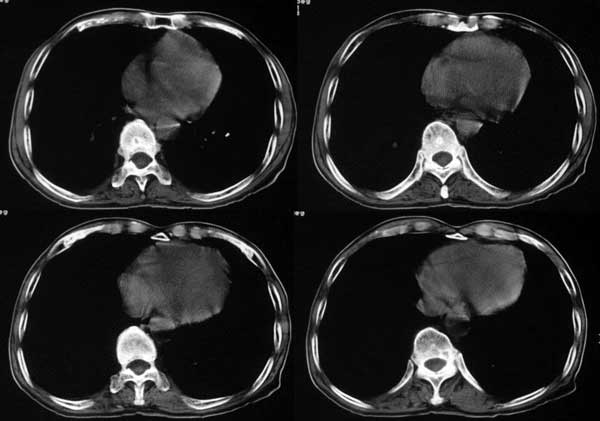
本例病人肺内多发结节灶、双侧肋骨破坏、胸椎椎体及椎弓破坏应是肾癌转移。请大家分析气管内结节灶性质?另外还得麻烦领导给删掉那多余的那幅图。谢谢了!
作者: 晓杰    时间: 2006-6-23 00:32
双肺多发结节状影,腹膜后见肿大淋巴结,支持肾ca转移
作者: 刀客づ七少    时间: 2006-6-23 00:46
支持肺内 肋骨 椎体转移。
作者: jiajie    时间: 2006-6-23 01:06
气管内结节灶性质会不会是粘痰核?
作者: wsg    时间: 2006-6-23 01:26
支持肺内,椎体,肋骨,腹膜后淋巴转移.
作者: cyr188    时间: 2006-6-23 01:29
支持左肾癌转移。
作者: ztwfy    时间: 2006-6-23 01:35
气管内结节灶性质是粘痰核?因为纵隔窗看不见
作者: qizg200510    时间: 2006-6-23 02:35
支持3楼及8楼,
来自基层,向各位同道老师学习!
作者: chenqiong    时间: 2006-6-23 03:09
支持粘痰核的诊断
作者: slc0002slc    时间: 2006-6-23 03:40
双肺多发结节状影,腹膜后见肿大淋巴结,支持肾ca转移
气管内结节灶性质:粘痰核可能性大.
作者: 陈正林    时间: 2006-6-23 03:41
肾癌转移
作者: winter    时间: 2006-6-23 03:57
手术是怎么做的,好像没做。右肾还有两个病灶。气管腔内的那个结节密度确实很低,考虑粘痰核应该没问题,若是新生物不会这么低。不过挂在前壁上了,少见!
    我一直想问各位同行霉菌球可不可以长在气管腔内?
作者: 拾荒者    时间: 2006-6-23 04:04
肺及胸膜下多发结节影,胸椎及附件、肋骨破坏支持转移癌。气管内结节影支持痰核。肾脏ct应该是术前的吧?左肾内亦见一低密度灶,另外胰腺好像也不规则。不知术后结果如何?
作者: sbb    时间: 2006-6-23 04:32
肾ca转移
作者: 同    时间: 2006-6-23 04:38
支持肺内,椎骨,肋骨,腹膜后淋巴结转移
作者: chry3    时间: 2006-6-23 05:13
双肺内多发结节影是转移灶没问题,气管内的还应该商榷
作者: jiangjing    时间: 2006-6-23 05:22
左侧肾癌,腹膜后淋巴转移,肺及胸椎转移,右肾转移可能,气管内痰栓可能[壁可见]
作者: dyqct    时间: 2006-6-23 05:27
1、支持肺内 肋骨 椎体转移。
2、气管内粘痰核可能性大。
作者: lygxpygl    时间: 2006-6-23 05:36
肾癌多发转移
作者: wangzhanshuang    时间: 2006-6-23 05:39
双肺多发结节状影,腹膜后见肿大淋巴结,支持肾ca转移
作者: qian    时间: 2006-6-23 16:39
左侧肾癌伴腹膜后淋巴结、胸椎、双肺内转移。
作者: 卜一    时间: 2006-6-23 17:08
肺内 肋骨 椎体转移已确定,气管内阴影不象结节,气管内壁无增生,显示层面只有一层,纵隔窗见不到,多考虑粘痰核.
作者: guoke    时间: 2006-6-23 18:35
支持肾癌,伴转移.气管内占位,做俯卧位扫描即可明确.
作者: jone-baby    时间: 2006-6-23 19:11
肾癌.双肺,胸椎及肋骨转移.
作者: yang123456    时间: 2006-6-23 20:25
支持肾癌转移
作者: 501959462    时间: 2006-6-24 03:38
支持肺内,椎体,肋骨,腹膜后淋巴转移.
作者: ssl1_1    时间: 2006-6-24 04:42
左肾癌转移。
作者: shibing    时间: 2015-6-12 10:09
支持粘痰核的诊断




欢迎光临 医影在线 (http://bbs.radida.com/bbs/) Powered by Discuz! X3.2