医影在线

标题: CT3894:小儿 男 1岁 请指教 [打印本页]

作者: milaoshu    时间: 2006-6-23 03:12
标题: CT3894:小儿 男 1岁 请指教
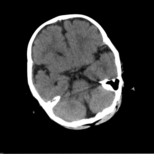
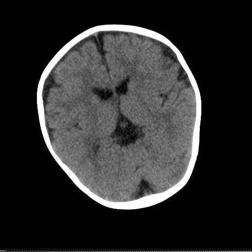
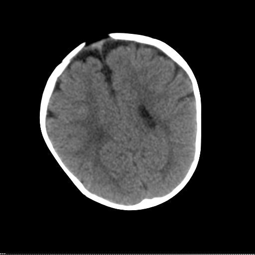
患儿 1岁 不能站立 出牙迟缓。反应尚可,临床怀疑脑发育不良。请各位专家指教。














[本贴已被 jiajie 于 2006-6-23 5:52:50 修改过]

作者: slc0002slc    时间: 2006-6-23 03:32
无明显异常.
(骨板下间隙较大,1.5岁以下不能算异常吧!)
作者: winter    时间: 2006-6-23 03:39
ct看没什么异常吧,事关重大还是建议mr吧。
作者: 一棵树    时间: 2006-6-23 05:08
经常看到,但没有理论依据,期待结果。
作者: lygxpygl    时间: 2006-6-23 05:20
先天性脑白质发育不良,mri明显
作者: wangzhanshuang    时间: 2006-6-23 05:27
怎么感觉额颞部脑回增多,皮质增厚,髓质少呢
多脑回畸形?
作者: dyqct    时间: 2006-6-23 05:30
白质区相对少,可疑脑白质发育不良,建议做mri进一步检查。
作者: 李世军    时间: 2006-6-23 05:33
考虑
硬膜下水瘤,生产时有蛛网膜下出血?
作者: guzhongliangddd    时间: 2006-6-23 06:59
我认为是正常,但楼主出诊断意见报告时可以写得活点{我认为是没有办法的办法,仅供参考!}
作者: qian    时间: 2006-6-23 16:33
双侧额叶、颞叶珠网膜下腔、外侧裂池、前纵裂池均增宽,我认为这是较典型的外周性脑积水,大部分患儿到三周岁后能自愈。
作者: 卜一    时间: 2006-6-23 17:54
我觉得正常.
作者: milaoshu    时间: 2006-6-23 18:21
小脑蚓部有没有问题?
作者: zhuming943066    时间: 2006-6-23 19:01
让我报的话,我会报发育迟缓,水平有限啊
作者: jone-baby    时间: 2006-6-23 19:05
未见明显异常吧.
作者: fumaogui    时间: 2006-6-23 19:21
说不出什么异常.
作者: woaixct    时间: 2006-6-23 20:25
沟裂较宽,脑回较粗,白质区减少,定期复查ct片或mri。
作者: 笑笑天    时间: 2006-6-23 20:58
标题: 回复:ct3894:小儿 男 1岁 请指教
以下是引用dyqct在2006-6-22 21:30:00的发言:[br]白质区相对少,可疑脑白质发育不良,建议做mri进一步检查。

作者: lisihao    时间: 2006-6-23 21:29
应该是外部性脑积水,询问出生时是否有窒息病史,有无颅内感染,外伤等
作者: 中山医    时间: 2006-6-23 22:49
标题: 回复:ct3894:小儿 男 1岁 请指教
以下是引用lygxpygl在2006-6-22 21:20:00的发言:[br]先天性脑白质发育不良,mri明显

作者: 逸风    时间: 2006-6-23 23:39
标题: 回复:ct3894:小儿 男 1岁 请指教
以下是引用winter在2006-6-22 19:39:00的发言:[br]ct看没什么异常吧,事关重大还是建议mr吧。

如果非要找个异常,我觉得双侧脑室体部间距有些宽,建议mr检查.
作者: 501959462    时间: 2006-6-24 02:36
我也考虑为脑白质发育不良
作者: chenqiong    时间: 2006-6-24 03:00
脑白质发育不良
作者: LWZ    时间: 2006-6-24 04:53
未见异常。
作者: realzyc    时间: 2006-6-24 20:33
双侧额叶、颞叶珠网膜下腔、外侧裂池、前纵裂池均增宽,我认为这是较典型的外周性脑积水,大部分患儿到三周岁后能自愈。
作者: 余辉    时间: 2006-6-25 02:40
对于一个一岁的小儿来说脑沟裂那么宽难道不是异常吗
作者: shibing    时间: 2015-6-12 10:09
外周性脑积水




欢迎光临 医影在线 (http://bbs.radida.com/bbs/) Powered by Discuz! X3.2