医影在线
标题: CT3895:[原创]CT左侧甲状腺病变 [打印本页]
作者: 同 时间: 2006-6-23 04:31
标题: CT3895:[原创]CT左侧甲状腺病变
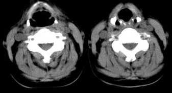
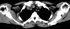
女 48岁 无意中发现左侧颈部肿块












[本贴已被 jiajie 于 2006-6-23 5:55:20 修改过]
作者: jiangjing 时间: 2006-6-23 05:06
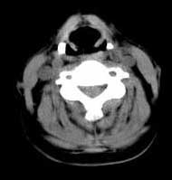
甲状腺左侧叶下部结节状低密影,边界较清晰,考虑甲状腺肿瘤[腺瘤可能性大,恶性待排]
作者: 一棵树 时间: 2006-6-23 05:22
甲状腺疾病良恶性有重叠的,不好下结论,只能说结节性病变、弥漫性病变、局灶性病变(在没有其它佐证的情况下)。
作者: lygxpygl 时间: 2006-6-23 05:22
考虑左侧甲状腺囊腺瘤可能大,建议mr检查
作者: 刀客づ七少 时间: 2006-6-23 05:28
考虑甲壮腺腺瘤
作者: dyqct 时间: 2006-6-23 05:31
标题: 回复:[原创]ct左侧甲状腺病变
以下是引用jiangjing在2006-6-22 21:06:00的发言:[br]甲状腺左侧叶下部结节状低密影,边界较清晰,考虑甲状腺肿瘤[腺瘤可能性大,恶性待排]
作者: 拾荒者 时间: 2006-6-23 05:33
标题: 回复:[原创]ct左侧甲状腺病变
以下是引用jiangjing在2006-6-22 21:06:00的发言:[br]甲状腺左侧叶下部结节状低密影,边界较清晰,考虑甲状腺肿瘤[腺瘤可能性大,恶性待排]
作者: 李世军 时间: 2006-6-23 05:36
以下是引用jiangjing在2006-6-22 21:06:00的发言:
甲状腺左侧叶下部结节状低密影,边界较清晰,考虑甲状腺肿瘤[腺瘤可能性大,恶性待排]
作者: guzhongliangddd 时间: 2006-6-23 06:49
标题: 回复:[原创]ct左侧甲状腺病变
以下是引用一棵树在2006-6-22 21:22:00的发言:[br]甲状腺疾病良恶性有重叠的,不好下结论,只能说结节性病变、弥漫性病变、局灶性病变(在没有其它佐证的情况下)。
最好行mri和结合其它实验室检查!
[本贴已被 guzhongliangddd 于 2006-6-22 22:50:34 修改过]
作者: 漫步云端 时间: 2006-6-23 07:04
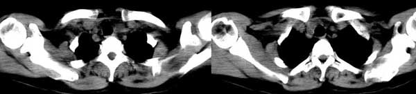
图片太小,好象双侧都有,肿瘤双侧还是少见,支持甲状腺肿(囊变)
作者: lzt 时间: 2006-6-23 07:10
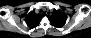
甲状腺左叶低密度病灶,边界尚清楚,邻近气管、血管、肌肉无明显侵润;考虑良性病灶,以甲状腺腺瘤可能大。
作者: 逸风 时间: 2006-6-23 07:48
标题: 回复:[原创]ct左侧甲状腺病变
左侧甲状腺下极可见类圆形结节样低密度病灶,边缘清晰,未见明显周围组织受侵,颈部未见明确淋巴结肿大;右侧甲状腺形态密度未见异常。
诊断意见:左侧甲状腺结节样病灶,多考虑甲状腺腺瘤。建议ect检查。
作者: qian 时间: 2006-6-23 16:27
甲状腺腺瘤可能性大。
作者: 卜一 时间: 2006-6-23 17:59
甲状腺左侧叶下部结节状低密影,边界较清晰,考虑甲状腺肿瘤[腺瘤可能性大,恶性待排]
作者: 晓杰 时间: 2006-6-23 21:54
甲状腺左侧叶下部结节状低密影,边界较清晰,考虑甲状腺肿
作者: ssl1_1 时间: 2006-6-24 04:19
左侧甲状腺囊腺瘤
作者: LWZ 时间: 2006-6-24 04:50
见双侧结节,边清。1甲状腺肿,2腺瘤。
作者: 陈一文 时间: 2006-6-24 16:49
双侧甲状腺弥漫性密度减低,左侧可见低密度结节边界清晰,周围软组织未见异常,考虑双侧结节性甲状腺肿
作者: tsxhfsk 时间: 2006-6-24 16:53
甲状腺左侧叶下部结节状低密影,边界较清晰,考虑甲状腺肿瘤[腺瘤可能性大,恶性待排]
作者: shibing 时间: 2015-6-12 10:08
甲状腺肿(囊变)
| 欢迎光临 医影在线 (http://bbs.radida.com/bbs/) |
Powered by Discuz! X3.2 |