











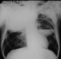
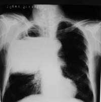
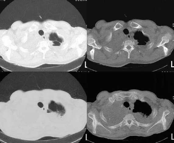
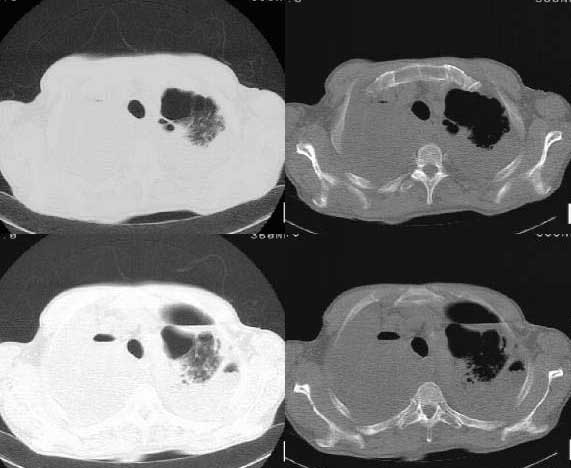
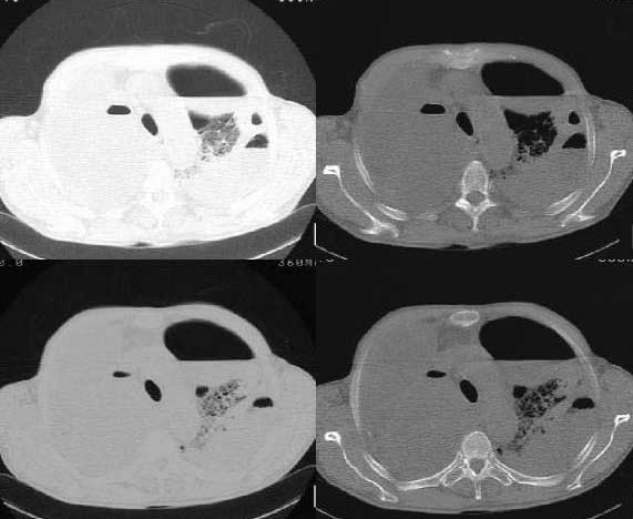
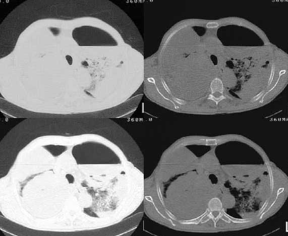
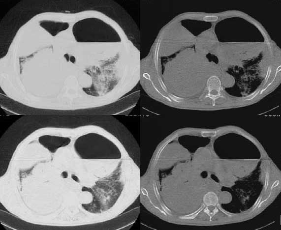
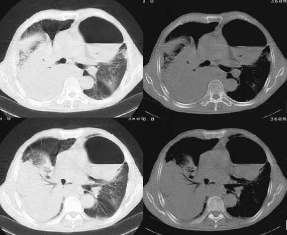
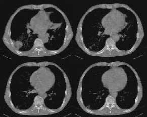
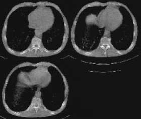
以下是引用woaixct在2006-6-23 12:15:00的发言:[br]第一张胸片示:右肺上叶为大片致密影占据,左肺上见大片致影及空洞性病灶并有液平;[br]第二张胸片示:左肺上叶致密影及空洞性病灶基本吸收,而右肺上叶之病灶有少许吸收改变;[br]ct片示:右上叶大片软组织密度,右肺门区至右肺上叶见巨大软组织块,内见支气管充气征,上纵隔右移,主气管及上叶支气受压变扁,中间支气管狭窄,左肺上叶空洞性病灶并有液平,左肺上叶尖后段见大片致密影,结合2张胸片考虑,ct片是4月份所摄,而不是6月份的片子;[br]结合2张胸片及ct片考虑:[br] 1.右中央型肺癌伴右肺上叶不张;[br] 2.左肺上叶尖后段炎性变及左肺脓肿;[br]第2张胸片提示:经过一个多月的不规则抗炎治疗,左肺上叶病灶及右肺上叶不张病灶基本吸收,而右肺占位无明显变化。
以下是引用jiangjing在2006-6-23 21:21:00的发言:[br]个人考虑还是两肺感染性病变可能大,主支气管及叶支气管是通畅的,并可见支气管气相;ct提示病变是以肺叶分布的,密度相对均匀;胸片可见有叶间裂下坠征,是不是考虑克雷伯杆菌感染可能.病人前后两张片比较病变是增多[应该考虑混合感染可能性大,右肺癌待排建议查痰及穿刺检查]
| 欢迎光临 医影在线 (http://bbs.radida.com/bbs/) | Powered by Discuz! X3.2 |