医影在线

标题: CT3900:鼻咽部病变 [打印本页]

作者: woaixct    时间: 2006-6-23 19:19
标题: CT3900:鼻咽部病变
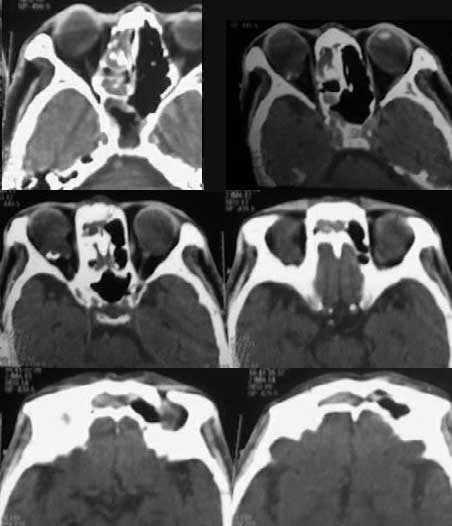
患者男性,78岁,一年前曾因右鼻窦息肉手术,病理中分化鳞状细胞ca。



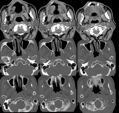
下面是一年前的鼻窦ct片




[本贴已被 jiajie 于 2006-6-23 13:16:03 修改过]

作者: 晓杰    时间: 2006-6-23 21:51
左侧头长肌增厚,突去鼻烟腔内,考虑:鼻烟ca?转移瘤?
作者: 逸风    时间: 2006-6-23 23:49
右侧咽隐窝变浅,扫描体位不对称?还是病变?呵呵,高手何在?
作者: 卜一    时间: 2006-6-24 00:11
标题: 回复:ct3900:鼻咽部病变
右侧咽隐窝变浅,相应软组织增厚。考虑:鼻咽癌复发。

作者: 西北狼    时间: 2006-6-24 01:35
同意楼上
作者: dyqct    时间: 2006-6-24 01:59
标题: 回复:ct3900:鼻咽部病变
以下是引用卜一在2006-6-23 16:11:00的发言:[br][br] 右侧咽隐窝变浅,相应软组织增厚。考虑:鼻咽癌复发。 [br][br]

作者: 501959462    时间: 2006-6-24 02:33
同意4楼意见
作者: kjgj    时间: 2006-6-24 03:38
标题: 回复:ct3900:鼻咽部病变
以下是引用卜一在2006-6-23 16:11:00的发言:[br][br] 右侧咽隐窝变浅,相应软组织增厚。考虑:鼻咽癌复发。 [br][br]



基本同意,

位置欠对称,建议活检.
作者: GAOXIAO    时间: 2006-6-24 03:53
鼻咽癌复发可能性大。
作者: LWZ    时间: 2006-6-24 04:24
不能肯定异常,有放疗吗?
作者: ssl1_1    时间: 2006-6-24 04:27
右侧咽隐窝鼻咽癌,
作者: lygxpygl    时间: 2006-6-24 04:43
从影像学角度考虑,虽然两侧扫描时不对称,但是右侧还是存在病变,应该考虑鼻咽癌改变,与炎症鉴别----mr
作者: 拾荒者    时间: 2006-6-24 04:56
右侧咽隐窝变浅,沿旁间隙存在,结合病史考虑鼻咽癌复发。
作者: jiangjing    时间: 2006-6-24 05:10
右侧咽隐窝变浅,相应软组织增厚。考虑:鼻咽癌可能。建议活检
作者: guzhongliangddd    时间: 2006-6-24 05:46
我同意14楼战友的说法。{患者放疗过??}
作者: liuyue    时间: 2006-6-24 08:09
以下是引用卜一在2006-6-23 16:11:00的发言:

右侧咽隐窝变浅,相应软组织增厚。考虑:鼻咽癌复发。
作者: sun123456    时间: 2006-6-24 16:08
考虑鼻咽癌
作者: realzyc    时间: 2006-6-24 20:35
从影像学角度考虑,虽然两侧扫描时不对称,但是右侧还是存在病变,应该考虑鼻咽癌改变,与炎症鉴别----mr
作者: CHENGWEI    时间: 2006-6-25 00:48
同意
作者: 余辉    时间: 2006-6-25 02:12
不能说是复发吧?以前好象不是鼻咽癌,考虑鼻咽癌,问题是现病史是什么
作者: shibing    时间: 2015-6-12 10:07
鼻烟ca?转移瘤?




欢迎光临 医影在线 (http://bbs.radida.com/bbs/) Powered by Discuz! X3.2