医影在线

标题: CT3902:[求助]肋骨病变 [打印本页]

作者: 美丽天使    时间: 2006-6-24 02:47
标题: CT3902:[求助]肋骨病变
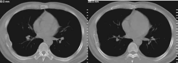
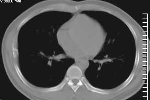
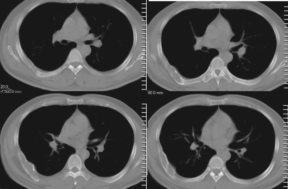
房**,38岁,间歇性胸疼2年





[本贴已被 jiajie 于 2006-6-23 18:57:29 修改过]

作者: jiajie    时间: 2006-6-24 03:13
肋骨溶骨性破坏,皮质膨胀呈囊状,可见间隔,部分边缘硬化。考虑肋骨骨纤维结构不良。
作者: guduchunmeng    时间: 2006-6-24 04:06
膨胀性肋骨破坏,皮质连续。周围软组织无异常。良性占位。首先考虑骨纤。
作者: LWZ    时间: 2006-6-24 04:09
良性病变。1动脉瘤样骨囊肿,2巨细胞瘤。
作者: lvlifeng    时间: 2006-6-24 04:13
支持2楼
作者: 晓杰    时间: 2006-6-24 04:21
膨胀性肋骨破坏,皮质连续。周围软组织无异常。良性占位。首先考虑  1骨纤  2内生性软骨瘤
作者: lygxpygl    时间: 2006-6-24 04:30
常见:骨纤
作者: ssl1_1    时间: 2006-6-24 04:38
支持肋骨骨纤维结构不良
作者: drzhang8888    时间: 2006-6-24 04:48
支持肋骨骨纤维结构不良
作者: yuanhang_2006    时间: 2006-6-24 04:51
支持骨纤
作者: jiangjing    时间: 2006-6-24 04:54
膨胀性肋骨破坏,皮质连续,内无钙化。周围软组织无异常。良性占位。首先考虑  1骨纤  2内生性软骨瘤及骨囊肿待排
作者: shenhs    时间: 2006-6-24 05:11
支持肋骨骨纤维结构不良
作者: qian    时间: 2006-6-24 05:12
骨纤可能大。
作者: 拾荒者    时间: 2006-6-24 05:18
标题: 回复:ct3902:[求助]肋骨病变
[quote]以下是引用jiangjing在2006-6-23 20:54:00的发言:[br]膨胀性肋骨破坏,皮质连续,内无钙化。周围软组织无异常。良性占位。首先考虑  骨纤
作者: 乐四方    时间: 2006-6-24 05:22
支持骨纤
作者: 阿狼    时间: 2006-6-24 05:24
膨胀性骨破坏,骨皮质尚完整.周围软组织脂肪间隙清楚.
常见于肋骨纤维结构不良.
作者: guzhongliangddd    时间: 2006-6-24 05:35
标题: 回复:ct3902:[求助]肋骨病变

支持骨纤维结构不良
作者: gsjyiyr    时间: 2006-6-24 05:38
支持骨纤
作者: cyr188    时间: 2006-6-24 05:46
1右肋骨骨纤维结构不良。2骨转移瘤。
作者: 守望可可    时间: 2006-6-24 05:52
  支持jiajie老师,17楼的guzhongliangddd老师整的放大图片更能明确的说明问题。
作者: kbzyycm    时间: 2006-6-24 06:00
支持肋骨骨纤维结构不良
作者: guoke    时间: 2006-6-24 06:29
膨胀性改变,皮质不连,周围软组织未见异常,考虑骨纤
作者: liuyue    时间: 2006-6-24 07:53
支持肋骨骨纤维结构不良
作者: wangzhanshuang    时间: 2006-6-24 16:59
肋骨溶骨性破坏,皮质膨胀呈囊状,可见间隔,部分边缘硬化。考虑肋骨骨纤维结构不良。
作者: dyqct    时间: 2006-6-24 17:50
肋骨溶骨性破坏,皮质膨胀呈囊状,可见间隔,部分边缘硬化。考虑肋骨骨纤维结构不良。不除外浆细胞瘤。
作者: abcwangxiuyin    时间: 2006-6-24 18:20
能排除内生软骨瘤吗?它与骨纤应怎么区别?
作者: fumaogui    时间: 2006-6-24 19:40
支持骨纤维结构不良的诊断.
作者: realzyc    时间: 2006-6-24 20:27
肋骨溶骨性破坏,皮质膨胀呈囊状,可见间隔,部分边缘硬化。考虑良性病变,肋骨骨纤维异常增生症可能大
作者: 天地睹狭    时间: 2006-6-24 22:39
支持肋骨骨纤维结构不良
作者: tsxhfsk    时间: 2006-6-25 00:21
支持肋骨骨纤维结构不良
作者: daiyong_1203    时间: 2006-6-25 00:26
1、肋骨骨纤维结构不良
2、内生软骨瘤
作者: 余辉    时间: 2006-6-25 02:44
膨胀性肋骨破坏,皮质连续,硬化。周围软组织无异常。良性占位。首先考虑  1骨纤  2内生性软骨瘤
作者: 同    时间: 2006-6-25 03:28
支持骨纤维结构不良
作者: gxdong    时间: 2006-6-25 22:03
1、内生软骨瘤  2、a瘤样骨囊肿
作者: qizg200510    时间: 2006-6-26 00:49
支持骨纤维结构不良
作者: 影像同路人    时间: 2006-6-26 07:01
骨纤
作者: shibing    时间: 2015-6-12 10:06
骨纤




欢迎光临 医影在线 (http://bbs.radida.com/bbs/) Powered by Discuz! X3.2