医影在线
标题: CT3904:腹部包块(近期手术) [打印本页]
作者: 森哥 时间: 2006-6-24 06:04
标题: CT3904:腹部包块(近期手术)
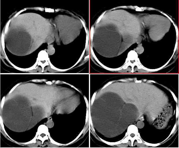
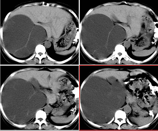
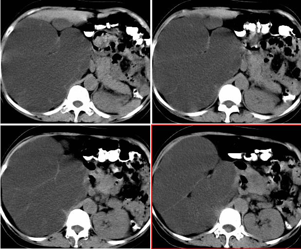
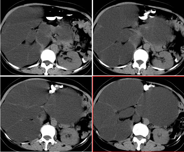
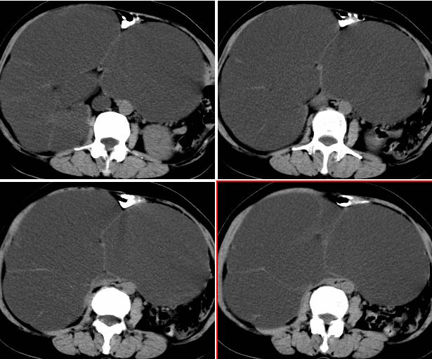
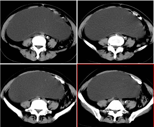
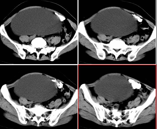
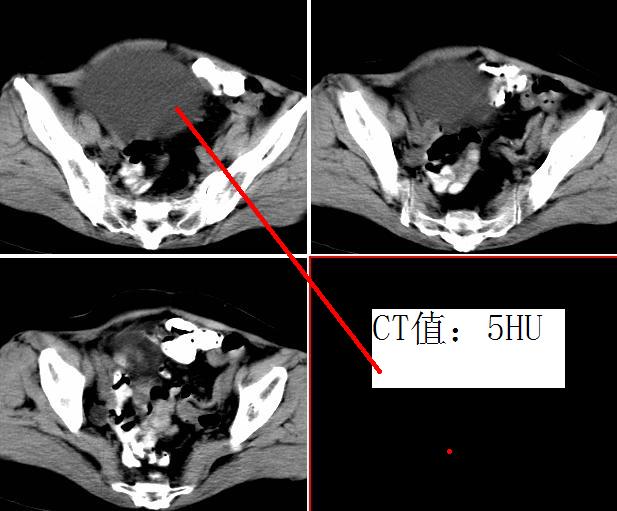
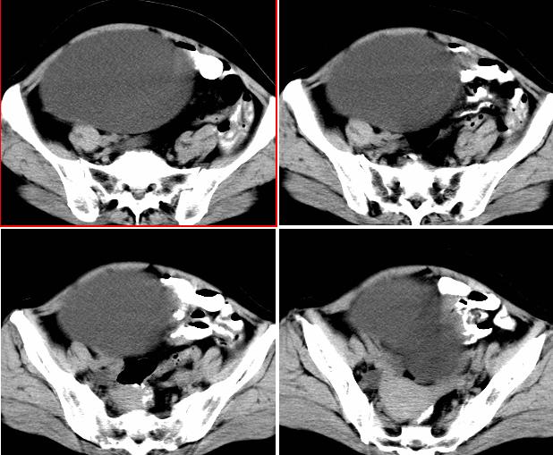
女,52岁,外伤后一小时入院,腹部b超示盆腹腔巨大无回声包块,右肾大小约208*107mm,追问病史,腹部逐渐隆8年余,无明显体重下降、消瘦、黑便呕血史,无大便性状改变,2年前已停月经,有高血压病史8年余,pe:血压180/100mmhg,全身皮肤粘膜无黄染、苍白,全身浅表淋巴结无肿大,腹部膨隆,呈蛙腹,可触及腹部有一14*15cm大小包块,质软,边界清楚,移动度可,无压痛,叩诊呈浊音。辅助检查:肝功能白蛋白43g/l球蛋白35.2g/l余指标正常,血糖电解质凝血四项正常。血常规hb115g/l白细胞13*10/9/l n0.85肾功能bun6.53mmol/l cr124umol/l.








膀胱留尿


[本贴已被 jiajie 于 2006-6-24 6:35:26 修改过]
[本贴已被 jiajie 于 2006-6-24 6:39:51 修改过]
作者: xiaoniu 时间: 2006-6-24 06:16
标题: [讨论]
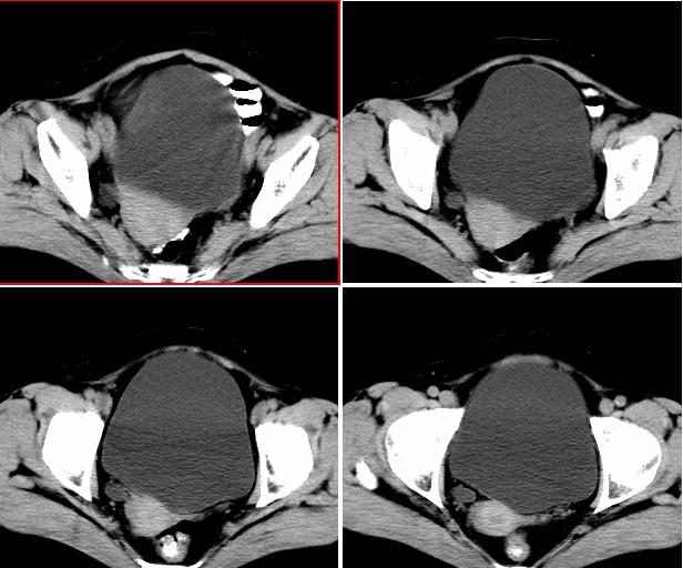
右侧后腹膜巨大囊性肿块影阴,边缘清晰,内见膜状分隔,均匀水样密度,右肾影阴消失,囊块所到区域脏器受挤移位,右侧输尿管扩张,应该考虑:右肾重读积水,巨大肾囊肿不除外。引发肾性高血压。
[本贴已被 xiaoniu 于 2006-6-23 23:14:21 修改过]
作者: liuyue 时间: 2006-6-24 07:05
右侧重度肾积水,右侧输尿管扩张.原因待查.
作者: guzhongliangddd 时间: 2006-6-24 09:13
从囊性低密度区的形态,及分布看我支持1楼战友的分析及诊断意见。{右恻输尿管全程扩张,阻塞位置应该在输尿管与膀胱的交界区,建议行膀胱镜检,楼主还是应该给患者作强化扫描!!!!!}
作者: 博览 时间: 2006-6-24 10:47
标题: 回复
腹部巨大囊性占位,膨胀性生长,边界光整,囊内容物为水样密度,其内可见多发分隔,纵观所有层面,正常右肾未见,考虑为来源于右肾的巨大多房性肾囊肿(多房性囊性肾瘤)可能性大。
该病来源和病因不明,儿童为先天性,多在5岁以下发病,成人多见于40-70岁女性,ct表现:单房或多房囊性病灶,有厚的囊壁,大部分有分隔,部分可出现环形、沙粒状钙化。
[本贴已被 博览 于 2006-6-24 2:49:59 修改过]
作者: wangzhanshuang 时间: 2006-6-24 16:25
右侧重度肾积水,右侧输尿管扩张.原因待查
作者: tsxhfsk 时间: 2006-6-24 16:45
腹部巨大囊性占位,膨胀性生长,边界光整,囊内容物为水样密度,其内可见多发分隔,右恻输尿管全程扩张,纵观所有层面,正常右肾未见,考虑为来源于右肾的巨大多房性肾囊肿可能性大。
作者: dyqct 时间: 2006-6-24 17:33
右侧巨大囊状无功能肾,输尿管积水(输尿管梗阻所致)。
作者: lushijun 时间: 2006-6-24 17:53
支持2楼意见
作者: fumaogui 时间: 2006-6-24 19:46
同意重度肾积水诊断.内有细分隔.
作者: realzyc 时间: 2006-6-24 20:23
腹部巨大囊性占位,膨胀性生长,边界光整,囊内容物为水样密度,其内可见多发分隔,纵观所有层面,正常右肾未见,考虑为来源于右肾的巨大多房性肾囊肿
作者: 霍丙胜 时间: 2006-6-24 23:48
支持5楼意见.
作者: ysxyy 时间: 2006-6-25 00:09
说实在的这样的病例实属罕见,多谢战友提供这么好的病例;
支持右肾重度积水;
收藏!
作者: 守望可可 时间: 2006-6-25 00:48
标题: 回复:ct3904:腹部包块(近期手术)
以下是引用xiaoniu在2006-6-23 22:16:00的发言:[br]右侧后腹膜巨大囊性肿块影阴,边缘清晰,内见膜状分隔,均匀水样密度,右肾影阴消失,囊块所到区域脏器受挤移位,右侧输尿管扩张,应该考虑:右肾重读积水,巨大肾囊肿不除外。引发肾性高血压。[br][br][本贴已被 xiaoniu 于 2006-6-23 23:14:21 修改过]
xiaoniu老师,跟您唱个反调儿,我考虑是多囊肾,而非重度肾积水。
反推一下:1.那么重的积水,引起积水的原因大部分是右侧输尿管有梗阻,排出受阻。右侧输尿管应该也是重度扩张才对。2.如果是肾积水,而且是右侧输尿管问题引起,那么病人肯定有相应的临床症状:比如输尿管结石引起的血尿、剧痛等症状,至少也会急性发作病史。另,本例显然不需要考虑输尿管癌,膀胱也挺好,更没有无痛性血尿病史。病人8年多没有其他的不舒服,只是腹部日渐膨隆,临床症状显然不支持。3.如果是重度肾积水的话,应该可以看到被压缩的肾皮质,即使很菲薄也多少会有显示的。
只是一些浅薄的看法,请xiaoniu老师赐教,谢谢您!
作者: 余辉 时间: 2006-6-25 02:31
右侧后腹膜巨大囊性肿块影阴,边缘清晰,内见膜状分隔,均匀水样密度,右肾影阴消失,囊块所到区域脏器受挤移位,右侧输尿管扩张,应该考虑:右肾重读积水,巨大肾囊肿不除外。引发肾性高血压,病史很全面,值得赞扬
作者: LWZ 时间: 2006-6-25 03:32
右输尿管肾盂肾盏高度括张扭曲,第三狭窄处或周围应见结石或其他原因梗阻。考虑先天畸型,如重复畸形。
作者: 同 时间: 2006-6-25 03:36
标题: 回复:ct3904:腹部包块(近期手术)
以下是引用tsxhfsk在2006-6-24 8:45:00的发言:[br]腹部巨大囊性占位,膨胀性生长,边界光整,囊内容物为水样密度,其内可见多发分隔,右恻输尿管全程扩张,纵观所有层面,正常右肾未见,考虑为来源于右肾的巨大多房性肾囊肿可能性大。[br]
作者: 拾荒者 时间: 2006-6-25 03:50
右肾明显扩大,皮质菲薄,间隔细,右输尿管全程扩张,右肾重度积水,原因应重点查输尿管膀胱接合处。
作者: elity69 时间: 2006-6-25 04:11
右侧巨大囊状无功能肾,输尿管积水(输尿管梗阻所致)。
作者: hejie 时间: 2006-6-25 04:59
右侧巨大囊状无功能肾,输尿管积水.右侧积水肾旁囊性病灶应该是左侧卵巢浆液性囊腺瘤.
作者: sunhua666 时间: 2006-6-25 17:49
右肾重度积水,右输尿管全程扩张,原因待查。做ct增强扫描、重建。
作者: lihua860 时间: 2006-6-25 18:30
多考虑重复肾畸形吧!应该做ct增强扫描
作者: yemin92007 时间: 2006-6-25 19:12
右肾的巨大多房性肾囊肿伴右输尿管积水可能性大。
作者: winter 时间: 2006-6-25 20:54
坚决支持2楼!期待结果~
作者: qizg200510 时间: 2006-6-26 00:44
同意5楼博览老师意见
腹部巨大囊性占位,膨胀性生长,边界光整,囊内容物为水样密度,其内可见多发分隔,纵观所有层面,正常右肾未见,考虑为来源于右肾的巨大多房性肾囊肿(多房性囊性肾瘤)可能性大。
该病来源和病因不明,儿童为先天性,多在5岁以下发病,成人多见于40-70岁女性,ct表现:单房或多房囊性病灶,有厚的囊壁,大部分有分隔,部分可出现环形、沙粒状钙化。
来自基层,向各位同道老师学习,
作者: shibing 时间: 2015-6-12 10:06
右侧重度肾积水,右侧输尿管扩张.原因待查
| 欢迎光临 医影在线 (http://bbs.radida.com/bbs/) |
Powered by Discuz! X3.2 |