医影在线

标题: X0829:大家帮忙看下左足第二近节趾骨是否正常? [打印本页]

作者: zengqiangzq    时间: 2006-6-26 06:21
标题: X0829:大家帮忙看下左足第二近节趾骨是否正常?
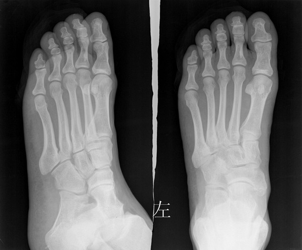
男,38岁,外伤来诊.



[本贴已被 jiajie 于 2006-6-26 6:07:53 修改过]

作者: 永远求知者    时间: 2006-6-26 06:33
正常
作者: 影像之魁    时间: 2006-6-26 08:08
慢性骨髓炎早期?
作者: dyqct    时间: 2006-6-26 16:32
正常变异。
作者: cyy136    时间: 2006-6-26 17:20
无异常..
作者: 同    时间: 2006-6-26 18:01
没看出来什么问题
作者: hongpupu    时间: 2006-6-26 19:15
骨岛?正常变异?
作者: 112233    时间: 2006-6-26 20:05
正常.
作者: 笑笑天    时间: 2006-6-26 20:34
其实不是正常,但无临床意义.相关内容请大家参考<<骨放射学----正常与早期病理表现的界定>>有明确的讲解
作者: ☆芝麻糖☆    时间: 2006-6-26 22:00
没有什么意义
作者: 易思明    时间: 2006-6-27 01:10
好象没有问题吧。
作者: zhangkening    时间: 2006-6-27 02:09
好象第二近节趾骨基地部骨折吧
作者: lirfeng    时间: 2006-6-27 04:38
应该说是正常的.
作者: lvlifeng    时间: 2006-6-27 05:33
没有看出什么问题
作者: daiyong_1203    时间: 2006-6-27 09:56
同意9楼所说的.
作者: lushijun    时间: 2006-6-27 16:43
支持上述意见!
作者: ZDY90333    时间: 2006-6-27 19:39
这是典型蜡油骨,我院门诊人群中经常见到,容易混淆.
作者: wjt    时间: 2006-6-28 06:03
骨岛
作者: jiangjing    时间: 2006-6-28 06:11
支持骨岛[内生骨瘤]
作者: xingxiyue    时间: 2006-6-28 18:25
不能考虑骨岛吧,骨岛是髓质内的密质骨,大家是不是经常在胫骨上端常见这种现象,正常.应该没有临床症状.
作者: 周通    时间: 2006-6-28 20:58
+看不出问题
作者: jinguoji    时间: 2006-11-16 18:39
正常变异
作者: shibing    时间: 2012-12-4 08:17
正常




欢迎光临 医影在线 (http://bbs.radida.com/bbs/) Powered by Discuz! X3.2