医影在线

标题: X0830:这个肘关节是否正常? [打印本页]

作者: zengqiangzq    时间: 2006-6-26 06:24
标题: X0830:这个肘关节是否正常?
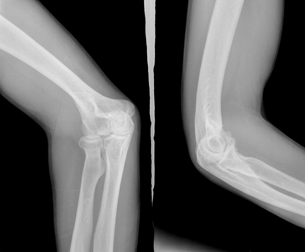
男,43岁,外伤病人!



[本贴已被 jiajie 于 2006-6-26 6:08:13 修改过]

作者: 影像之魁    时间: 2006-6-26 08:06
看不出有什么问题!
作者: qian    时间: 2006-6-26 14:22
两幅图象拍的体位都不是很正,只见骨皮质不光整,但关节关系不好说。
作者: dyqct    时间: 2006-6-26 16:12
正位不标准还是就是这样畸形。
作者: cyy136    时间: 2006-6-26 17:18
先摆好体位再说..
作者: 同    时间: 2006-6-26 18:00
正侧位都不太标准
作者: hongpupu    时间: 2006-6-26 18:56
外伤病人有时很难摆好标准体位,建议肘关节ct扫描一下看看
作者: 笑笑天    时间: 2006-6-26 20:41
先摆好体位吧
作者: ☆芝麻糖☆    时间: 2006-6-26 21:38
体位不正,尤其是肘关节照不好,诊断起来很麻烦
作者: lirfeng    时间: 2006-6-27 04:35
位置不好,好象有问题.
作者: lvlifeng    时间: 2006-6-27 05:30
这种片子也敢拿上来
作者: 清风无痕    时间: 2006-6-27 05:38
建议复查
作者: daiyong_1203    时间: 2006-6-27 09:49
好象肱骨滑车有点问题,片子位置不大好.
作者: daiyong_1203    时间: 2006-6-27 09:52
我又看了一下,尺骨冠突骨皮质不大连续,可能有骨折.
作者: lushijun    时间: 2006-6-27 16:41
建议重照!
作者: 柯长存    时间: 2006-6-27 17:33
建议重拍标准的正侧位。
作者: 笑死鬼    时间: 2006-6-27 20:31
肱骨远端似有骨折。建议必要时mri。
作者: liuyue    时间: 2006-6-28 01:10
建议重拍标准的正侧位。畸形还是位置不正,不好说。
作者: jiangjing    时间: 2006-6-28 05:58
考虑尺骨冠状突骨折可能,不完全除外滑车骨折。请重拍正位片
作者: 爱人    时间: 2006-6-30 19:45
体位有问题,没摆好,骨皮质好象不光滑
作者: wangxingjian    时间: 2006-6-30 20:41
体位不准,看起有问题!
作者: wangxingjian    时间: 2006-6-30 20:47
体位不准,看起来有问题!
作者: chendan    时间: 2006-6-30 23:18
提携角过大 即使体位不正也不会过大
作者: zhuming943066    时间: 2006-7-2 03:00
报:未见明显骨折征象
作者: hfh_1977    时间: 2006-7-3 03:35
侧位片尺骨冠突处似见游离骨块,撕脱性骨折?
作者: jinguoji    时间: 2006-11-17 21:18
体位不正,有无问题不好说.
作者: mujianbao    时间: 2012-11-2 17:31
体位不对吧




欢迎光临 医影在线 (http://bbs.radida.com/bbs/) Powered by Discuz! X3.2