医影在线

标题: X0831:小儿骨骼,请会诊 [打印本页]

作者: gaozhengyi    时间: 2006-6-28 01:37
标题: X0831:小儿骨骼,请会诊
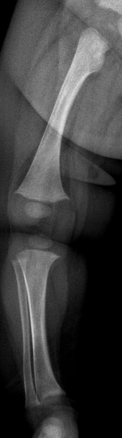
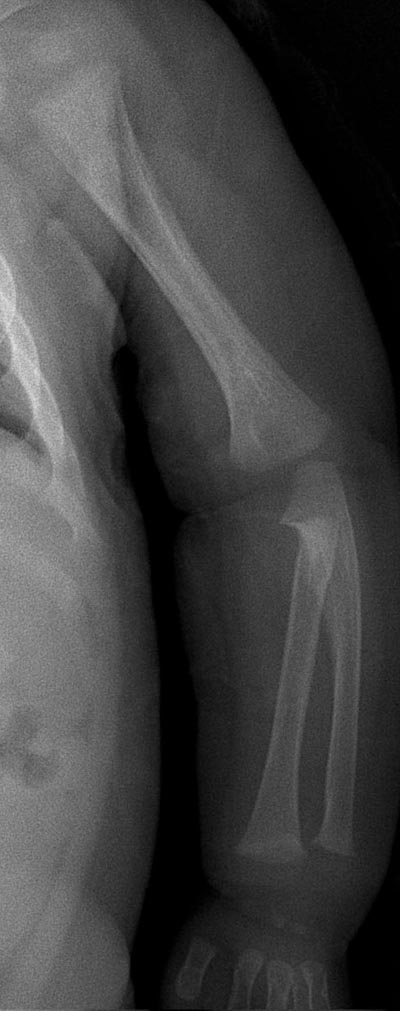
7 个月女孩,临床怀疑先天性髋脱位





[本贴已被 jiajie 于 2006-6-28 6:52:37 修改过]

作者: jiajie    时间: 2006-6-28 02:48
干骺端宽大,杯口状变形,两侧出现骨刺,骨干增粗、骨膜增厚,考虑维生素d缺乏性佝偻病。
作者: renewliu    时间: 2006-6-28 02:50
标题: 回复:小儿骨骼,请会诊
以下是引用jiajie在2006-6-27 18:48:00的发言:[br]干骺端宽大,杯口状变形,两侧出现骨刺,骨干增粗、骨膜增厚,考虑维生素d缺乏性佝偻病。

作者: 潘建华    时间: 2006-6-28 04:15
什么先天性髋关节脱位,是不是搞错了。片中诊断我同意2楼意见。
作者: weiy    时间: 2006-6-28 05:39
典型的佝偻病
作者: jiangjing    时间: 2006-6-28 05:51
支持--干骺端宽大,杯口状变形,两侧出现骨刺,骨干增粗、骨膜增厚,考虑维生素d缺乏性佝偻病。建议拍肘关节正位片排除有无尺桡骨近端骨性连接。
作者: dyqct    时间: 2006-6-28 05:57
支持2楼意见。
作者: 笑笑天    时间: 2006-6-28 06:55
标题: 回复:小儿骨骼,请会诊
以下是引用潘建华在2006-6-27 20:15:00的发言:[br]什么先天性髋关节脱位,是不是搞错了。片中诊断我同意2楼意见。
,小儿干骺端就是如此的,何况干骺无毛刷状改变,干骺端环的密度及厚度完全正常
作者: gaozhengyi    时间: 2006-6-28 07:05
干骺端宽大,杯口状变形,除此外还有股骨干的弯曲,另外干骺端骨质清楚,没有毛刷样表现。
请考虑一下有没有先天性疾病的可能?
作者: lkc8963    时间: 2006-6-28 08:01
请结合临床一定要除外厚皮性骨膜病,后者多发于1y以内,男性多见,以管状骨的骨膜增生和骨膜新骨形成为特征,为一致性连续性骨膜增厚,主要在尺、桡骨及胫、腓骨中下段,随病程进展可使骨膜变成成熟骨组织致骨干增粗,皮质增厚,关节囊等周围组织增生致关节肥大,但临床上有多汗、多脂以及皮下纤维组织增生的特点。
本例主要表现还应是一致性连续性骨膜增厚,虽表现为干骺端宽大,杯口状变形,但无毛刷状改变,骨减少亦不明确,故个人不支持佝偻病表现,股骨弯曲我认为是正常表现,虽然后者亦可出现骨膜反应,但为次要表现且如此连续的骨膜反应还是没见过;
另外,1 正常生理性骨膜炎:部分早产儿和婴儿可在桡骨干和股骨干见单层平行的骨膜反应,对称发生,随年龄增长而自然消失;但本例为双层,且无双侧对比,请酌。2 亦需从临床上排除婴儿骨皮质增生症,较易。3 gaucher病:一致性骨膜增厚,伴股骨下段烧瓶状膨胀,且髋部表特殊表现--股骨颈低头俯视,但本例多有骨质破坏和肝脾肿大等,不太支持。
作者: liuyue    时间: 2006-6-28 15:10
先考虑维生素d缺乏性佝偻病。
作者: xingxiyue    时间: 2006-6-28 18:15
倾向北10楼,骨皮质增厚但无模糊改变证明无骨减少,干垢宽大杯口变形而无毛刷状改变
作者: zhangkening    时间: 2006-6-29 02:59
支持2楼
作者: shmilyycy    时间: 2006-7-1 02:24
支持2楼~想看看患者对侧下肢
作者: shitou2006    时间: 2006-7-1 05:20
同意2楼的意见
作者: tsxhfsk    时间: 2006-7-2 01:25
婴儿骨皮质增生症
作者: jinguoji    时间: 2007-4-7 05:46
干骺端宽大,杯口状变形,两侧出现骨刺,骨干增粗、骨膜增厚,考虑维生素d缺乏性佝偻病。
作者: shibing    时间: 2013-2-2 15:02
考虑维生素d缺乏性佝偻病。




欢迎光临 医影在线 (http://bbs.radida.com/bbs/) Powered by Discuz! X3.2