医影在线

标题: X0833:[原创]体检后摄片 [打印本页]

作者: rener    时间: 2006-6-28 06:40
标题: X0833:[原创]体检后摄片
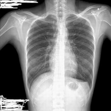
女 25岁 体检发现左下胸液平面



[本贴已被 jiajie 于 2006-6-28 6:54:17 修改过]

作者: rener    时间: 2006-6-28 06:46
我们建议病人去做ct检查了
我将及时将结果上传
谢谢
作者: lkc8963    时间: 2006-6-28 08:05
囊肿?
作者: liuyue    时间: 2006-6-28 15:24
先考虑:液气囊肿,期待结果。
作者: dyqct    时间: 2006-6-28 15:52
不一定是液平,也可能是膈肌粘连。
作者: xingxiyue    时间: 2006-6-28 18:04
同意楼上
作者: rener    时间: 2006-6-28 18:10
左下胸存在液平是肯定的
因为我们在透视下观察过,可以见到随着呼吸跳动的液平
作者: 师医生    时间: 2006-6-28 22:34
液气囊肿,期待结果?
作者: x线    时间: 2006-6-28 22:40
建议立、卧位结合多轴位透视,若确定是液气平面则考虑包裹性(或部分包裹性)液气胸。仅凭上幅照片,很像胸膜粘连。(透视的优点常不被重视,ct的缺点很容易被忽略?)
作者: tsxhfsk    时间: 2006-6-29 02:07
标题: 回复:x0833:[原创]体检后摄片
请问楼主为什么不照侧位或仰卧位,既然透视看看也好吗!既然没有就猜吧!!先考虑:液气囊肿,期待结果.另请楼主把右第二后肋放大上传,本人处理太模糊,我看有问题,
作者: zhangkening    时间: 2006-6-29 03:11
如果是透视下可动的话那应该是肺囊肿了
作者: 影像之魁    时间: 2006-6-29 03:27
同意
作者: 潘建华    时间: 2006-6-29 23:46
片子太小看不太清楚,不是液平,可能是隔膜粘连。
作者: yangguo    时间: 2006-6-30 04:50
能排除隔肌的病变吗?
作者: yuchao_cm    时间: 2006-6-30 18:15
怎么没有侧位
作者: 枫叶    时间: 2006-7-1 05:40
如果透视下见液平,,,那当是液气囊肿,绝不是胸腔积液了!!!!
-----还是回到透视下多方位旋转一下以!!!!
作者: juwen73    时间: 2006-7-1 22:35
囊肿首先考虑了。
作者: jiangjing    时间: 2006-7-2 00:24
目前无任何症状考虑肺囊肿可能。请详细询问病史并结合进一步检查诊断
作者: lihaixue800    时间: 2006-7-2 18:07
楼主已经进行了透视,液平面可能是存在的,胸膜粘连肯定是除外了,肺空腔性病变(大泡、肺囊肿等)应该是除外了,不会是横隔反转吧?
作者: Andy_529    时间: 2006-7-2 19:03
胸水的征象不明显,不排除胸膜幕状粘连可能;建议加照侧位相.
作者: 撒谎的肚    时间: 2006-7-3 02:39
建议楼主以后胸部的片子还要把侧位一并带上.谢谢
作者: 1lidenlin    时间: 2006-7-3 07:33
支持9楼
作者: 江尾海头    时间: 2006-7-4 04:16
没有病史,体检时发现,考虑先天性肺囊肿.
作者: 碧水蓝天    时间: 2006-8-9 04:07
急需侧位片
作者: jinguoji    时间: 2006-11-15 09:21
可能是膈肌粘连。
作者: mujianbao    时间: 2012-12-2 17:49
液气囊肿,期待结果




欢迎光临 医影在线 (http://bbs.radida.com/bbs/) Powered by Discuz! X3.2