医影在线
标题: BG0010:CT报告书写——支气管扩张合并出血?/感染? [打印本页]
作者: 翁志蓬 时间: 2006-7-9 07:39
标题: BG0010:CT报告书写——支气管扩张合并出血?/感染?
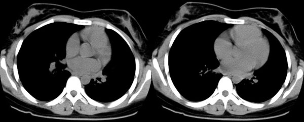
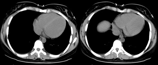
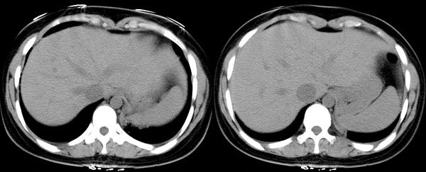
女性,25岁。反复咯血3年,再咯10天。外院x线胸片示:肺炎?支扩?












[本贴已被 jiajie 于 2006-7-11 18:01:44 修改过]
作者: 翁志蓬 时间: 2006-7-9 07:40
标题: 报告书写
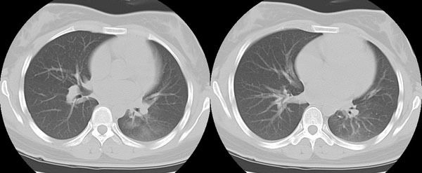
ct所见:左肺下叶基底段见大片状毛玻璃样改变,其内可见扩张细支气管。
ct诊断:考虑支气管扩张合并感染.
[本贴已被 jiajie 于 2006-7-11 18:02:56 修改过]
作者: lkc8963 时间: 2006-7-9 23:00
ct所见:左肺下叶基底段见大片状毛玻璃样改变,其内可见扩张细支气管及血管纹理影。后接正常描述。
ct诊断:左肺下叶支气管扩张伴出血。
作者: jiajie 时间: 2006-7-10 03:02
有病变的报告描述应该比正常的更全面、详细,我一般这样写:
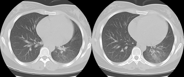
胸部ct平扫所见:胸廓两侧欠对称,左侧略小,胸壁骨质结构完整。左肺下叶后、外基底段
见大片状毛玻璃样淡薄影,边缘渐淡,其内可见多个环形小囊状影。余肺野清晰,
肺纹理规则,气管支气管通畅,内壁光滑。心脏、大血管大小、形态、密度未见
明显异常,胸膜不厚、光滑,纵隔内未见明显肿大淋巴结。
诊断意见:左肺下叶大片状毛玻璃样淡薄影考虑支气管扩张伴出血。
作者: 翁志蓬 时间: 2006-7-10 09:09
这下糗大了!诸位都考虑支气管扩张合并出血而不是感染?
作者: friedman 时间: 2006-7-22 22:59
感染得结合临床症状
作者: 逸风 时间: 2006-7-23 05:57
标题: 回复:bg0010:ct报告书写——支气管扩张合并出血?/感染?
支持jiajie版主的描述和诊断.
对于支气管扩张的ct检查目的除了诊断有无支气管扩张外,还应该给临床提供扩张的类型,程度和范围.
作者: wqgui 时间: 2007-1-9 02:21
请问4楼老师是支气管扩张伴出血还是伴感染?
作者: cheky 时间: 2007-1-12 05:06
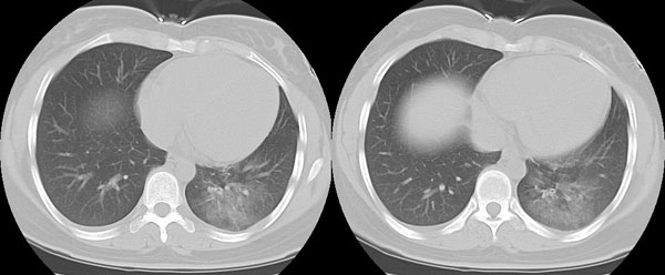
胸部ct平扫所见:胸廓两侧欠对称,左侧略小,胸壁骨质结构完整。左肺下叶后、外基底段
见大片状毛玻璃样淡薄影,边缘渐淡,其内可见多个环形小囊状影。右肺野清晰,
肺纹理规则,气管支气管通畅,内壁光滑。心脏、大血管大小、形态、密度未见
明显异常,胸膜不厚、光滑,纵隔内未见明显肿大淋巴结。
诊断意见:左肺下叶支气管扩张伴出血。
作者: 兔十一狼 时间: 2007-3-31 01:45
这样的图片能确定是支扩么。看不清啊,要是肺挫裂伤呢
作者: shenjun18 时间: 2008-6-10 07:22
我觉得是出血,感染和出血密度不点不同,请大家注意观察,发些图片上来,一起讨论
作者: 民和医院 时间: 2009-8-26 05:12
朋友请结合病史好吗?还是楼主说的对了
作者: 晨雨 时间: 2010-5-28 16:55
结合病史可以除外肺挫裂伤
作者: 心语2008 时间: 2010-6-10 16:24
我个人觉得就本病历而言,前边这一段描素没有意义。
胸部ct平扫所见:胸廓两侧欠对称,左侧略小,胸壁骨质结构完整。其后本人支持
作者: ABC495612433 时间: 2015-4-8 11:54
学习了
作者: 孙寻序 时间: 2015-10-19 15:14
是什么不用说了吧,不知道,出血感染你分不清的,所以你要报感染,为啥,出血本身不用管自己吸收了吗,但出血一个不好 不就容易感染了吗,再加上有支扩感染了不奇怪吧,这个最后点用药吧
不过是出血还是感染还是都有,你整不明白,
你要实事求是的写了,临床医生嫌你,患者也嫌你
| 欢迎光临 医影在线 (http://bbs.radida.com/bbs/) |
Powered by Discuz! X3.2 |